Phone:
+1 877 302 8632
Fax:
+1 888 205 9894 (Toll-free)
E-Mail:
orders@antibodies-online.com

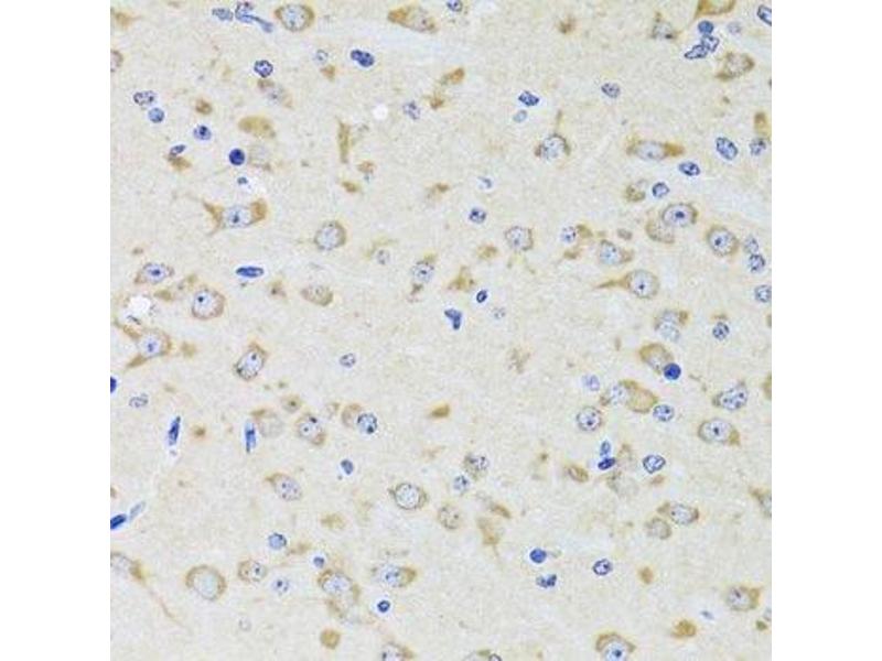
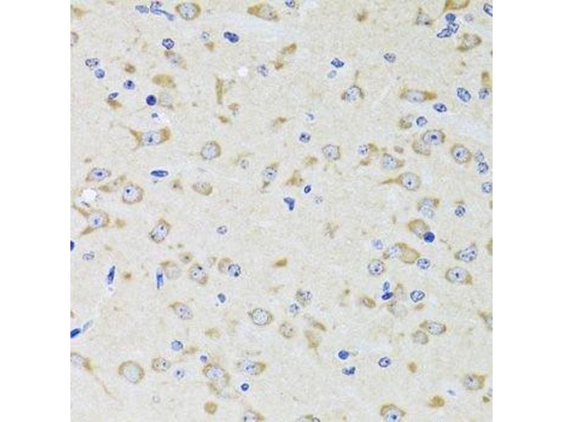
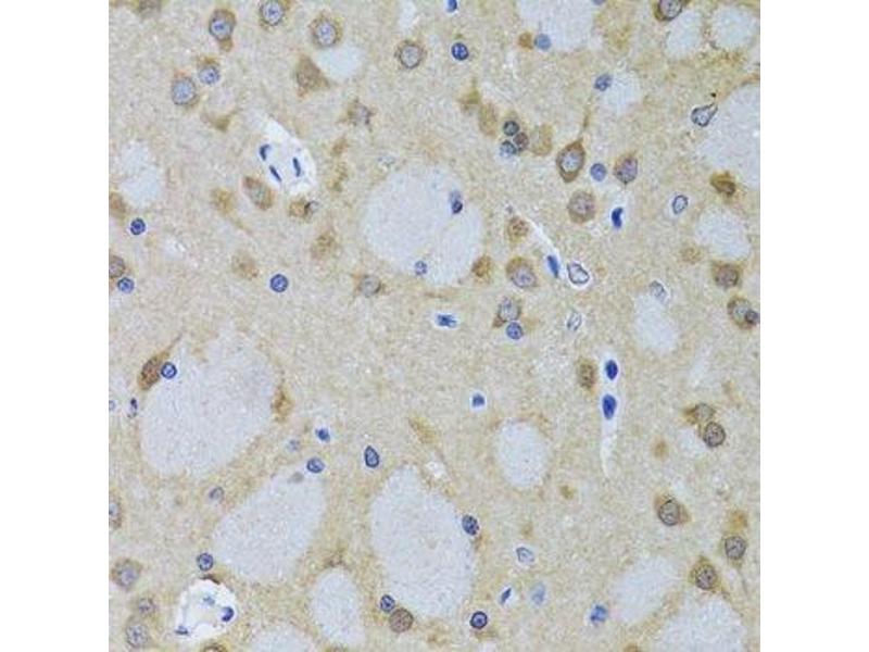
14-3-3 zeta antibody (AA 1-100)

