Phone:
+1 877 302 8632
Fax:
+1 888 205 9894 (Toll-free)
E-Mail:
orders@antibodies-online.com

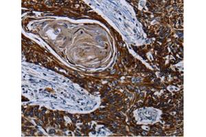
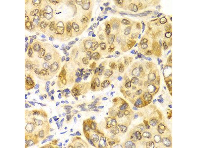
CPT2 antibody

The Rabbit Polyclonal anti-CPT2 antibody is suitable to detect CPT2 in samples from Human. It has been validated for WB.
Catalog No. ABIN3023424
$383.00
Plus shipping costs $50.00
Shipping to: United States
Delivery in 7 to 10 Business Days

Quick Overview for CPT2 antibody (ABIN3023424)

Target

See all CPT2 Antibodies
CPT2 (Carnitine Palmitoyltransferase 2 (CPT2))

Reactivity

  • 79
  • 46
  • 37
  • 2
  • 1
  • 1
  • 1
  • 1
  • 1
  • 1
Human

Host

  • 72
  • 10
  • 2
Rabbit

Clonality

  • 57
  • 27
Polyclonal

Conjugate

  • 42
  • 7
  • 5
  • 4
  • 3
  • 3
  • 3
  • 3
  • 3
  • 3
  • 3
  • 3
  • 1
  • 1
This CPT2 antibody is un-conjugated

Application

  • 63
  • 36
  • 23
  • 16
  • 15
  • 7
  • 4
  • 2
  • 2
  • 2
  • 2
  • 1
  • 1
Western Blotting (WB)
You are here:
Chat with us!