Phone:
+1 877 302 8632
Fax:
+1 888 205 9894 (Toll-free)
E-Mail:
orders@antibodies-online.com

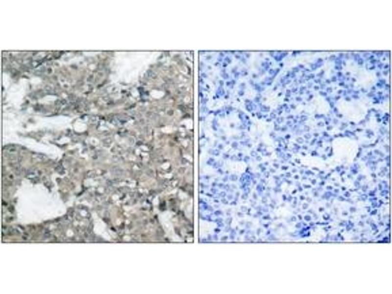
MEK1 + MEK2 antibody (AA 193-242)

The Rabbit Polyclonal anti-MEK1 + MEK2 antibody (ABIN2889025) specifically detects MEK1 + MEK2 in WB, IHC, IHC (p) and ELISA. The antibody is reactive with Human, Mouse and Rat samples.
Catalog No. ABIN2889025
$649.00
Plus shipping costs $50.00
Shipping to: United States
Delivery in 11 to 15 Business Days

Quick Overview for MEK1 + MEK2 antibody (AA 193-242) (ABIN2889025)

Target

MEK1 + MEK2

Reactivity

  • 30
  • 22
  • 22
  • 4
  • 4
  • 3
  • 2
  • 1
  • 1
  • 1
  • 1
Human, Mouse, Rat

Host

  • 29
  • 1
Rabbit

Clonality

  • 28
  • 2
Polyclonal

Conjugate

  • 23
  • 1
  • 1
  • 1
  • 1
  • 1
  • 1
  • 1
This MEK1 + MEK2 antibody is un-conjugated

Application

  • 22
  • 13
  • 9
  • 5
  • 4
  • 3
  • 2
  • 1
Western Blotting (WB), Immunohistochemistry (IHC), Immunohistochemistry (Paraffin-embedded Sections) (IHC (p)), ELISA
  • Binding Specificity

    • 12
    • 10
    • 3
    • 3
    • 2
    • 2
    • 1
    • 1
    • 1
    • 1
    • 1
    • 1
    • 1
    • 1
    • 1
    AA 193-242

    Specificity

    MEK1/2 (Ab-221) Antibody detects endogenous levels of total MEK1/2 protein.

    Purification

    Immunoaffinity purified

    Immunogen

    Synthetic peptide from human MEK1/2 (aa193-242).

    Type of Immunogen: Synthetic peptide

    Isotype

    IgG
  • Application Notes

    Approved: IHC, IHC-P, Peptide-ELISA (1:20000), WB (1:500 - 1:1000)

    Comment

    Target Species of Antibody: Human

    Restrictions

    For Research Use only
  • Format

    Liquid

    Concentration

    Lot specific

    Buffer

    PBS (without Mg2+, Ca2+),  pH 7.4, 150 mM sodium chloride, 0.02 % sodium azide, 50 % glycerol

    Preservative

    Sodium azide

    Precaution of Use

    This product contains Sodium azide: a POISONOUS AND HAZARDOUS SUBSTANCE which should be handled by trained staff only.

    Storage

    -20 °C

    Storage Comment

    Store at -20°C for up to 1 year.

    Expiry Date

    12 months
  • Target

    MEK1 + MEK2

    Alternative Name

    MEK1 + MEK2

    Background

    This antibody detects: MEK1 + MEK2
You are here:
Chat with us!