Phone:
+1 877 302 8632
Fax:
+1 888 205 9894 (Toll-free)
E-Mail:
orders@antibodies-online.com

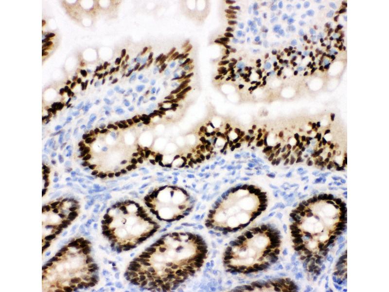
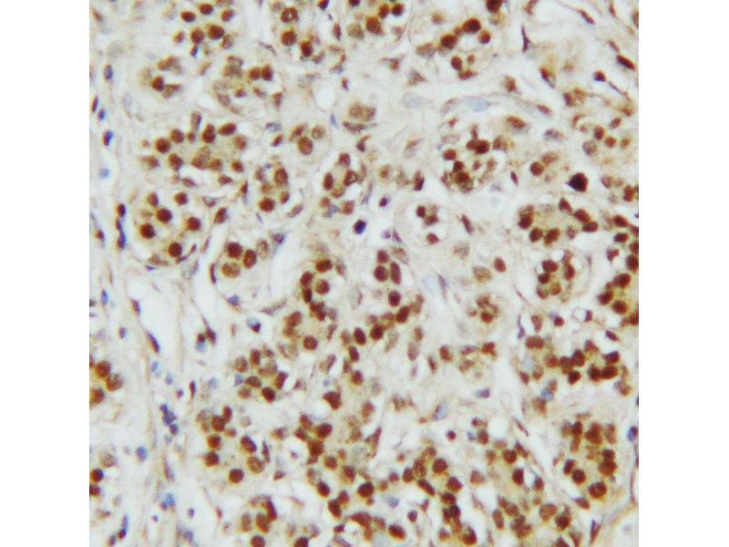
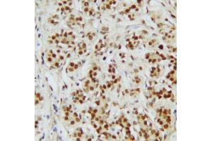
CTBP2 antibody (C-Term)

The Rabbit Polyclonal anti-CTBP2 antibody (ABIN3044439) specifically detects CTBP2 in WB, IHC, IF, ICC, FACS and IHC (fro). The antibody is reactive with Human, Mouse and Rat samples.
Catalog No. ABIN3044439
$370.00
Plus shipping costs $50.00
100 μg
Shipping to: United States
Delivery in 4 to 7 Business Days

Quick Overview for CTBP2 antibody (C-Term) (ABIN3044439)

Target

See all CTBP2 Antibodies
CTBP2 (C-terminal Binding Protein 2 (CTBP2))

Reactivity

  • 69
  • 29
  • 28
  • 6
  • 4
  • 4
  • 4
  • 3
  • 3
  • 3
  • 3
  • 2
  • 2
  • 1
  • 1
Human, Mouse, Rat

Host

  • 57
  • 12
Rabbit

Clonality

  • 49
  • 20
Polyclonal

Conjugate

  • 48
  • 3
  • 2
  • 2
  • 2
  • 2
  • 2
  • 2
  • 1
  • 1
  • 1
  • 1
  • 1
  • 1
This CTBP2 antibody is un-conjugated

Application

  • 58
  • 39
  • 25
  • 20
  • 19
  • 7
  • 5
  • 4
  • 1
  • 1
  • 1
  • 1
  • 1
  • 1
  • 1
Western Blotting (WB), Immunohistochemistry (IHC), Immunofluorescence (IF), Immunocytochemistry (ICC), Flow Cytometry (FACS), Immunohistochemistry (Frozen Sections) (IHC (fro))
  • Binding Specificity

    • 10
    • 8
    • 3
    • 3
    • 3
    • 2
    • 2
    • 2
    • 2
    • 1
    • 1
    • 1
    • 1
    • 1
    • 1
    • 1
    • 1
    • 1
    • 1
    • 1
    • 1
    AA 429-445, C-Term

    Purpose

    Anti-C-terminal-binding protein 2 CTBP2 Antibody

    Sequence

    PNQPTKHGDN REHPNEQ

    Cross-Reactivity (Details)

    No cross-reactivity with other proteins

    Characteristics

    Anti-C-terminal-binding protein 2 CTBP2 Antibody (ABIN3044439). Tested in Flow Cytometry, IF, IHC, IHC-F, ICC, WB applications. This antibody reacts with Human, Mouse, Rat. This is a premium antibody that guarantees superior quality, high affinity, and strong signals with minimal background in Western blot applications.

    Purification

    Immunogen affinity purified.

    Immunogen

    A synthetic peptide corresponding to a sequence at the C-terminus of human CTBP2, identical to the related rat and mouse sequences.

    Isotype

    IgG
  • Application Notes

    Western blot, 0.1-0.5 μg/mL, Human, Mouse, Rat
    Immunohistochemistry (Paraffin-embedded Section), 0.5-1 μg/mL, Human, Mouse, Rat
    Immunohistochemistry (Frozen Section), 0.5-1 μg/mL, Mouse, Rat
    Immunocytochemistry , 0.5-1 μg/mL, Human, -
    Immunocytochemistry/Immunofluorescence, 5 μg/mL, Human
    Flow Cytometry (Fixed), 1-3 μg/1x106 cells, Human

    Comment

    Antibody can be supported by chemiluminescence kit ABIN921124 in WB, supported by ABIN921231 in IHC(P), IHC(F) and ICC.

    Restrictions

    For Research Use only
  • Format

    Lyophilized

    Reconstitution

    Add 0.2 mL of distilled water will yield a concentration of 500 μg/mL.

    Concentration

    500 μg/mL

    Buffer

    Each vial contains 5 mg BSA, 0.9 mg NaCl, 0.2 mg Na2HPO4, 0.05 mg Thimerosal, 0.05 mg Sodium azide.

    Preservative

    Thimerosal (Merthiolate), Sodium azide

    Precaution of Use

    This product contains Thimerosal (Merthiolate) and Sodium azide: POISONOUS AND HAZARDOUS SUBSTANCES which should be handled by trained staff only.

    Handling Advice

    Avoid repeated freezing and thawing.

    Storage

    4 °C,-20 °C

    Storage Comment

    Store at -20°C for one year from date of receipt. After reconstitution, at 4°C for one month.
    It can also be aliquotted and stored frozen at -20°C for six months. Avoid repeated freeze-thaw cycles.

    Expiry Date

    12 months
  • Target

    CTBP2 (C-terminal Binding Protein 2 (CTBP2))

    Alternative Name

    CTBP2

    Background

    Synonyms: C-terminal-binding protein 2,CtBP2,CTBP2,

    Tissue Specificity: Ubiquitous. Highest levels in heart, skeletal muscle, and pancreas.

    Background: The E1a region of group C adenoviruses encodes 2 nearly identical proteins that are largely responsible for the oncogenic properties of adenoviruses. The CTBP1 protein binds to the C-terminal half of these E1A proteins. It's predicted that CTBP2 is a 445-amino acid protein and it is 72 % identical to CTBP1. The CTBP2 gene is mapped to chromosome 10q26.13. CTBP2 is a mammalian corepressor that targets diverse transcriptional regulators. It bounds the short medial portion of delta-EF1 containing the PLDLSL motif and it enhances transrepression activity of delta-EF1.

    Sequence Similarities: Belongs to the G-protein coupled receptor 1 family. FSH/LSH/TSH subfamily.

    Molecular Weight

    49 kDa

    UniProt

    P56545
You are here:
Chat with us!