Phone:
+1 877 302 8632
Fax:
+1 888 205 9894 (Toll-free)
E-Mail:
orders@antibodies-online.com

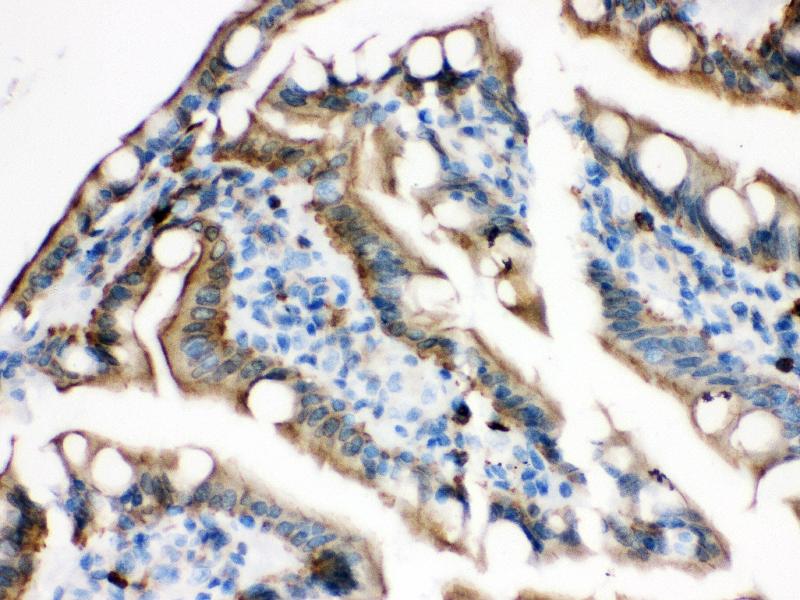
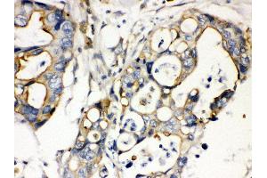
PLEC antibody (Middle Region)

This Rabbit Polyclonal antibody specifically detects PLEC in IHC, WB, ICC and IF. It exhibits reactivity toward Human, Mouse and Rat.
Catalog No. ABIN3043900
$370.00
Plus shipping costs $50.00
100 μg
Shipping to: United States
Delivery in 4 to 7 Business Days

Quick Overview for PLEC antibody (Middle Region) (ABIN3043900)

Target

See all PLEC Antibodies
PLEC (Plectin (PLEC))

Reactivity

Human, Mouse, Rat

Host

  • 56
  • 6
  • 1
Rabbit

Clonality

  • 39
  • 24
Polyclonal

Conjugate

  • 22
  • 4
  • 3
  • 3
  • 3
  • 3
  • 3
  • 3
  • 3
  • 2
  • 1
  • 1
  • 1
  • 1
  • 1
  • 1
  • 1
  • 1
  • 1
  • 1
  • 1
  • 1
  • 1
  • 1
This PLEC antibody is un-conjugated

Application

  • 24
  • 16
  • 13
  • 13
  • 13
  • 12
  • 6
  • 5
  • 4
  • 3
  • 1
  • 1
Immunohistochemistry (IHC), Western Blotting (WB), Immunocytochemistry (ICC), Immunofluorescence (IF)
  • Binding Specificity

    • 15
    • 5
    • 2
    • 2
    • 2
    • 2
    • 1
    • 1
    • 1
    • 1
    AA 2644-2671, Middle Region

    Purpose

    Anti-Plectin Antibody

    Sequence

    RFIEQEKAKL EQLFQDEVAK AQQLREEQ

    Cross-Reactivity (Details)

    No cross-reactivity with other proteins

    Characteristics

    Anti-Plectin Antibody (ABIN3043900). Tested in IF, IHC, ICC, WB applications. This antibody reacts with Human, Mouse, Rat. This is a premium antibody that guarantees superior quality, high affinity, and strong signals with minimal background in Western blot applications.

