Phone:
+1 877 302 8632
Fax:
+1 888 205 9894 (Toll-free)
E-Mail:
orders@antibodies-online.com

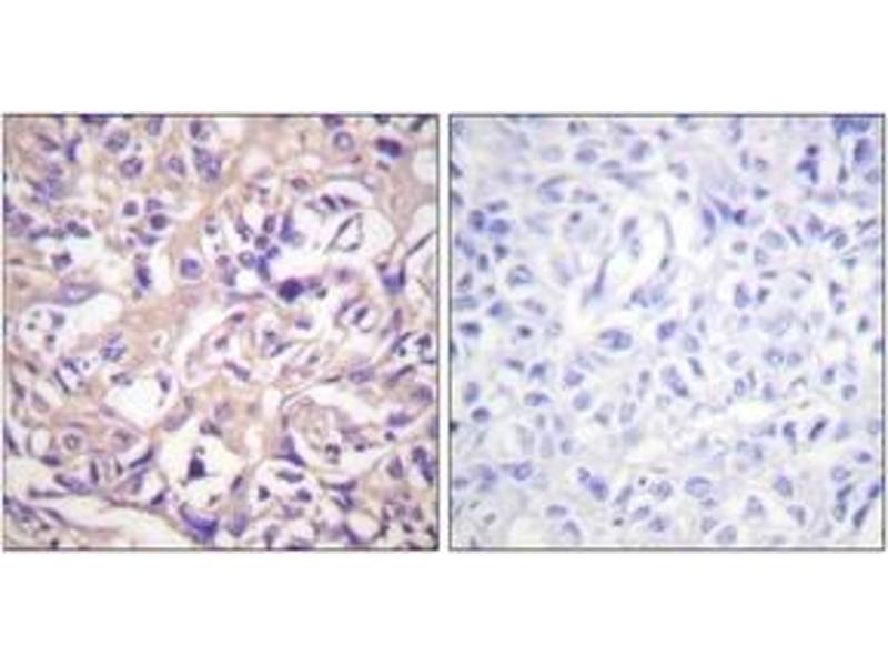
TK1 antibody (AA 1-50)

The Rabbit Polyclonal anti-TK1 antibody is suitable to detect TK1 in samples from Human, Mouse and Rat. It has been validated for WB, ELISA, IHC, IF and IHC (p).
Catalog No. ABIN2888706
$649.00
Plus shipping costs $50.00
Shipping to: United States
Delivery in 11 to 15 Business Days

Quick Overview for TK1 antibody (AA 1-50) (ABIN2888706)

Target

See all TK1 Antibodies
TK1 (Thymidine Kinase 1, Soluble (TK1))

Reactivity

  • 80
  • 21
  • 20
  • 4
  • 3
  • 1
  • 1
  • 1
  • 1
  • 1
Human, Mouse, Rat

Host

  • 67
  • 11
  • 1
Rabbit

Clonality

  • 48
  • 32
Polyclonal

Conjugate

  • 51
  • 6
  • 3
  • 3
  • 3
  • 3
  • 3
  • 3
  • 2
  • 1
  • 1
  • 1
This TK1 antibody is un-conjugated

Application

  • 53
  • 33
  • 32
  • 23
  • 17
  • 17
  • 15
  • 6
  • 2
  • 1
Western Blotting (WB), ELISA, Immunohistochemistry (IHC), Immunofluorescence (IF), Immunohistochemistry (Paraffin-embedded Sections) (IHC (p))
  • Binding Specificity

    • 7
    • 7
    • 7
    • 3
    • 2
    • 2
    • 2
    • 2
    • 1
    • 1
    • 1
    • 1
    • 1
    • 1
    • 1
    • 1
    AA 1-50

    Specificity

    TK (Ab-13) Antibody detects endogenous levels of total TK protein.

    Purification

    Immunoaffinity purified

    Immunogen

    Synthetic peptide from human TK (aa1-50).

    Type of Immunogen: Synthetic peptide

    Isotype

    IgG
  • Application Notes

    Approved: IF (1:100 - 1:500), IHC, IHC-P, Peptide-ELISA (1:1000), WB (1:500 - 1:1000)

    Comment

    Target Species of Antibody: Human

    Restrictions

    For Research Use only
  • Format

    Liquid

    Concentration

    Lot specific

    Buffer

    PBS (without Mg2+, Ca2+),  pH 7.4, 150 mM sodium chloride, 0.02 % sodium azide, 50 % glycerol

    Preservative

    Sodium azide

    Precaution of Use

    This product contains Sodium azide: a POISONOUS AND HAZARDOUS SUBSTANCE which should be handled by trained staff only.

    Storage

    -20 °C

    Storage Comment

    Store at -20°C for up to 1 year.

    Expiry Date

    12 months
  • Target

    TK1 (Thymidine Kinase 1, Soluble (TK1))

    Alternative Name

    TK1 / TK / Thymidine Kinase

    Background

    Name/Gene ID: TK1

    Synonyms: TK1, Spleen tyrosine kinase, Thymidine kinase 1, soluble, Thymidine Kinase 1, Thymidine kinase, cytosolic, Thymidine kinase-1

    Gene ID

    7083

    UniProt

    P04183
You are here:
Chat with us!