Phone:
+1 877 302 8632
Fax:
+1 888 205 9894 (Toll-free)
E-Mail:
orders@antibodies-online.com

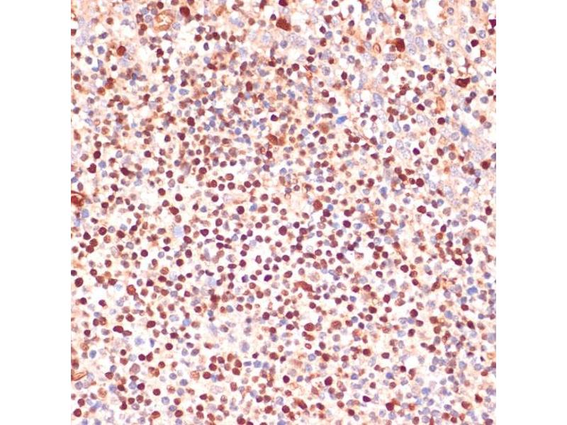
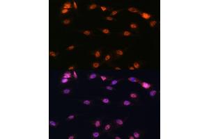
ALOX5 antibody (AA 1-300)

The Rabbit Polyclonal anti-ALOX5 antibody (ABIN3023073) specifically detects ALOX5 in WB, IHC and IF. The antibody is reactive with Human samples.
Catalog No. ABIN3023073
$383.00
Plus shipping costs $50.00
Shipping to: United States
Delivery in 7 to 10 Business Days

Quick Overview for ALOX5 antibody (AA 1-300) (ABIN3023073)

Target

See all ALOX5 Antibodies
ALOX5 (Arachidonate 5-Lipoxygenase (ALOX5))

Reactivity

  • 102
  • 88
  • 69
  • 3
  • 2
  • 2
  • 2
  • 2
  • 1
  • 1
  • 1
  • 1
Human

Host

  • 116
  • 10
  • 1
Rabbit

Clonality

  • 106
  • 21
Polyclonal

Conjugate

  • 52
  • 12
  • 6
  • 4
  • 3
  • 3
  • 3
  • 3
  • 3
  • 3
  • 3
  • 3
  • 3
  • 3
  • 3
  • 3
  • 3
  • 3
  • 3
  • 3
  • 3
  • 1
  • 1
This ALOX5 antibody is un-conjugated

Application

  • 75
  • 40
  • 39
  • 39
  • 27
  • 19
  • 15
  • 14
  • 10
  • 9
  • 7
  • 2
  • 2
Western Blotting (WB), Immunohistochemistry (IHC), Immunofluorescence (IF)
  • Binding Specificity

    • 16
    • 15
    • 15
    • 13
    • 10
    • 7
    • 5
    • 5
    • 3
    • 3
    • 2
    • 2
    • 2
    • 2
    • 1
    • 1
    • 1
    • 1
    • 1
    • 1
    • 1
    • 1
    • 1
    AA 1-300

    Sequence

    MPSYTVTVAT GSQWFAGTDD YIYLSLVGSA GCSEKHLLDK PFYNDFERGA VDSYDVTVDE ELGEIQLVRI EKRKYWLNDD WYLKYITLKT PHGDYIEFPC YRWITGDVEV VLRDGRAKLA RDDQIHILKQ HRRKELETRQ KQYRWMEWNP GFPLSIDAKC HKDLPRDIQF DSEKGVDFVL NYSKAMENLF INRFMHMFQS SWNDFADFEK IFVKISNTIS ERVMNHWQED LMFGYQFLNG CNPVLIRRCT ELPEKLPVTT EMVECSLERQ LSLEQEVQQG NIFIVDFELL DGIDANKTDP

    Cross-Reactivity

    Human, Mouse, Rat

    Characteristics

    Polyclonal Antibodies

    Purification

    Affinity purification

    Immunogen

    Recombinant fusion protein containing a sequence corresponding to amino acids 1-300 of human ALOX5 (NP_000689.1).

    Isotype

    IgG
  • Application Notes

    WB,1:500 - 1:2000,IHC,1:50 - 1:200,IF,1:50 - 1:200

    Restrictions

    For Research Use only
  • Format

    Liquid

    Buffer

    PBS with 0.02 % sodium azide,50 % glycerol, pH 7.3.

    Preservative

    Sodium azide

    Precaution of Use

    This product contains Sodium azide: a POISONOUS AND HAZARDOUS SUBSTANCE which should be handled by trained staff only.

    Handling Advice

    Avoid freeze / thaw cycles

    Storage

    -20 °C

    Storage Comment

    Store at -20°C. Avoid freeze / thaw cycles.
  • Target

    ALOX5 (Arachidonate 5-Lipoxygenase (ALOX5))

    Alternative Name

    ALOX5

    Background

    This gene encodes a member of the lipoxygenase gene family and plays a dual role in the synthesis of leukotrienes from arachidonic acid. The encoded protein, which is expressed specifically in bone marrow-derived cells, catalyzes the conversion of arachidonic acid to 5(S)-hydroperoxy-6-trans-8,11,14-cis-eicosatetraenoic acid, and further to the allylic epoxide 5(S)-trans-7,9-trans-11,14-cis-eicosatetrenoic acid (leukotriene A4). Leukotrienes are important mediators of a number of inflammatory and allergic conditions. Mutations in the promoter region of this gene lead to a diminished response to antileukotriene drugs used in the treatment of asthma and may also be associated with atherosclerosis and several cancers. Alternatively spliced transcript variants encoding different isoforms have been found for this gene.,ALOX5,5-LO,5-LOX,5LPG,LOG5,Cancer,Signal Transduction,Endocrine & Metabolism,Lipid Metabolism,Cardiovascular,Heart,Cardiovascular diseases,Heart disease,ALOX5

    Molecular Weight

    56 kDa/61 kDa/71 kDa/74 kDa/77 kDa

    Gene ID

    240

    UniProt

    P09917
You are here:
Chat with us!