    Purification

    Immunogen affinity purified.

    Immunogen

    A synthetic peptide corresponding to a sequence in the middle region of human Plectin, different from the related mouse sequence by one amino acid, and from the related rat sequence by two amino acids.

    Isotype

    IgG
  • Application Notes

    Western blot, 0.1-0.5 μg/mL, Human
    Immunohistochemistry (Paraffin-embedded Section), 2-5 μg/mL, Human, Mouse, Rat
    Immunocytochemistry/Immunofluorescence, 5 μg/mL, Human

    Comment

    Antibody can be supported by chemiluminescence kit ABIN921124 in WB, supported by ABIN921231 in IHC(P).

    Restrictions

    For Research Use only
  • Format

    Lyophilized

    Reconstitution

    Add 0.2 mL of distilled water will yield a concentration of 500 μg/mL.

    Concentration

    500 μg/mL

    Buffer

    Each vial contains 5 mg BSA, 0.9 mg NaCl, 0.2 mg Na2HPO4, 0.05 mg Sodium azide.

    Preservative

    Sodium azide

    Precaution of Use

    This product contains Sodium azide: a POISONOUS AND HAZARDOUS SUBSTANCE which should be handled by trained staff only.

    Handling Advice

    Avoid repeated freezing and thawing.

    Storage

    4 °C,-20 °C

    Storage Comment

    Store at -20°C for one year from date of receipt. After reconstitution, at 4°C for one month.
    It can also be aliquotted and stored frozen at -20°C for six months. Avoid repeated freeze-thaw cycles.
  • Target

    PLEC (Plectin (PLEC))

    Alternative Name

    PLEC

    Background

    Synonyms: Plectin,PCN,PLTN,Hemidesmosomal protein 1,HD1,Plectin-1,PLEC,PLEC1,

    Tissue Specificity: Widely expressed with highest levels in muscle, heart, placenta and spinal cord.

    Background: Plectin, known as PLEC, is a prominent member of an important family of structurally and in part functionally related proteins, termed plakins or cytolinkers, that are capable of interlinking different elements of the cytoskeleton. Plakins, with their multi-domain structure and enormous size, not only play crucial roles in maintaining cell and tissue integrity and orchestrating dynamic changes in cytoarchitecture and cell shape, but also serve as scaffolding platforms for the assembly, positioning, and regulation of signaling complexes. Plectin is expressed as several protein isoforms in a wide range of cell types and tissues from a single gene located on chromosome 8 in humans. The plectin gene locus in mouse on chromosome 15 has been analyzed in detail, revealing a genomic exon-intron organization with well over 40 exons spanning over 62 kb and an unusual 5' transcript complexity of plectin isoforms. Eleven exons (1-1j) have been identified that alternatively splice ly into a common exon 2 which is the first exon to encode plectin's highly conserved actin binding domain (ABD). Three additional exons (-1, 0a, and 0) splice into an alternative first coding exon (1c), and two additional exons (2alpha and 3alpha) are optionally spliced within the exons encoding the acting binding domain (exons 2-8). Analysis of the human locus has identified eight of the eleven alternative 5' exons found in mouse and rat, exons 1i, 1j and 1h have not been confirmed in human. Furthermore, isoforms lacking the central rod domain encoded by exon 31 have been detected in mouse, rat, and human. The short alternative amino-terminal sequences encoded by the different first exons the targeting of the various isoforms to distinct subcellular locations. As the expression of specific plectin isoforms was found to be dependent on cell type (tissue) and stage of development, it appears that each cell type (tissue) contains a unique set (proportion and composition) of plectin isoforms, as if custom-made for specific requirements of the particular cells. Concordantly, individual isoforms were found to carry out distinct and specific functions.

    Sequence Similarities: Belongs to the plakin or cytolinker family.

    Molecular Weight

    532 kDa

    Gene ID

    5339

    UniProt

    Q15149
You are here:
Chat with us!