Phone:
+1 877 302 8632
Fax:
+1 888 205 9894 (Toll-free)
E-Mail:
orders@antibodies-online.com

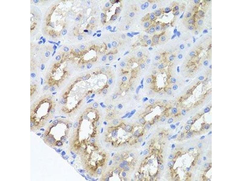
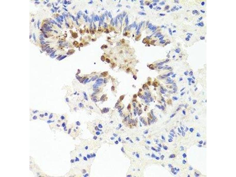
AMBRA1 antibody (AA 1109-1208)

The Rabbit Polyclonal anti-AMBRA1 antibody is suitable to detect AMBRA1 in samples from Human. It has been validated for WB and IHC.
Catalog No. ABIN3021394
$383.00
Plus shipping costs $50.00
Shipping to: United States
Delivery in 7 to 10 Business Days

Quick Overview for AMBRA1 antibody (AA 1109-1208) (ABIN3021394)

Target

See all AMBRA1 Antibodies
AMBRA1 (Autophagy/beclin-1 Regulator 1 (AMBRA1))

Reactivity

  • 21
  • 19
  • 14
  • 1
  • 1
Human

Host

  • 35
  • 1
Rabbit

Clonality

  • 35
  • 1
Polyclonal

Conjugate

  • 15
  • 2
  • 1
  • 1
  • 1
  • 1
  • 1
  • 1
  • 1
  • 1
  • 1
  • 1
  • 1
  • 1
  • 1
  • 1
  • 1
  • 1
  • 1
  • 1
  • 1
This AMBRA1 antibody is un-conjugated

Application

  • 27
  • 13
  • 13
  • 10
  • 9
  • 3
  • 3
  • 2
  • 2
  • 2
  • 1
Western Blotting (WB), Immunohistochemistry (IHC)
  • Binding Specificity

    • 15
    • 5
    • 2
    • 2
    • 1
    • 1
    • 1
    • 1
    • 1
    AA 1109-1208

    Sequence

    GAAHTSSPQP STSRGLLPEA GQLAERGLSP RTASWDQPGT PGREPTQPTL PSSSPVPIPV SLPSAEGPTL HCELTNNNHL LDGGSSRGDA AGPRGEPRNR

    Cross-Reactivity

    Human, Mouse, Rat

    Characteristics

    Polyclonal Antibodies

    Purification

    Affinity purification

    Immunogen

    Recombinant fusion protein containing a sequence corresponding to amino acids 1109-1208 of human Ambra1 (NP_060219.2).

    Isotype

    IgG
  • Application Notes

    WB,1:500 - 1:2000,IHC,1:50 - 1:200

    Restrictions

    For Research Use only
  • Format

    Liquid

    Buffer

    PBS with 0.02 % sodium azide,50 % glycerol, pH 7.3.

    Preservative

    Sodium azide

    Precaution of Use

    This product contains Sodium azide: a POISONOUS AND HAZARDOUS SUBSTANCE which should be handled by trained staff only.

    Handling Advice

    Avoid freeze / thaw cycles

    Storage

    -20 °C

    Storage Comment

    Store at -20°C. Avoid freeze / thaw cycles.
  • Target

    AMBRA1 (Autophagy/beclin-1 Regulator 1 (AMBRA1))

    Alternative Name

    AMBRA1

    Background

    AMBRA1,DCAF3,WDR94,FLJ20294,Cancer,Signal Transduction,Cell Biology & Developmental Biology,Autophagy,Endocrine & Metabolism,Mitochondrial metabolism,Neuroscience,Cardiovascular,Heart,Mitochondrial Control of Autophagy,AMBRA1

    Molecular Weight

    84 kDa/132 kDa/135 kDa/139 kDa/142 kDa

    Gene ID

    55626

    UniProt

    Q9C0C7

    Pathways

    Autophagy
You are here:
Chat with us!