Phone:
+1 877 302 8632
Fax:
+1 888 205 9894 (Toll-free)
E-Mail:
orders@antibodies-online.com

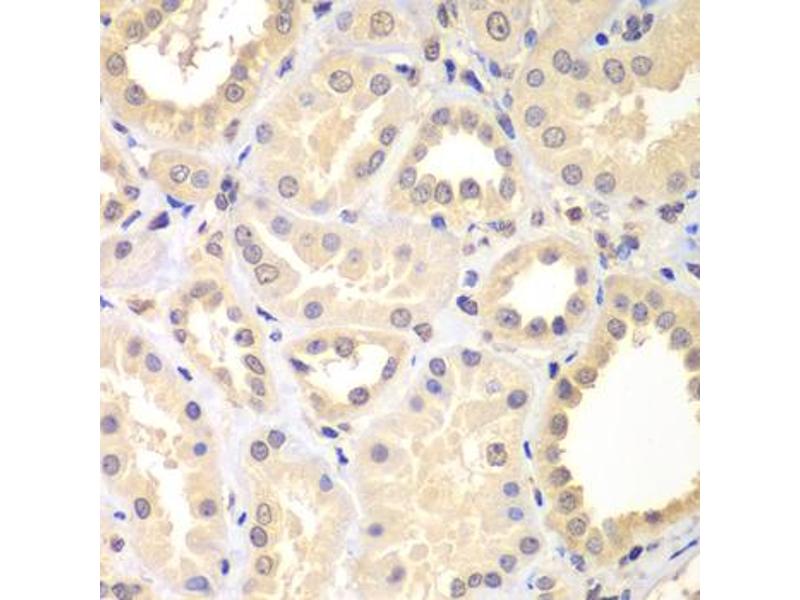
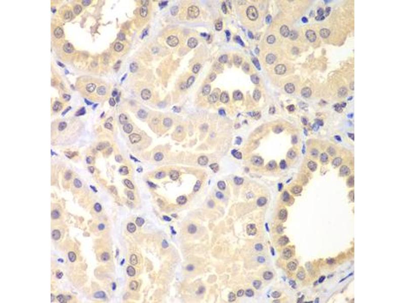
Spindlin 2B antibody

This Rabbit Polyclonal antibody specifically detects Spindlin 2B in WB and IHC. It exhibits reactivity toward Human, Mouse and Rat.
Catalog No. ABIN3047801
$626.66
Plus shipping costs $50.00
Shipping to: United States
Delivery in 10 to 18 Business Days

Quick Overview for Spindlin 2B antibody (ABIN3047801)

Target

See all Spindlin 2B (SPIN2B) Antibodies
Spindlin 2B (SPIN2B)

Reactivity

Human, Mouse, Rat

Host

  • 10
Rabbit

Clonality

  • 10
Polyclonal

Conjugate

  • 3
  • 1
  • 1
  • 1
  • 1
  • 1
  • 1
  • 1
This Spindlin 2B antibody is un-conjugated

Application

  • 3
  • 3
  • 3
Western Blotting (WB), Immunohistochemistry (IHC)
  • Purification

    Affinity purified

    Isotype

    IgG
  • Application Notes

    Optimal working dilution should be determined by the investigator.

    Restrictions

    For Research Use only
  • Format

    Liquid

    Concentration

    Lot specific

    Buffer

    PBS,  pH 7.3, 0.02 % sodium azide, 50 % glycerol.

    Preservative

    Sodium azide

    Precaution of Use

    This product contains Sodium azide: a POISONOUS AND HAZARDOUS SUBSTANCE which should be handled by trained staff only.

    Storage

    -20 °C

    Storage Comment

    Aliquot and store at -20 °C. Avoid repeated freeze/thaw cycles.
  • Target

    Spindlin 2B (SPIN2B)

    Alternative Name

    SPIN2B

    Molecular Weight

    Calculated MW: 29 kDa
    Observed MW: 29 kDa

    Gene ID

    474343

    UniProt

    Q9BPZ2
You are here:
Chat with us!