Phone:
+1 877 302 8632
Fax:
+1 888 205 9894 (Toll-free)
E-Mail:
orders@antibodies-online.com

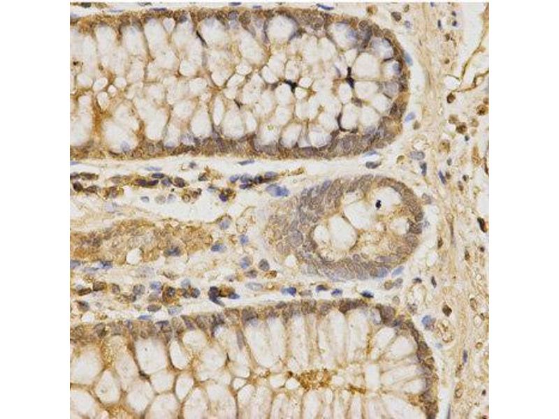
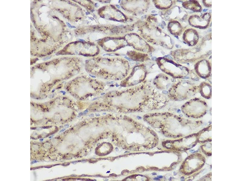
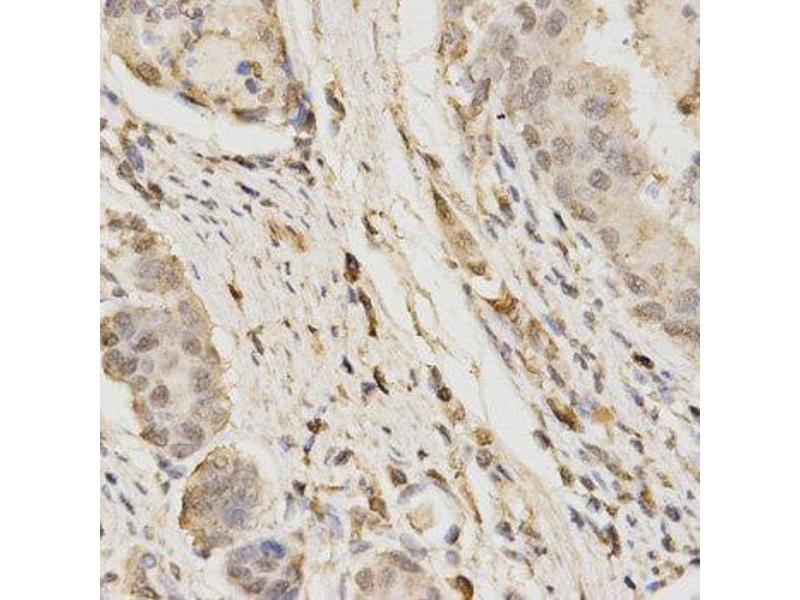
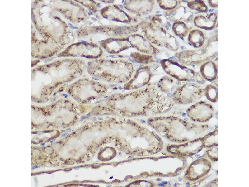
GLB1 antibody (AA 1-270)

The Rabbit Polyclonal anti-GLB1 antibody (ABIN3015643) specifically detects GLB1 in WB, IHC and IF. The antibody is reactive with Human samples.
Catalog No. ABIN3015643
$383.00
Plus shipping costs $50.00
Shipping to: United States
Delivery in 7 to 10 Business Days

Quick Overview for GLB1 antibody (AA 1-270) (ABIN3015643)

Target

See all GLB1 Antibodies
GLB1 (Galactosidase, beta 1 (GLB1))

Reactivity

  • 77
  • 48
  • 17
  • 16
  • 3
  • 2
  • 2
  • 1
  • 1
  • 1
Human

Host

  • 84
  • 24
  • 10
  • 8
  • 4
  • 2
  • 1
  • 1
Rabbit

Clonality

  • 75
  • 44
  • 15
Polyclonal

Conjugate

  • 88
  • 11
  • 9
  • 6
  • 2
  • 2
  • 2
  • 2
  • 2
  • 2
  • 2
  • 1
  • 1
  • 1
  • 1
  • 1
  • 1
This GLB1 antibody is un-conjugated

Application

  • 118
  • 40
  • 38
  • 37
  • 29
  • 26
  • 17
  • 16
  • 9
  • 7
  • 3
  • 3
  • 2
  • 2
  • 2
  • 2
  • 1
  • 1
Western Blotting (WB), Immunohistochemistry (IHC), Immunofluorescence (IF)
  • Binding Specificity

    • 8
    • 6
    • 5
    • 4
    • 3
    • 2
    • 2
    • 1
    • 1
    • 1
    • 1
    • 1
    • 1
    • 1
    • 1
    • 1
    • 1
    • 1
    • 1
    • 1
    AA 1-270

    Sequence

    MFEIDYSRDS FLKDGQPFRY ISGSIHYSRV PRFYWKDRLL KMKMAGLNAI QTYVPWNFHE PWPGQYQFSE DHDVEYFLRL AHELGLLVIL RPGPYICAEW EMGGLPAWLL EKESILLRSS DPDYLAAVDK WLGVLLPKMK PLLYQNGGPV ITVQVENEYG SYFACDFDYL RFLQKRFRHH LGDDVVLFTT DGAHKTFLKC GALQGLYTTV DFGTGSNITD AFLSQRKCEP KGPLINSEFY TGWLDHWGQP HSTIKTEAVA SSLYDILARG

    Cross-Reactivity

    Human, Mouse, Rat

    Characteristics

    Polyclonal Antibodies

    Purification

    Affinity purification

    Immunogen

    Recombinant fusion protein containing a sequence corresponding to amino acids 1-270 of human GLB1 (NP_001073279.1).

    Isotype

    IgG
  • Application Notes

    WB,1:500 - 1:2000,IHC,1:50 - 1:200,IF,1:50 - 1:200

    Restrictions

    For Research Use only
  • Buffer

    PBS with 0.02 % sodium azide,50 % glycerol, pH 7.3.

    Preservative

    Sodium azide

    Precaution of Use

    This product contains Sodium azide: a POISONOUS AND HAZARDOUS SUBSTANCE which should be handled by trained staff only.

    Storage

    -20 °C

    Storage Comment

    Store at -20°C. Avoid freeze / thaw cycles.
  • Target

    GLB1 (Galactosidase, beta 1 (GLB1))

    Alternative Name

    GLB1

    Background

    This gene encodes a member of the glycosyl hydrolase 35 family of proteins. Alternative splicing results in multiple transcript variants, at least one of which encodes a preproprotein that is proteolytically processed to generate the mature lysosomal enzyme. This enzyme catalyzes the hydrolysis of a terminal beta-linked galactose residue from ganglioside substrates and other glycoconjugates. Mutations in this gene may result in GM1-gangliosidosis and Morquio B syndrome.,GLB1,EBP,ELNR1,MPS4B,Cancer,Signal Transduction,Endocrine & Metabolism,GLB1

    Molecular Weight

    60 kDa/72 kDa/76 kDa

    Gene ID

    2720

    UniProt

    P16278

    Pathways

    Glycosaminoglycan Metabolic Process
You are here:
Chat with us!