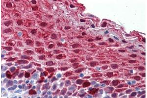
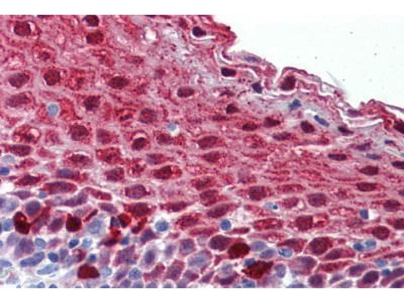
MARK4 antibody (AA 461-510)
Quick Overview for MARK4 antibody (AA 461-510) (ABIN2878799)
Target
See all MARK4 AntibodiesReactivity
Host
Clonality
Conjugate
Application
-
-
Binding Specificity
- AA 461-510
-
Specificity
- MARK4 Antibody detects endogenous levels of total MARK4 protein.
-
Purification
- Immunoaffinity purified
-
Immunogen
-
Synthetic peptide from human MARK4 (aa461-510).
Type of Immunogen: Synthetic peptide -
Isotype
- IgG
-
-
-
-
Application Notes
- Approved: IF (1:100 - 1:500), IHC, IHC-P (1:100), Peptide-ELISA (1:40000)
-
Comment
-
Target Species of Antibody: Human
-
Restrictions
- For Research Use only
-
-
-
Format
- Liquid
-
Concentration
- Lot specific
-
Buffer
- PBS (without Mg2+, Ca2+), pH 7.4, 150 mM sodium chloride, 0.02 % sodium azide, 50 % glycerol
-
Preservative
- Sodium azide
-
Precaution of Use
- This product contains Sodium azide: a POISONOUS AND HAZARDOUS SUBSTANCE which should be handled by trained staff only.
-
Storage
- -20 °C
-
Storage Comment
- Store at -20°C.
-
-
- MARK4 (MAP/microtubule Affinity-Regulating Kinase 4 (MARK4))
-
Alternative Name
- MARK4
-
Background
-
Name/Gene ID: MARK4
Subfamily: MARK
Family: Protein Kinase
Synonyms: MARK4, MARK4S, MARKL1, MARKL1L, KIAA1860, MARK4L, Nbla00650 -
Gene ID
- 57787
-
UniProt
- Q96L34
Target
-