Phone:
+1 877 302 8632
Fax:
+1 888 205 9894 (Toll-free)
E-Mail:
orders@antibodies-online.com

UBE2Q2 antibody (N-Term)

The Rabbit Polyclonal anti-UBE2Q2 antibody (ABIN3043953) specifically detects UBE2Q2 in WB and FACS. The antibody is reactive with Human samples.
Catalog No. ABIN3043953
$370.00
Plus shipping costs $50.00
100 μg
Shipping to: United States
Delivery in 4 to 7 Business Days

Quick Overview for UBE2Q2 antibody (N-Term) (ABIN3043953)

Target

See all UBE2Q2 Antibodies
UBE2Q2 (Ubiquitin-Conjugating Enzyme E2Q Family Member 2 (UBE2Q2))

Reactivity

  • 35
  • 8
  • 4
  • 2
  • 2
  • 2
  • 2
  • 2
  • 2
  • 2
  • 2
  • 1
  • 1
Human

Host

  • 31
  • 4
Rabbit

Clonality

  • 33
  • 2
Polyclonal

Conjugate

  • 17
  • 4
  • 3
  • 3
  • 1
  • 1
  • 1
  • 1
  • 1
  • 1
  • 1
  • 1
This UBE2Q2 antibody is un-conjugated

Application

  • 26
  • 20
  • 5
  • 3
  • 3
  • 2
  • 1
Western Blotting (WB), Flow Cytometry (FACS)
  • Binding Specificity

    • 7
    • 6
    • 2
    • 2
    • 2
    • 2
    • 1
    • 1
    • 1
    • 1
    AA 83-123, N-Term

    Purpose

    Anti-UBE2Q2 Antibody

    Sequence

    LERLEDTKNN NLLRQQLKWL ICELCSLYNL PKHLDVEMLD Q

    Cross-Reactivity (Details)

    No cross-reactivity with other proteins

    Characteristics

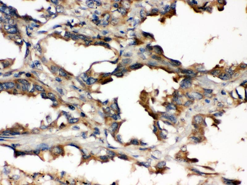
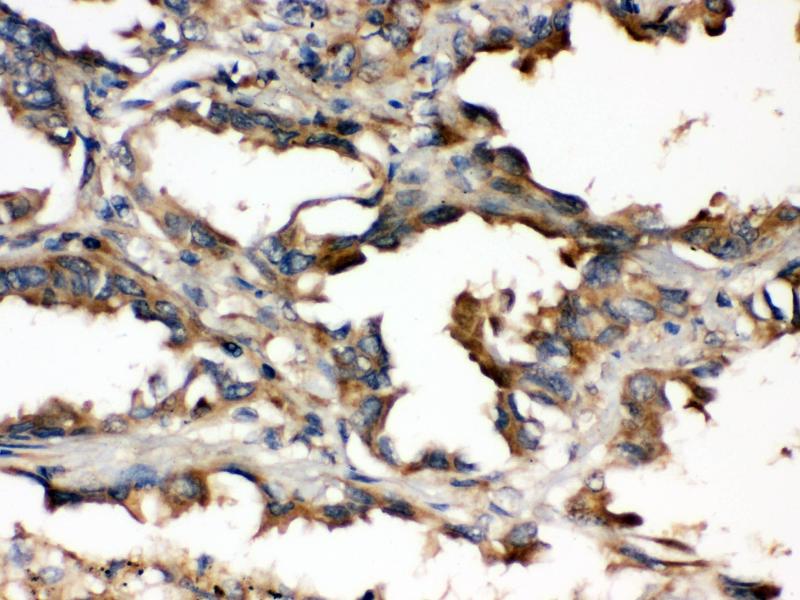
    Anti-UBE2Q2 Antibody (ABIN3043953). Tested in Flow Cytometry, IF, IHC, ICC, WB applications. This antibody reacts with Human. This is a premium antibody that guarantees superior quality, high affinity, and strong signals with minimal background in Western blot applications.

    Purification

    Immunogen affinity purified.

    Immunogen

    A synthetic peptide corresponding to a sequence at the N-terminus of human UBE2Q2, different from the related mouse sequence by four amino acids.

    Isotype

    IgG
  • Application Notes

    Western blot, 0.1-0.5 μg/mL, Human, Mouse, Rat
    Flow Cytometry (Fixed), 1-3 μg/1x106 cells, Human

    Comment

    Antibody can be supported by chemiluminescence kit ABIN921124 in WB, supported by ABIN921231 in IHC(P).

    Restrictions

    For Research Use only
  • Format

    Lyophilized

    Reconstitution

    Add 0.2 mL of distilled water will yield a concentration of 500 μg/mL.

    Concentration

    500 μg/mL

    Buffer

    Each vial contains 4 mg Trehalose, 0.9 mg NaCl and 0.2 mg Na2HPO4.

    Handling Advice

    Avoid repeated freezing and thawing.

    Storage

    4 °C,-20 °C

    Storage Comment

    Store at -20°C for one year from date of receipt. After reconstitution, at 4°C for one month.
    It can also be aliquotted and stored frozen at -20°C for six months. Avoid repeated freeze-thaw cycles.
  • Target

    UBE2Q2 (Ubiquitin-Conjugating Enzyme E2Q Family Member 2 (UBE2Q2))

    Alternative Name

    UBE2Q2

    Background

    Synonyms: Ubiquitin-conjugating enzyme E2 Q2,2.3.2.23 ,E2 ubiquitin-conjugating enzyme Q2,Ubiquitin carrier protein Q2,Ubiquitin-protein ligase Q2,UBE2Q2,

    Tissue Specificity: Detected in hypopharyngeal head and neck squamous cell carcinoma, in tumor masses and invasive epithelium. .

    Background: UBE2Q2 is identified as a putative ubiquitin-conjugating enzyme (E2) in a microarray screen for mitotic regulatory proteins. Its gene is mapped to 15q24.2. UBE2Q2 can covalently bind ubiquitin on the active site cysteine within the UBC domain. Inhibition of UBE2Q2 in HeLa cells causes an early mitotic arrest and increases cytotoxicity when the cells are treated with microtubule-inhibiting agents (MIAs). Changes in cell cycle progression and viability are not observed in the absence of MIA treatment, indicating that UBE2Q2 is involved in the response to MIAs rather than performing a more general function in mitosis. Moreover, inhibition of the UBE2Q2 protein causes cells to undergo a prolonged prophase arrest, suggesting that UBE2Q2 normally functions to antagonize an early mitotic checkpoint. Finally, inhibition of UBE2Q2 also sensitizes cells to the cytotoxic effects of MIAs through caspase-mediated apoptosis that is correlated with PARP1 cleavage.

    Molecular Weight

    50 kDa

    Gene ID

    92912
You are here:
Chat with us!