Phone:
+1 877 302 8632
Fax:
+1 888 205 9894 (Toll-free)
E-Mail:
orders@antibodies-online.com

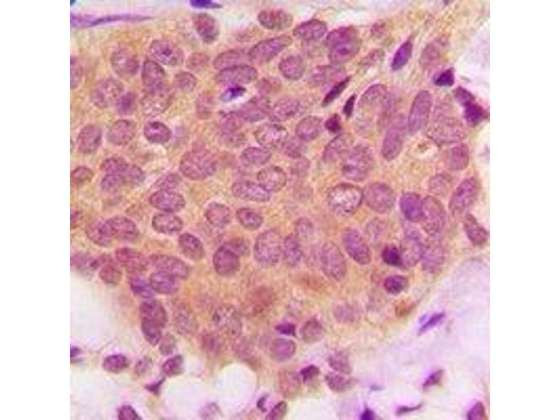
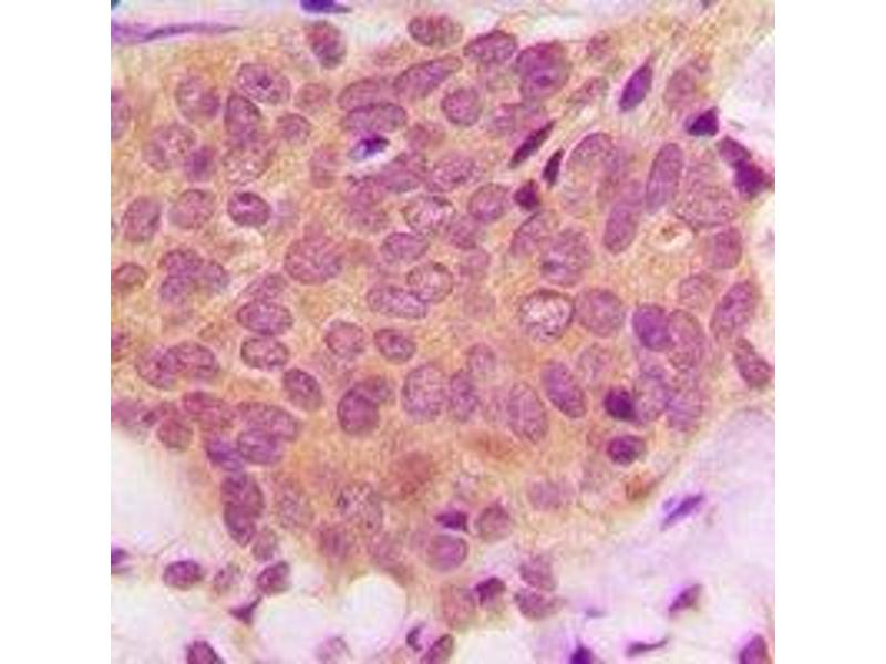
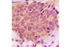
Ezrin antibody (C-Term)

This Rabbit Polyclonal antibody specifically detects Ezrin in WB and IHC. It exhibits reactivity toward Human, Mouse, Rat, Cow, Pig, Zebrafish (Danio rerio) and Monkey.
Catalog No. ABIN7303744
$330.77
Plus shipping costs $50.00
Shipping to: United States
Delivery in 13 to 15 Business Days

Quick Overview for Ezrin antibody (C-Term) (ABIN7303744)

Target

See all Ezrin (EZR) Antibodies
Ezrin (EZR)

Reactivity

  • 165
  • 83
  • 77
  • 8
  • 7
  • 6
  • 4
  • 4
  • 3
  • 3
  • 3
  • 1
  • 1
  • 1
  • 1
Human, Mouse, Rat, Cow, Pig, Zebrafish (Danio rerio), Monkey

Host

  • 146
  • 21
  • 2
  • 1
Rabbit

Clonality

  • 127
  • 43
Polyclonal

Conjugate

  • 99
  • 8
  • 4
  • 4
  • 4
  • 4
  • 4
  • 4
  • 4
  • 3
  • 2
  • 2
  • 2
  • 2
  • 2
  • 2
  • 2
  • 2
  • 2
  • 2
  • 2
  • 1
  • 1
  • 1
  • 1
  • 1
  • 1
  • 1
  • 1
  • 1
  • 1
This Ezrin antibody is un-conjugated

Application

  • 141
  • 59
  • 51
  • 20
  • 16
  • 15
  • 13
  • 13
  • 10
  • 9
  • 9
  • 3
  • 2
  • 1
  • 1
  • 1
  • 1
  • 1
  • 1
  • 1
Western Blotting (WB), Immunohistochemistry (IHC)
  • Binding Specificity

    • 30
    • 16
    • 10
    • 10
    • 9
    • 6
    • 6
    • 6
    • 5
    • 5
    • 5
    • 3
    • 2
    • 2
    • 2
    • 2
    • 2
    • 2
    • 1
    • 1
    • 1
    • 1
    • 1
    • 1
    • 1
    • 1
    • 1
    • 1
    • 1
    • 1
    • 1
    • 1
    • 1
    • 1
    • 1
    • 1
    • 1
    • 1
    • 1
    • 1
    • 1
    • 1
    • 1
    • 1
    C-Term

    Purpose

    Rabbit polyclonal antibody to Ezrin/Radixin/Moesin

    Specificity

    Recognizes endogenous levels of Ezrin/Radixin/Moesin protein.

    Characteristics

    Rabbit polyclonal antibody to Ezrin/Radixin/Moesin

    Purification

    The antibody was purified by immunogen affinity chromatography.

    Immunogen

    KLH-conjugated synthetic peptide encompassing a sequence within the C-term region of human Ezrin/Radixin/Moesin . The exact sequence is proprietary.
  • Application Notes

    WB (1/500 - 1/1000), IH (1/100 - 1/200)

    Restrictions

    For Research Use only
  • Format

    Liquid

    Buffer

    Liquid in 0.42 % Potassium phosphate, 0.87 % Sodium chloride, pH 7.3, 30 % glycerol, and 0.01 % sodium azide.

    Preservative

    Sodium azide

    Precaution of Use

    This product contains Sodium azide: a POISONOUS AND HAZARDOUS SUBSTANCE which should be handled by trained staff only.

    Storage

    -20 °C

    Storage Comment

    Shipped at 4°C. Upon delivery aliquot and store at -20°C for one year. Avoid freeze/thaw cycles.

    Expiry Date

    12 months
  • Target

    Ezrin (EZR)

    Alternative Name

    Ezrin/Radixin/Moesin

    Background

    MSN, Moesin, Membrane-organizing extension spike protein, RDX, Radixin, EZR, VIL2, Ezrin, Cytovillin, Villin-2, p81

    Gene ID

    4478, 17698, 81521

    UniProt

    P26038

    Pathways

    Maintenance of Protein Location
You are here:
Chat with us!