Phone:
+1 877 302 8632
Fax:
+1 888 205 9894 (Toll-free)
E-Mail:
orders@antibodies-online.com

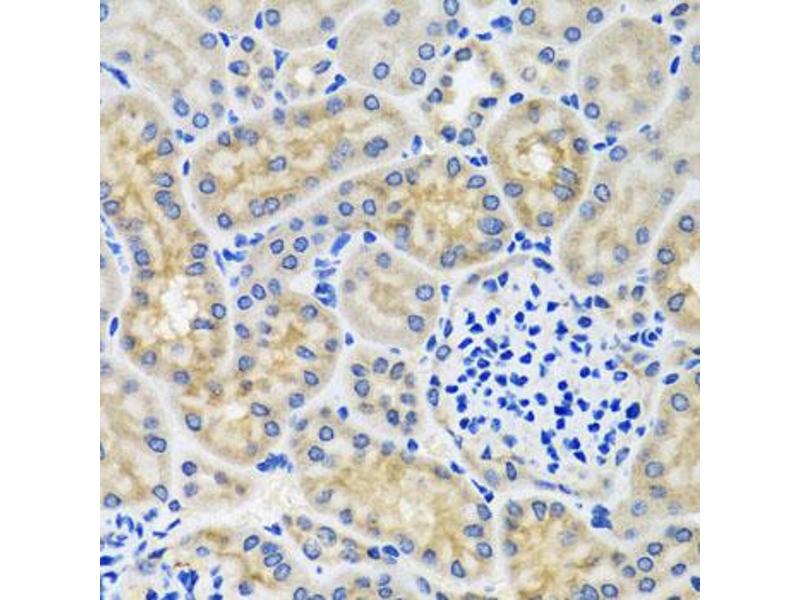
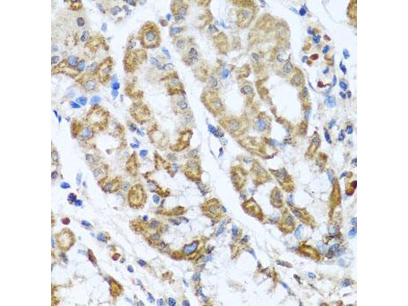
ANTXR2 antibody

This Rabbit Polyclonal antibody specifically detects ANTXR2 in WB and IHC. It exhibits reactivity toward Human, Mouse and Rat.
Catalog No. ABIN3034129
$642.06
Plus shipping costs $50.00
Shipping to: United States
Delivery in 10 to 18 Business Days

Quick Overview for ANTXR2 antibody (ABIN3034129)

Target

See all ANTXR2 Antibodies
ANTXR2 (Anthrax Toxin Receptor 2 (ANTXR2))

Reactivity

  • 40
  • 17
  • 12
  • 7
  • 7
  • 5
  • 4
  • 3
  • 3
  • 2
  • 2
  • 1
Human, Mouse, Rat

Host

  • 35
  • 6
  • 2
Rabbit

Clonality

  • 39
  • 4
Polyclonal

Conjugate

  • 25
  • 1
  • 1
  • 1
  • 1
  • 1
  • 1
  • 1
  • 1
  • 1
  • 1
  • 1
  • 1
  • 1
  • 1
  • 1
  • 1
  • 1
  • 1
This ANTXR2 antibody is un-conjugated

Application

  • 40
  • 14
  • 13
  • 13
  • 11
  • 5
  • 4
  • 3
  • 3
  • 1
  • 1
Western Blotting (WB), Immunohistochemistry (IHC)
You are here:
Chat with us!