Phone:
+1 877 302 8632
Fax:
+1 888 205 9894 (Toll-free)
E-Mail:
orders@antibodies-online.com

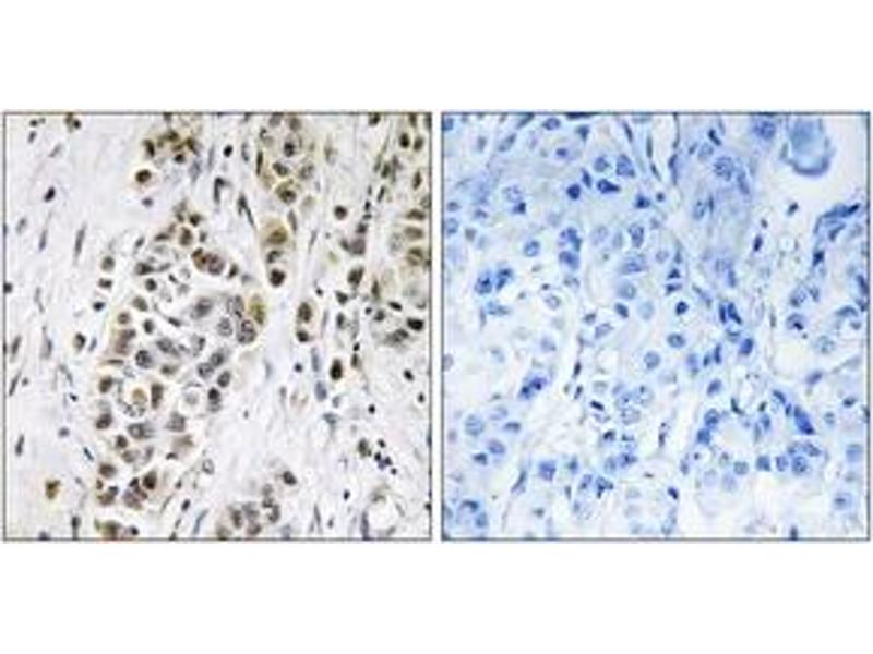
XRN2 antibody (AA 81-130)

This Rabbit Polyclonal antibody specifically detects XRN2 in WB, ELISA, IHC and IHC (p). It exhibits reactivity toward Human and Mouse.
Catalog No. ABIN2889753
$649.00
Plus shipping costs $50.00
Shipping to: United States
Delivery in 11 to 15 Business Days

Quick Overview for XRN2 antibody (AA 81-130) (ABIN2889753)

Target

See all XRN2 Antibodies
XRN2 (5'-3' Exoribonuclease 2 (XRN2))

Reactivity

  • 32
  • 11
  • 4
  • 2
  • 2
  • 2
  • 1
  • 1
Human, Mouse

Host

  • 23
  • 10
Rabbit

Clonality

  • 23
  • 10
Polyclonal

Conjugate

  • 21
  • 2
  • 1
  • 1
  • 1
  • 1
  • 1
  • 1
  • 1
  • 1
  • 1
  • 1
This XRN2 antibody is un-conjugated

Application

  • 24
  • 16
  • 9
  • 2
  • 1
  • 1
  • 1
  • 1
  • 1
  • 1
  • 1
Western Blotting (WB), ELISA, Immunohistochemistry (IHC), Immunohistochemistry (Paraffin-embedded Sections) (IHC (p))
  • Binding Specificity

    • 8
    • 4
    • 2
    • 2
    • 2
    • 1
    • 1
    • 1
    • 1
    • 1
    AA 81-130

    Specificity

    XRN2 Antibody detects endogenous levels of total XRN2 protein.

    Purification

    Immunoaffinity purified

    Immunogen

    Synthetic peptide from human XRN2 (aa81-130).

    Type of Immunogen: Synthetic peptide

    Isotype

    IgG
  • Application Notes

    Approved: IHC, IHC-P, Peptide-ELISA (1:1000), WB (1:500 - 1:1000)

    Comment

    Target Species of Antibody: Human

    Restrictions

    For Research Use only
  • Format

    Liquid

    Concentration

    Lot specific

    Buffer

    PBS (without Mg2+, Ca2+),  pH 7.4, 150 mM sodium chloride, 0.02 % sodium azide, 50 % glycerol

    Preservative

    Sodium azide

    Precaution of Use

    This product contains Sodium azide: a POISONOUS AND HAZARDOUS SUBSTANCE which should be handled by trained staff only.

    Storage

    -20 °C

    Storage Comment

    Store at -20°C for up to 1 year.

    Expiry Date

    12 months
  • Target

    XRN2 (5'-3' Exoribonuclease 2 (XRN2))

    Alternative Name

    XRN2

    Background

    Name/Gene ID: XRN2

    Synonyms: XRN2, 5'-3' exoribonuclease 2, 5-3 exoribonuclease 2, DHM1-like protein, DHP protein

    Gene ID

    22803
You are here:
Chat with us!