Phone:
+1 877 302 8632
Fax:
+1 888 205 9894 (Toll-free)
E-Mail:
orders@antibodies-online.com

ULK4 antibody

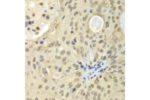
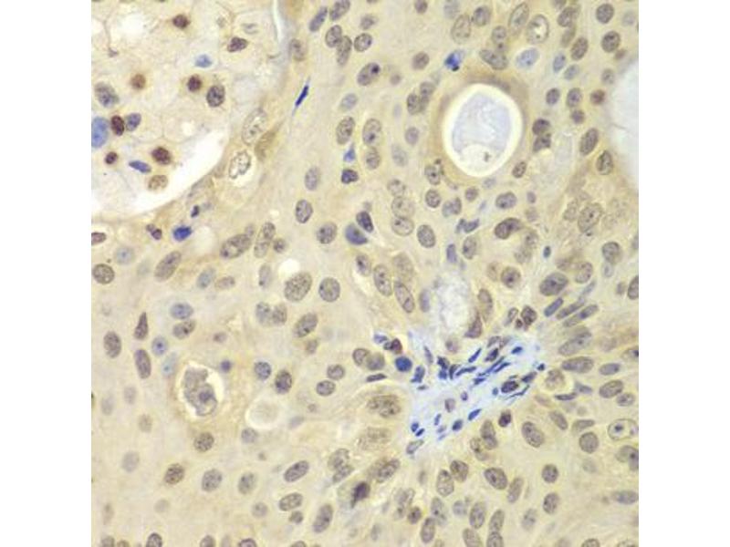
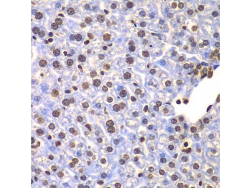
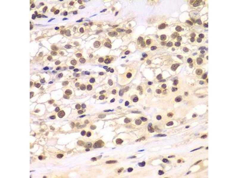
The Rabbit Polyclonal anti-ULK4 antibody (ABIN3040206) specifically detects ULK4 in WB, IHC and IF/ICC. The antibody is reactive with Human, Mouse and Rat samples.
Catalog No. ABIN3040206
$980.86
Plus shipping costs $50.00
Shipping to: United States
Delivery in 10 to 18 Business Days

Quick Overview for ULK4 antibody (ABIN3040206)

Target

See all ULK4 (ULK24) Antibodies
ULK4 (ULK24) (Unc-51-Like Kinase 4 (ULK24))

Reactivity

  • 21
  • 9
  • 6
  • 3
Human, Mouse, Rat

Host

  • 19
  • 2
Rabbit

Clonality

  • 19
  • 2
Polyclonal

Conjugate

  • 13
  • 1
  • 1
  • 1
  • 1
  • 1
  • 1
  • 1
  • 1
This ULK4 antibody is un-conjugated

Application

  • 13
  • 10
  • 6
  • 6
  • 3
  • 3
  • 1
Western Blotting (WB), Immunohistochemistry (IHC), Immunofluorescence (fixed cells) (IF/ICC)
You are here:
Chat with us!