Phone:
+1 877 302 8632
Fax:
+1 888 205 9894 (Toll-free)
E-Mail:
orders@antibodies-online.com

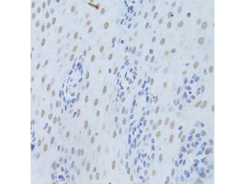
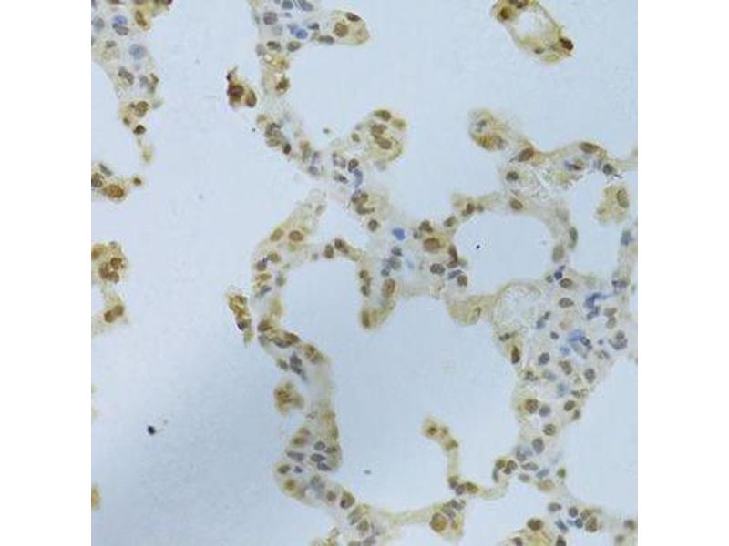
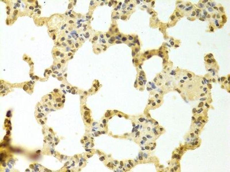
HNRNPK antibody (AA 1-280)

There is 1 publication for this product available. The Rabbit Polyclonal anti-HNRNPK antibody is suitable to detect HNRNPK in samples from Human. It has been validated for WB, IHC and IF.
Catalog No. ABIN3022414
$383.00
Plus shipping costs $50.00
Shipping to: United States
Delivery in 7 to 10 Business Days

Quick Overview for HNRNPK antibody (AA 1-280) (ABIN3022414)

Target

See all HNRNPK Antibodies
HNRNPK (Heterogeneous Nuclear Ribonucleoprotein K (HNRNPK))

Reactivity

  • 109
  • 84
  • 79
  • 11
  • 11
  • 10
  • 8
  • 8
  • 8
  • 7
  • 7
  • 6
  • 3
  • 3
  • 2
  • 2
  • 1
Human

Host

  • 102
  • 7
Rabbit

Clonality

  • 74
  • 35
Polyclonal

Conjugate

  • 56
  • 6
  • 5
  • 5
  • 5
  • 5
  • 5
  • 5
  • 2
  • 2
  • 1
  • 1
  • 1
  • 1
  • 1
  • 1
  • 1
  • 1
  • 1
  • 1
  • 1
  • 1
  • 1
This HNRNPK antibody is un-conjugated

Application

  • 86
  • 48
  • 24
  • 21
  • 17
  • 15
  • 14
  • 13
  • 11
  • 4
  • 4
  • 3
  • 1
  • 1
Western Blotting (WB), Immunohistochemistry (IHC), Immunofluorescence (IF)
  • Binding Specificity

    • 15
    • 14
    • 10
    • 7
    • 5
    • 4
    • 3
    • 2
    • 2
    • 2
    • 1
    • 1
    • 1
    • 1
    • 1
    • 1
    • 1
    AA 1-280

    Sequence

    METEQPEETF PNTETNGEFG KRPAEDMEEE QAFKRSRNTD EMVELRILLQ SKNAGAVIGK GGKNIKALRT DYNASVSVPD SSGPERILSI SADIETIGEI LKKIIPTLEE GLQLPSPTAT SQLPLESDAV ECLNYQHYKG SDFDCELRLL IHQSLAGGII GVKGAKIKEL RENTQTTIKL FQECCPHSTD RVVLIGGKPD RVVECIKIIL DLISESPIKG RAQPYDPNFY DETYDYGGFT MMFDDRRGRP VGFPMRGRGG FDRMPPGRGG RPMPPSRRDY

    Cross-Reactivity

    Human, Mouse, Rat

    Characteristics

    Polyclonal Antibodies

    Purification

    Affinity purification

    Immunogen

    Recombinant fusion protein containing a sequence corresponding to amino acids 1-280 of human hnRNP K (NP_112552.1).

    Isotype

    IgG
  • Application Notes

    WB,1:500 - 1:2000,IHC,1:50 - 1:200,IF,1:50 - 1:200

    Restrictions

    For Research Use only
  • Format

    Liquid

    Buffer

    PBS with 0.02 % sodium azide,50 % glycerol, pH 7.3.

    Preservative

    Sodium azide

    Precaution of Use

    This product contains Sodium azide: a POISONOUS AND HAZARDOUS SUBSTANCE which should be handled by trained staff only.

    Handling Advice

    Avoid freeze / thaw cycles

    Storage

    -20 °C

    Storage Comment

    Store at -20°C. Avoid freeze / thaw cycles.
  • Cao, Zhang, Li, Wu: "LAST, a c-Myc-inducible long noncoding RNA, cooperates with CNBP to promote CCND1 mRNA stability in human cells." in: eLife, Vol. 6, (2018) (PubMed).

  • Target

    HNRNPK (Heterogeneous Nuclear Ribonucleoprotein K (HNRNPK))

    Alternative Name

    HNRNPK

    Background

    This gene belongs to the subfamily of ubiquitously expressed heterogeneous nuclear ribonucleoproteins (hnRNPs). The hnRNPs are RNA binding proteins and they complex with heterogeneous nuclear RNA (hnRNA). These proteins are associated with pre-mRNAs in the nucleus and appear to influence pre-mRNA processing and other aspects of mRNA metabolism and transport. While all of the hnRNPs are present in the nucleus, some seem to shuttle between the nucleus and the cytoplasm. The hnRNP proteins have distinct nucleic acid binding properties. The protein encoded by this gene is located in the nucleoplasm and has three repeats of KH domains that binds to RNAs. It is distinct among other hnRNP proteins in its binding preference, it binds tenaciously to poly(C). This protein is also thought to have a role during cell cycle progession. Several alternatively spliced transcript variants have been described for this gene, however, not all of them are fully characterized.,HNRNPK,AUKS,CSBP,HNRPK,TUNP,Epigenetics & Nuclear Signaling,RNA Binding,HNRNPK

    Molecular Weight

    48 kDa/50 kDa/51 kDa

    Gene ID

    3190

    UniProt

    P61978
You are here:
Chat with us!