Phone:
+1 877 302 8632
Fax:
+1 888 205 9894 (Toll-free)
E-Mail:
orders@antibodies-online.com

CGB7 antibody

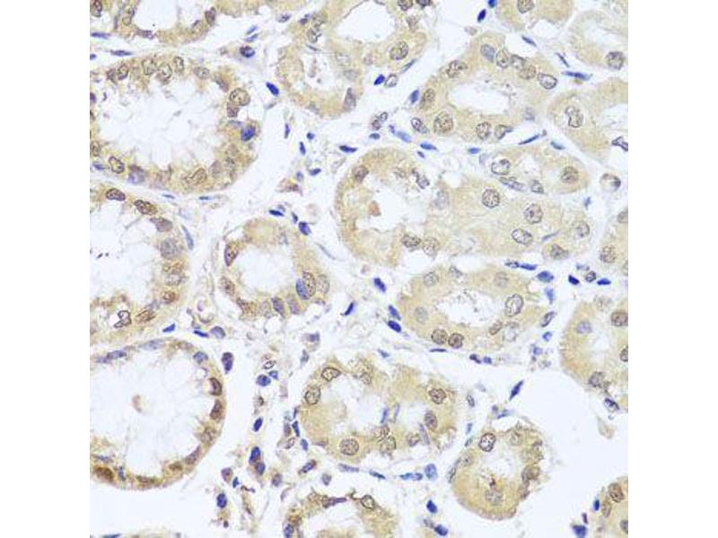
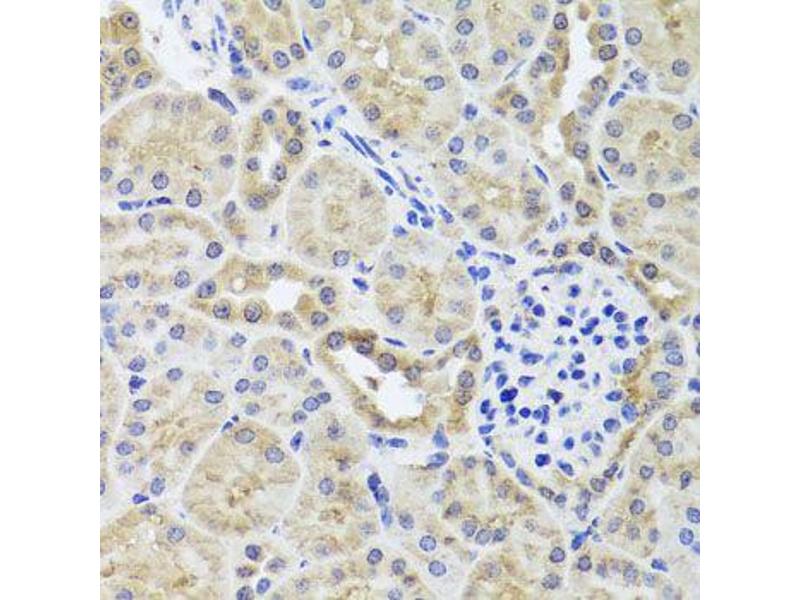
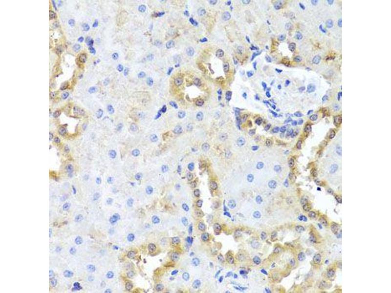
The Rabbit Polyclonal anti-CGB7 antibody (ABIN3034500) specifically detects CGB7 in WB and IHC. The antibody is reactive with Human, Mouse and Rat samples.
Catalog No. ABIN3034500
$980.86
Plus shipping costs $50.00
Shipping to: United States
Delivery in 10 to 18 Business Days

Quick Overview for CGB7 antibody (ABIN3034500)

Target

See all CGB7 Antibodies
CGB7 (Chorionic Gonadotropin, beta Polypeptide 7 (CGB7))

Reactivity

Human, Mouse, Rat

Host

  • 3
  • 2
Rabbit

Clonality

  • 3
  • 2
Polyclonal

Conjugate

  • 5
This CGB7 antibody is un-conjugated

Application

  • 5
  • 3
  • 1
Western Blotting (WB), Immunohistochemistry (IHC)
  • Purification

    Affinity purified

    Isotype

    IgG
  • Application Notes

    Optimal working dilution should be determined by the investigator.

    Restrictions

    For Research Use only
  • Format

    Liquid

    Concentration

    Lot specific

    Buffer

    PBS,  pH 7.3, 0.02 % sodium azide, 50 % glycerol.

    Preservative

    Sodium azide

    Precaution of Use

    This product contains Sodium azide: a POISONOUS AND HAZARDOUS SUBSTANCE which should be handled by trained staff only.

    Storage

    -20 °C

    Storage Comment

    Aliquot and store at -20 °C. Avoid repeated freeze/thaw cycles.
  • Target

    CGB7 (Chorionic Gonadotropin, beta Polypeptide 7 (CGB7))

    Alternative Name

    CGB7

    Molecular Weight

    Calculated MW: 18 kDa
    Observed MW: 18 kDa

    Gene ID

    94027

    UniProt

    P01233
You are here:
Chat with us!