Phone:
+1 877 302 8632
Fax:
+1 888 205 9894 (Toll-free)
E-Mail:
orders@antibodies-online.com

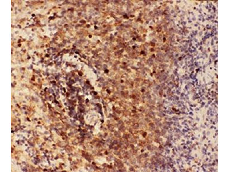
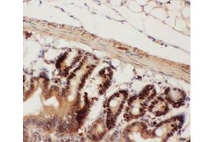
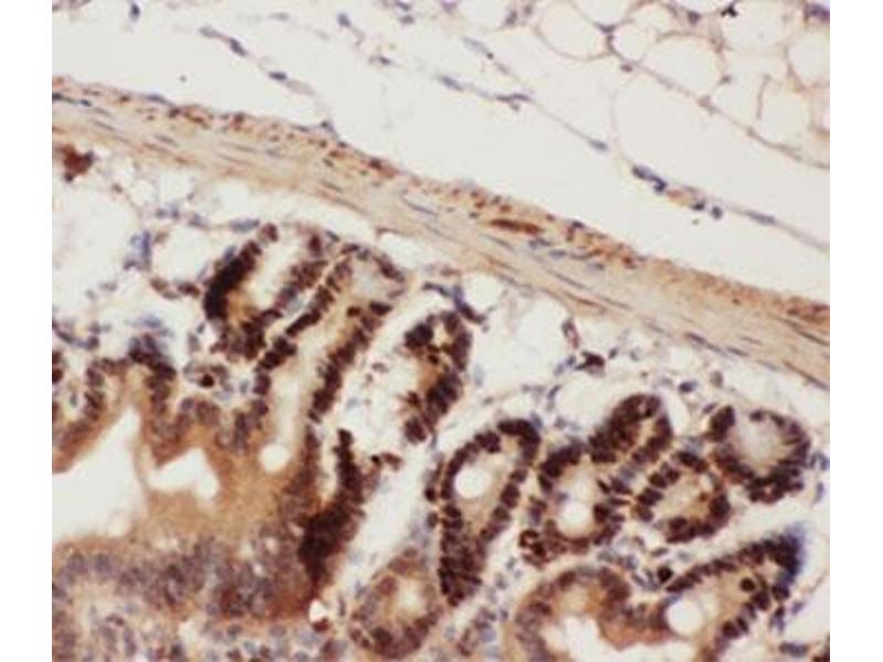
Beclin 1 antibody (AA 1-354)

The Rabbit Polyclonal anti-Beclin 1 antibody is suitable to detect Beclin 1 in samples from Human, Mouse and Rat. It has been validated for WB and IHC (p).
Catalog No. ABIN3030155
$625.62
Plus shipping costs $50.00
100 μg
Shipping to: United States
Delivery in 2 to 4 Business Days

Quick Overview for Beclin 1 antibody (AA 1-354) (ABIN3030155)

Target

See all Beclin 1 (BECN1) Antibodies
Beclin 1 (BECN1) (Beclin 1, Autophagy Related (BECN1))

Reactivity

  • 195
  • 96
  • 79
  • 11
  • 8
  • 8
  • 5
  • 4
  • 4
  • 4
  • 3
  • 3
  • 2
  • 1
  • 1
Human, Mouse, Rat

Host

  • 157
  • 44
  • 1
Rabbit

Clonality

  • 139
  • 63
Polyclonal

Conjugate

  • 113
  • 13
  • 10
  • 9
  • 9
  • 8
  • 2
  • 2
  • 2
  • 2
  • 2
  • 2
  • 2
  • 2
  • 2
  • 2
  • 2
  • 2
  • 2
  • 2
  • 2
  • 2
  • 2
  • 1
  • 1
  • 1
  • 1
  • 1
  • 1
This Beclin 1 antibody is un-conjugated

Application

  • 161
  • 85
  • 68
  • 47
  • 42
  • 31
  • 26
  • 26
  • 17
  • 16
  • 13
  • 3
  • 2
  • 2
  • 2
Western Blotting (WB), Immunohistochemistry (Paraffin-embedded Sections) (IHC (p))
  • Binding Specificity

    • 16
    • 15
    • 13
    • 8
    • 8
    • 7
    • 6
    • 6
    • 6
    • 6
    • 6
    • 4
    • 4
    • 4
    • 3
    • 2
    • 2
    • 2
    • 2
    • 2
    • 2
    • 2
    • 2
    • 2
    • 2
    • 2
    • 2
    • 1
    • 1
    • 1
    • 1
    • 1
    • 1
    • 1
    • 1
    • 1
    • 1
    • 1
    • 1
    • 1
    • 1
    • 1
    • 1
    • 1
    • 1
    AA 1-354

    Purification

    Antigen affinity

    Immunogen

    Human partial recombinant protein (AA 1-354) was used as the immunogen for this Beclin 1 antibody.

    Isotype

    IgG
  • Application Notes

    Titration of the Beclin 1 antibody may be required due to differences in protocols and secondary/substrate sensitivity.\. Western blot: 0.5-1 μg/mL,IHC (Paraffin): 0.5-1 μg/mL

    Restrictions

    For Research Use only
  • Buffer

    0.5 mg/mL if reconstituted with 0.2 mL sterile DI water

    Storage

    -20 °C

    Storage Comment

    After reconstitution, the Beclin 1 antibody can be stored for up to one month at 4°C. For long-term, aliquot and store at -20°C. Avoid repeated freezing and thawing.
  • Target

    Beclin 1 (BECN1) (Beclin 1, Autophagy Related (BECN1))

    Alternative Name

    Beclin 1

    Background

    Beclin 1, also known as also known as ATG6 or VPS30 is a protein that in humans is encoded by the BECN1 gene. Beclin 1 and its binding partner class III phosphoinositide 3-kinase (PI3K), also named Vps34, are required for the initiation of the formation of the autophagosome in autophagy. This gene participates in the regulation of autophagy and has an important role in development, tumorigenesis, and neurodegeneration. Schizophrenia is associated with low levels of the protein in the hippocampus of the affected which causes diminished autophagy which in turn results in increased neuronal cell death. It has been found that Beclin 1 can promote autophagy in autophagy-defective yeast with a targeted disruption of apg6/vps30, and in human MCF7 breast carcinoma cells.

    Gene ID

    8678

    Pathways

    Autophagy
You are here:
Chat with us!