Phone:
+1 877 302 8632
Fax:
+1 888 205 9894 (Toll-free)
E-Mail:
orders@antibodies-online.com

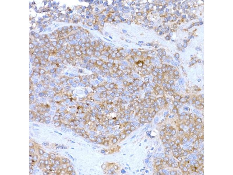
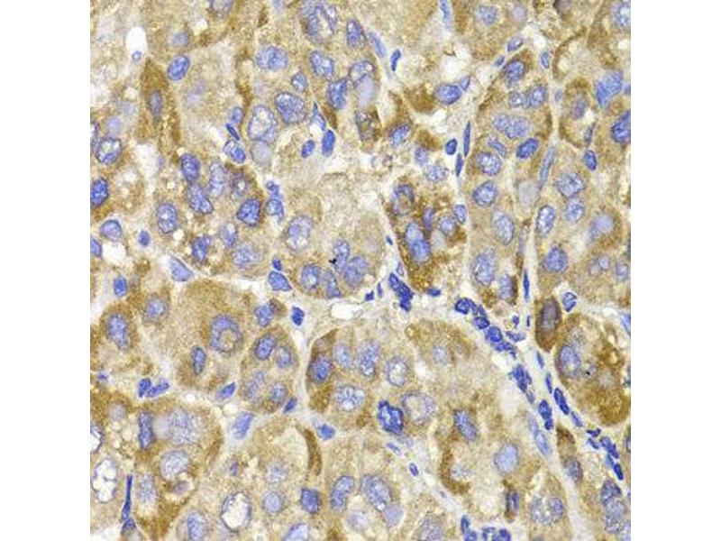
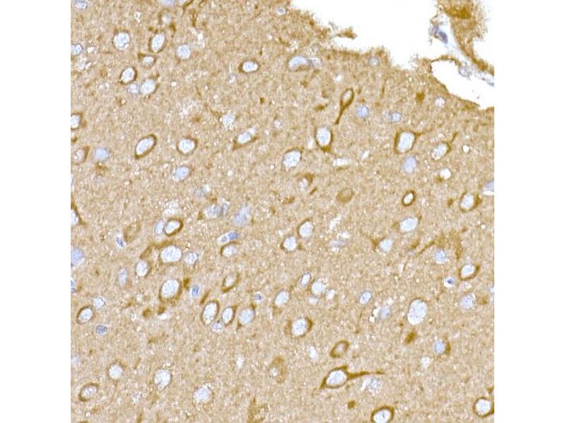
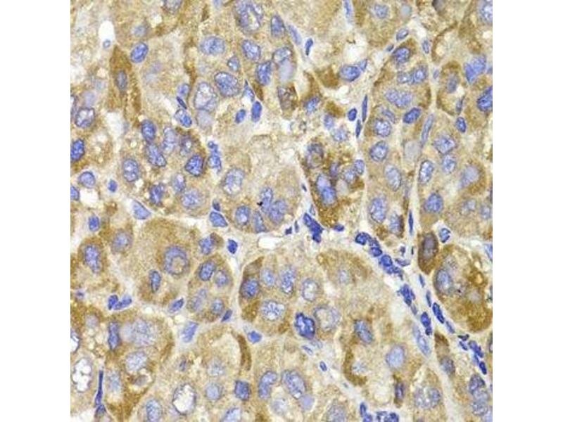
MAGED1 antibody (AA 635-834)

The Rabbit Polyclonal anti-MAGED1 antibody is suitable to detect MAGED1 in samples from Human. It has been validated for WB and IHC.
Catalog No. ABIN3021415
$383.00
Plus shipping costs $50.00
Shipping to: United States
Delivery in 7 to 10 Business Days

Quick Overview for MAGED1 antibody (AA 635-834) (ABIN3021415)

Target

See all MAGED1 Antibodies
MAGED1 (Melanoma Antigen Family D, 1 (MAGED1))

Reactivity

  • 43
  • 15
  • 14
  • 2
  • 2
  • 2
  • 2
  • 1
  • 1
  • 1
  • 1
  • 1
  • 1
Human

Host

  • 33
  • 9
  • 1
Rabbit

Clonality

  • 36
  • 7
Polyclonal

Conjugate

  • 24
  • 3
  • 2
  • 2
  • 2
  • 2
  • 2
  • 2
  • 1
  • 1
  • 1
  • 1
This MAGED1 antibody is un-conjugated

Application

  • 28
  • 13
  • 12
  • 3
  • 2
  • 1
  • 1
Western Blotting (WB), Immunohistochemistry (IHC)
  • Binding Specificity

    • 7
    • 4
    • 2
    • 1
    • 1
    • 1
    • 1
    • 1
    • 1
    • 1
    • 1
    • 1
    AA 635-834

    Sequence

    EAVLWEALRK MGLRPGVRHP LLGDLRKLLT YEFVKQKYLD YRRVPNSNPP EYEFLWGLRS YHETSKMKVL RFIAEVQKRD PRDWTAQFME AADEALDALD AAAAEAEARA EARTRMGIGD EAVSGPWSWD DIEFELLTWD EEGDFGDPWS RIPFTFWARY HQNARSRFPQ TFAGPIIGPG GTASANFAAN FGAIGFFWVE

    Cross-Reactivity

    Human, Mouse, Rat

    Characteristics

    Polyclonal Antibodies

    Immunogen

    Recombinant fusion protein containing a sequence corresponding to amino acids 635-834 of human MAGED1 (NP_001005333.1).

    Isotype

    IgG
  • Application Notes

    WB,1:500 - 1:2000,IHC,1:50 - 1:200

    Restrictions

    For Research Use only
  • Format

    Liquid

    Buffer

    PBS with 0.02 % sodium azide,50 % glycerol, pH 7.3.

    Preservative

    Sodium azide

    Precaution of Use

    This product contains Sodium azide: a POISONOUS AND HAZARDOUS SUBSTANCE which should be handled by trained staff only.

    Handling Advice

    Avoid freeze / thaw cycles

    Storage

    -20 °C

    Storage Comment

    Store at -20°C. Avoid freeze / thaw cycles.
  • Target

    MAGED1 (Melanoma Antigen Family D, 1 (MAGED1))

    Alternative Name

    MAGED1

    Background

    This gene is a member of the melanoma antigen gene (MAGE) family. Most of the genes of this family encode tumor specific antigens that are not expressed in normal adult tissues except testis. Although the protein encoded by this gene shares strong homology with members of the MAGE family, it is expressed in almost all normal adult tissues. This gene has been demonstrated to be involved in the p75 neurotrophin receptor mediated programmed cell death pathway. Three transcript variants encoding two different isoforms have been found for this gene.,MAGED1,DLXIN-1,NRAGE,Cancer,Tumor suppressors,p53 pathway,Cell Biology & Developmental Biology,Apoptosis,MAGED1

    Molecular Weight

    86 kDa/91 kDa

    Gene ID

    9500

    UniProt

    Q9Y5V3

    Pathways

    Neurotrophin Signaling Pathway
You are here:
Chat with us!