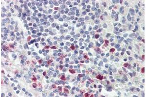
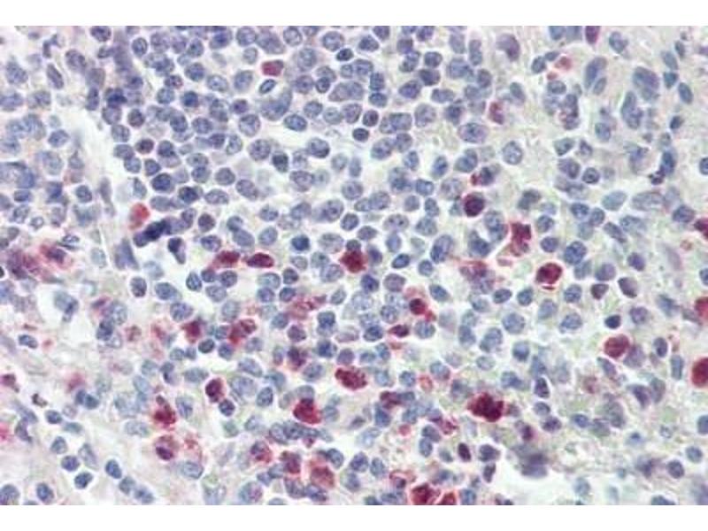
MAST3 antibody (AA 1031-1080)
Quick Overview for MAST3 antibody (AA 1031-1080) (ABIN2879386)
Target
Reactivity
Host
Clonality
Conjugate
Application
-
-
Binding Specificity
- AA 1031-1080
-
Specificity
- MAST3 Antibody detects endogenous levels of total MAST3 protein.
-
Purification
- Immunoaffinity purified
-
Immunogen
-
Synthetic peptide from human MAST3 (aa1031-1080).
Type of Immunogen: Synthetic peptide -
Isotype
- IgG
-
-
-
-
Application Notes
- Approved: IHC, IHC-P (1:100), Peptide-ELISA (1:10000), WB (1:500 - 1:1000)
-
Comment
-
Target Species of Antibody: Human
-
Restrictions
- For Research Use only
-
-
-
Format
- Liquid
-
Concentration
- Lot specific
-
Buffer
- PBS (without Mg2+, Ca2+), pH 7.4, 150 mM sodium chloride, 0.02 % sodium azide, 50 % glycerol
-
Preservative
- Sodium azide
-
Precaution of Use
- This product contains Sodium azide: a POISONOUS AND HAZARDOUS SUBSTANCE which should be handled by trained staff only.
-
Storage
- -20 °C
-
Storage Comment
- Store at -20°C for up to 1 year.
-
Expiry Date
- 12 months
-
-
- MAST3 (Microtubule Associated serine/threonine Kinase 3 (MAST3))
-
Alternative Name
- MAST3
-
Background
-
Name/Gene ID: MAST3
Subfamily: MAST
Family: Protein Kinase
Synonyms: MAST3, KIAA0561 -
Gene ID
- 23031
Target
-