UBIAD1 antibody
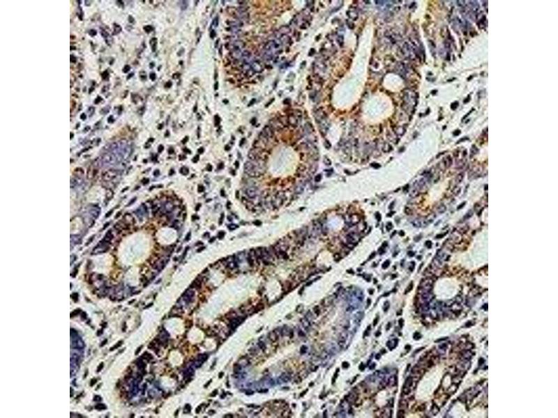
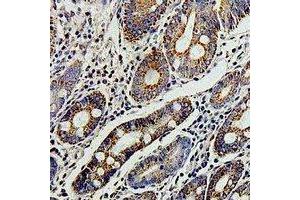
This Rabbit Polyclonal antibody specifically detects UBIAD1 in WB and IHC. It exhibits reactivity toward Human, Mouse and Rat.
Catalog No. ABIN7307112
$330.77
Plus shipping costs $50.00
Delivery in 13 to 15 Business Days
Quick Overview for UBIAD1 antibody (ABIN7307112)
Target
See all UBIAD1 Antibodies
UBIAD1
(UbiA Prenyltransferase Domain Containing 1 (UBIAD1))
Reactivity
Human, Mouse, Rat
Host
Rabbit
Clonality
Polyclonal
Conjugate
This UBIAD1 antibody is un-conjugated
Application
Western Blotting (WB), Immunohistochemistry (IHC)
-
-
Purpose
-
Rabbit polyclonal antibody to TERE1
-
Specificity
-
Recognizes endogenous levels of TERE1 protein.
-
Characteristics
-
Rabbit polyclonal antibody to TERE1
-
Purification
-
The antibody was purified by immunogen affinity chromatography.
-
Immunogen
-
KLH-conjugated synthetic peptide of human TERE1
-
-
-
Application Notes
-
WB (1/500 - 1/1000), IH (1/50 - 1/200)
-
Restrictions
-
For Research Use only
-
-
Format
-
Liquid
-
Buffer
-
Liquid in 0.42 % Potassium phosphate, 0.87 % Sodium chloride, pH 7.3, 30 % glycerol, and 0.01 % sodium azide.
-
Preservative
-
Sodium azide
-
Precaution of Use
-
This product contains Sodium azide: a POISONOUS AND HAZARDOUS SUBSTANCE which should be handled by trained staff only.
-
Storage
-
-20 °C
-
Storage Comment
-
Shipped at 4°C. Upon delivery aliquot and store at -20°C for one year. Avoid freeze/thaw cycles.
-
Expiry Date
-
12 months
-
Target
-
UBIAD1
(UbiA Prenyltransferase Domain Containing 1 (UBIAD1))
-
Alternative Name
-
TERE1
-
Background
-
TERE1, UbiA prenyltransferase domain-containing protein 1, Transitional epithelial response protein 1
-
Gene ID
-
29914, 71707, 313706
-
UniProt
-
Q9Y5Z9
-
You are here:
-
Homepage
-
anti-UBIAD1 antibody (ABIN7307112)