Phone:
+1 877 302 8632
Fax:
+1 888 205 9894 (Toll-free)
E-Mail:
orders@antibodies-online.com

RPS12 antibody

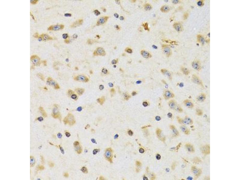
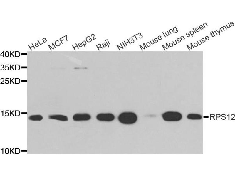
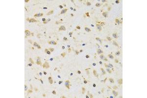
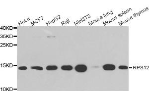
The Rabbit Polyclonal anti-RPS12 antibody is suitable to detect RPS12 in samples from Human, Mouse and Rat. It has been validated for WB, IHC and IF/ICC.
Catalog No. ABIN2968367
$626.66
Plus shipping costs $50.00
Shipping to: United States
Delivery in 10 to 18 Business Days

Quick Overview for RPS12 antibody (ABIN2968367)

Target

See all RPS12 Antibodies
RPS12 (Ribosomal Protein S12 (RPS12))

Reactivity

  • 48
  • 23
  • 9
  • 3
  • 3
  • 3
  • 2
  • 2
  • 2
  • 2
  • 2
  • 1
  • 1
  • 1
  • 1
  • 1
  • 1
  • 1
Human, Mouse, Rat

Host

  • 49
Rabbit

Clonality

  • 49
Polyclonal

Conjugate

  • 24
  • 4
  • 4
  • 3
  • 2
  • 2
  • 2
  • 2
  • 2
  • 2
  • 1
  • 1
This RPS12 antibody is un-conjugated

Application

  • 32
  • 22
  • 16
  • 8
  • 2
  • 1
  • 1
  • 1
Western Blotting (WB), Immunohistochemistry (IHC), Immunofluorescence (fixed cells) (IF/ICC)
  • Purification

    Affinity purified

    Immunogen

    Recombinant protein of human RPS12.

    Isotype

    IgG
  • Application Notes

    Optimal working dilution should be determined by the investigator.

    Restrictions

    For Research Use only
  • Format

    Liquid

    Concentration

    Lot specific

    Buffer

    PBS,  pH 7.3, 0.02 % sodium azide, 50 % glycerol.

    Preservative

    Sodium azide

    Precaution of Use

    This product contains Sodium azide: a POISONOUS AND HAZARDOUS SUBSTANCE which should be handled by trained staff only.

    Storage

    -20 °C

    Storage Comment

    Aliquot and store at -20 °C. Avoid repeated freeze/thaw cycles.
  • Target

    RPS12 (Ribosomal Protein S12 (RPS12))

    Alternative Name

    RPS12

    Molecular Weight

    Calculated MW: 14 kDa
    Observed MW: 15 kDa

    Gene ID

    6206

    UniProt

    P25398
You are here:
Chat with us!