Phone:
+1 877 302 8632
Fax:
+1 888 205 9894 (Toll-free)
E-Mail:
orders@antibodies-online.com

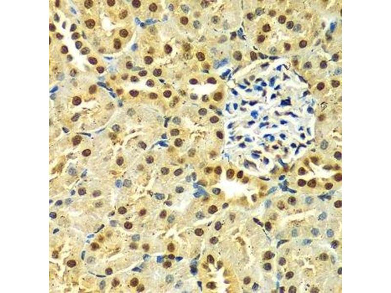
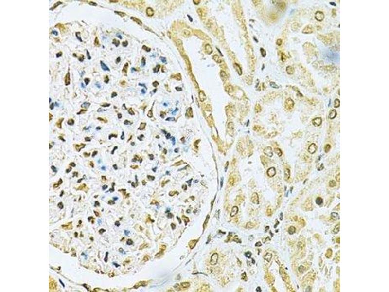
HNRNPA2B1 antibody (AA 1-180)

This Rabbit Polyclonal antibody specifically detects HNRNPA2B1 in WB, IHC and IF. It exhibits reactivity toward Human.It has been mentioned in 1 publication
Catalog No. ABIN3021593
$453.00
Plus shipping costs $50.00
Shipping to: United States
Delivery in 7 to 10 Business Days

Quick Overview for HNRNPA2B1 antibody (AA 1-180) (ABIN3021593)

Target

See all HNRNPA2B1 Antibodies
HNRNPA2B1 (Heterogeneous Nuclear Ribonucleoprotein A2/B1 (HNRNPA2B1))

Reactivity

  • 64
  • 38
  • 33
  • 4
  • 4
  • 3
  • 2
  • 2
  • 2
  • 1
Human

Host

  • 48
  • 15
  • 1
Rabbit

Clonality

  • 49
  • 15
Polyclonal

Conjugate

  • 32
  • 6
  • 4
  • 3
  • 1
  • 1
  • 1
  • 1
  • 1
  • 1
  • 1
  • 1
  • 1
  • 1
  • 1
  • 1
  • 1
  • 1
  • 1
  • 1
  • 1
  • 1
  • 1
This HNRNPA2B1 antibody is un-conjugated

Application

  • 51
  • 25
  • 19
  • 19
  • 13
  • 9
  • 8
  • 4
  • 2
  • 1
  • 1
  • 1
Western Blotting (WB), Immunohistochemistry (IHC), Immunofluorescence (IF)
  • Binding Specificity

    • 8
    • 7
    • 4
    • 2
    • 1
    • 1
    • 1
    AA 1-180

    Sequence

    MEREKEQFRK LFIGGLSFET TEESLRNYYE QWGKLTDCVV MRDPASKRSR GFGFVTFSSM AEVDAAMAAR PHSIDGRVVE PKRAVAREES GKPGAHVTVK KLFVGGIKED TEEHHLRDYF EEYGKIDTIE IITDRQSGKK RGFGFVTFDD HDPVDKIVLQ KYHTINGHNA EVRKALSRQE

    Cross-Reactivity

    Human, Mouse, Rat

    Characteristics

    Polyclonal Antibodies

    Purification

    Affinity purification

    Immunogen

    Recombinant fusion protein containing a sequence corresponding to amino acids 1-180 of human HNRNPA2B1 (NP_002128.1).

    Isotype

    IgG
  • Application Notes

    WB,1:500 - 1:2000,IHC,1:50 - 1:200,IF,1:50 - 1:200

    Restrictions

    For Research Use only
  • Format

    Liquid

    Buffer

    PBS with 0.02 % sodium azide,50 % glycerol, pH 7.3.

    Preservative

    Sodium azide

    Precaution of Use

    This product contains Sodium azide: a POISONOUS AND HAZARDOUS SUBSTANCE which should be handled by trained staff only.

    Handling Advice

    Avoid freeze / thaw cycles

    Storage

    -20 °C

    Storage Comment

    Store at -20°C. Avoid freeze / thaw cycles.
  • Wei, Dai, Zhou, He, Yao, Zhao, Guo, Yang: "Oroxylin A activates PKM1/HNF4 alpha to induce hepatoma differentiation and block cancer progression." in: Cell death & disease, Vol. 8, Issue 7, pp. e2944, (2018) (PubMed).

  • Target

    HNRNPA2B1 (Heterogeneous Nuclear Ribonucleoprotein A2/B1 (HNRNPA2B1))

    Alternative Name

    HNRNPA2B1

    Background

    This gene belongs to the A/B subfamily of ubiquitously expressed heterogeneous nuclear ribonucleoproteins (hnRNPs). The hnRNPs are RNA binding proteins and they complex with heterogeneous nuclear RNA (hnRNA). These proteins are associated with pre-mRNAs in the nucleus and appear to influence pre-mRNA processing and other aspects of mRNA metabolism and transport. While all of the hnRNPs are present in the nucleus, some seem to shuttle between the nucleus and the cytoplasm. The hnRNP proteins have distinct nucleic acid binding properties. The protein encoded by this gene has two repeats of quasi-RRM domains that bind to RNAs. This gene has been described to generate two alternatively spliced transcript variants which encode different isoforms.,HNRNPA2,HNRNPB1,HNRPA2,HNRPA2B1,HNRPB1,IBMPFD2,RNPA2,SNRPB1,HNRNPA2B1,Epigenetics & Nuclear Signaling,RNA Binding,HNRNPA2B1

    Molecular Weight

    36 kDa/37 kDa

    Gene ID

    3181

    UniProt

    P22626
You are here:
Chat with us!