14-3-3 zeta antibody
Quick Overview for 14-3-3 zeta antibody (ABIN3033967)
Target
See all 14-3-3 zeta (YWHAZ) AntibodiesReactivity
Host
Clonality
Conjugate
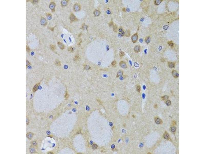
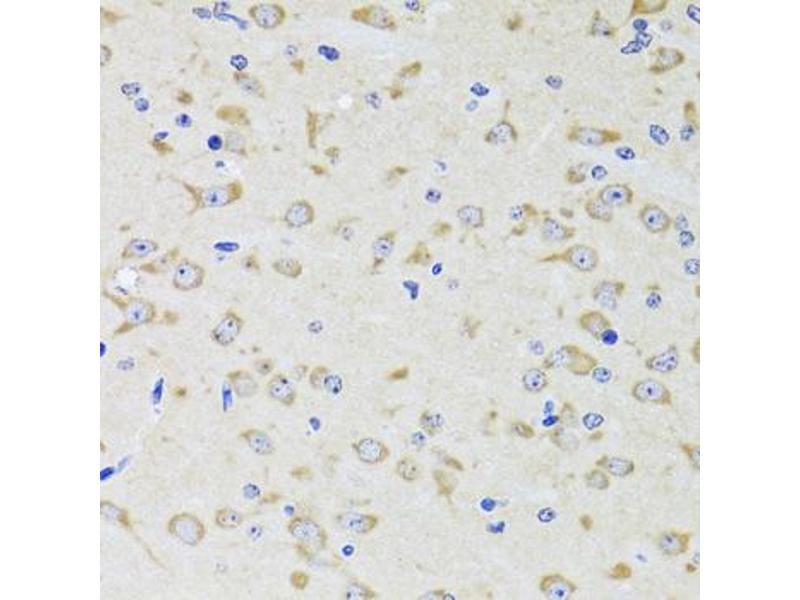
Application
-
-
Purification
- Affinity purified
-
Isotype
- IgG
-
-
-
-
Application Notes
- Optimal working dilution should be determined by the investigator.
-
Restrictions
- For Research Use only
-
-
-
Format
- Liquid
-
Concentration
- Lot specific
-
Buffer
- PBS, pH 7.3, 0.02 % sodium azide, 50 % glycerol.
-
Preservative
- Sodium azide
-
Precaution of Use
- This product contains Sodium azide: a POISONOUS AND HAZARDOUS SUBSTANCE which should be handled by trained staff only.
-
Storage
- -20 °C
-
Storage Comment
- Aliquot and store at -20 °C. Avoid repeated freeze/thaw cycles.
-
-
- 14-3-3 zeta (YWHAZ)
-
Alternative Name
- YWHAZ
-
Molecular Weight
-
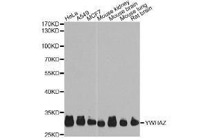
Calculated MW: 19 kDa/27 kDa
Observed MW: 29 kDa -
Gene ID
- 7534
-
Pathways
- Apoptosis, Hormone Transport, Myometrial Relaxation and Contraction, Regulation of Leukocyte Mediated Immunity, Positive Regulation of Immune Effector Process, Synaptic Membrane, Production of Molecular Mediator of Immune Response, Maintenance of Protein Location
Target
-