Phone:
+1 877 302 8632
Fax:
+1 888 205 9894 (Toll-free)
E-Mail:
orders@antibodies-online.com

AMY1A antibody (N-Term)

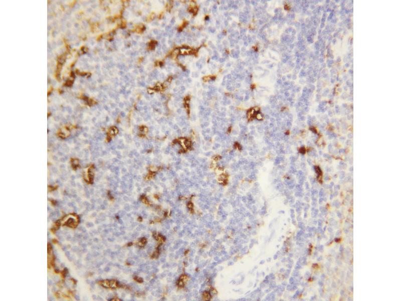
The Rabbit Polyclonal anti-AMY1A antibody (ABIN3043188) specifically detects AMY1A in WB and IHC. The antibody is reactive with Human, Mouse and Rat samples.
Catalog No. ABIN3043188
$370.00
Plus shipping costs $50.00
100 μg
Shipping to: United States
Delivery in 4 to 7 Business Days

Quick Overview for AMY1A antibody (N-Term) (ABIN3043188)

Target

See all AMY1A Antibodies
AMY1A (Amylase, alpha 1A (Salivary) (AMY1A))

Reactivity

  • 56
  • 17
  • 11
  • 3
  • 1
  • 1
  • 1
  • 1
  • 1
Human, Mouse, Rat

Host

  • 41
  • 22
  • 3
Rabbit

Clonality

  • 43
  • 23
Polyclonal

Conjugate

  • 38
  • 4
  • 4
  • 4
  • 2
  • 2
  • 2
  • 2
  • 2
  • 2
  • 2
  • 2
This AMY1A antibody is un-conjugated

Application

  • 45
  • 26
  • 21
  • 9
  • 8
  • 8
  • 5
  • 3
Western Blotting (WB), Immunohistochemistry (IHC)
  • Binding Specificity

    • 7
    • 7
    • 6
    • 4
    • 3
    • 2
    • 2
    • 2
    • 1
    • 1
    • 1
    • 1
    • 1
    • 1
    • 1
    • 1
    • 1
    • 1
    AA 30-44, N-Term

    Purpose

    Anti-Alpha Amylase 1/AMY1A Antibody

    Sequence

    HLFEWRWVDI ALECE

    Cross-Reactivity (Details)

    No cross-reactivity with other proteins

    Characteristics

    Anti-Alpha Amylase 1/AMY1A Antibody (ABIN3043188). Tested in IHC, WB applications. This antibody reacts with Human, Mouse, Rat. This is a premium antibody that guarantees superior quality, high affinity, and strong signals with minimal background in Western blot applications.

    Purification

    Immunogen affinity purified.

    Immunogen

    A synthetic peptide corresponding to a sequence at the N-terminus of human Alpha Amylase 1, different from the related rat and mouse sequences by one amino acid.

    Isotype

    IgG
  • Application Notes

    Immunohistochemistry (Paraffin-embedded Section), 0.5-1 μg/mL, Rat, Human, Mouse
    Western blot, 0.1-0.5 μg/mL, Human, Mouse, Rat

    Comment

    Antibody can be supported by chemiluminescence kit ABIN921124 in WB, supported by ABIN921231 in IHC(P).

    Restrictions

    For Research Use only
  • Format

    Lyophilized

    Reconstitution

    Add 0.2 mL of distilled water will yield a concentration of 500 μg/mL.

    Concentration

    500 μg/mL

    Buffer

    Each vial contains 5 mg BSA, 0.9 mg NaCl, 0.2 mg Na2HPO4, 0.05 mg Thimerosal, 0.05 mg Sodium azide.

    Preservative

    Thimerosal (Merthiolate), Sodium azide

    Precaution of Use

    This product contains Thimerosal (Merthiolate) and Sodium azide: POISONOUS AND HAZARDOUS SUBSTANCES which should be handled by trained staff only.

    Handling Advice

    Avoid repeated freezing and thawing.

    Storage

    4 °C,-20 °C

    Storage Comment

    Store at -20°C for one year from date of receipt. After reconstitution, at 4°C for one month.
    It can also be aliquotted and stored frozen at -20°C for six months. Avoid repeated freeze-thaw cycles.

    Expiry Date

    12 months
  • Target

    AMY1A (Amylase, alpha 1A (Salivary) (AMY1A))

    Alternative Name

    AMY1A

    Background

    Synonyms: Alpha-amylase 1,3.2.1.1,1,4-alpha-D-glucan glucanohydrolase 1,Salivary alpha-amylase,AMY1A,AMY1,AMY1B,AMY1,AMY1C,AMY1,

    Tissue Specificity: Expressed in vascular smooth muscle cells.

    Background: Amylase is an enzyme that catalyses the breakdown of starch into sugars. Amylase is present in human saliva, where it begins the chemical process of digestion. By in situ hybridization combined with high resolution cytogenetics, the amylase gene is mapped to 1p21.Amylase enzymes find use in bread making and to break down complex sugars such as starch (found in flour) into simple sugars. Yeast then feeds on these simple sugars and converts it into the waste products of alcohol and CO2.

    Sequence Similarities: Belongs to the glycosyl hydrolase 13 family.

    Molecular Weight

    55-58 kDa

    UniProt

    P04745
You are here:
Chat with us!