The Rabbit Polyclonal anti-14-3-3 zeta antibody (ABIN6150351) specifically detects 14-3-3 zeta in WB, IHC and IF. The antibody is reactive with Human samples.
Catalog No. ABIN6150351
$383.00
Plus shipping costs $50.00
Shipping to: United States
Delivery in 7 to 10 Business Days

Quick Overview for 14-3-3 zeta antibody (AA 1-100) (ABIN6150351)

Target

See all 14-3-3 zeta (YWHAZ) Antibodies
14-3-3 zeta (YWHAZ)

Reactivity

  • 139
  • 82
  • 66
  • 11
  • 10
  • 8
  • 8
  • 8
  • 6
  • 5
  • 5
  • 4
  • 3
  • 2
  • 1
  • 1
  • 1
Human

Host

  • 125
  • 14
Rabbit

Clonality

  • 126
  • 13
Polyclonal

Conjugate

  • 77
  • 10
  • 8
  • 6
  • 6
  • 4
  • 2
  • 2
  • 2
  • 2
  • 2
  • 2
  • 2
  • 2
  • 2
  • 2
  • 2
  • 1
  • 1
  • 1
  • 1
  • 1
  • 1
This 14-3-3 zeta antibody is un-conjugated

Application

  • 125
  • 60
  • 57
  • 34
  • 32
  • 23
  • 13
  • 13
  • 11
  • 10
  • 3
  • 3
  • 1
Western Blotting (WB), Immunohistochemistry (IHC), Immunofluorescence (IF)
  • Binding Specificity

    • 30
    • 20
    • 9
    • 9
    • 7
    • 7
    • 7
    • 7
    • 5
    • 3
    • 3
    • 2
    • 2
    • 2
    • 2
    • 2
    • 1
    • 1
    • 1
    • 1
    • 1
    • 1
    • 1
    • 1
    • 1
    • 1
    • 1
    • 1
    • 1
    • 1
    • 1
    AA 1-100

    Sequence

    MDKNELVQKA KLAEQAERYD DMAACMKSVT EQGAELSNEE RNLLSVAYKN VVGARRSSWR VVSSIEQKTE GAEKKQQMAR EYREKIETEL RDICNDVLSL

    Cross-Reactivity

    Human, Mouse, Rat

    Characteristics

    Polyclonal Antibodies

    Immunogen

    A synthetic peptide corresponding to a sequence within amino acids 1-100 of human YWHAZ (NP_001129171.1).

    Isotype

    IgG
  • Application Notes

    WB,1:500 - 1:2000,IHC,1:50 - 1:200,IF,1:50 - 1:200

    Comment

    HIGH QUALITY

    Restrictions

    For Research Use only
  • Format

    Liquid

    Buffer

    PBS with 0.02 % sodium azide,50 % glycerol, pH 7.3.

    Preservative

    Sodium azide

    Precaution of Use

    This product contains Sodium azide: a POISONOUS AND HAZARDOUS SUBSTANCE which should be handled by trained staff only.

    Storage

    -20 °C

    Storage Comment

    Store at -20°C. Avoid freeze / thaw cycles.
  • Target

    14-3-3 zeta (YWHAZ)

    Alternative Name

    YWHAZ

    Background

    This gene product belongs to the 14-3-3 family of proteins which mediate signal transduction by binding to phosphoserine-containing proteins. This highly conserved protein family is found in both plants and mammals, and this protein is 99 % identical to the mouse, rat and sheep orthologs. The encoded protein interacts with IRS1 protein, suggesting a role in regulating insulin sensitivity. Several transcript variants that differ in the 5' UTR but that encode the same protein have been identified for this gene.,YWHAZ,14-3-3-zeta,HEL-S-3,HEL-S-93,HEL4,KCIP-1,YWHAD,Epigenetics & Nuclear Signaling,RNA Binding,Signal Transduction,PI3K-Akt Signaling Pathway,MAPK-Erk Signaling Pathway,MAPK-JNK Signaling Pathway,Cell Biology & Developmental Biology,Apoptosis,Mitochondrial Control of Apoptosis,Cell Cycle,G2/M DNA Damage Checkpoint,Cytoskeleton,Actins,Hippo Signaling Pathway,Immunology & Inflammation,Neuroscience,Cell Type Marker,Neurodegenerative Diseases,Amyloid Plaque and Neurofibrillary Tangle Formation in Alzheimer's Disease,Neurodegenerative Diseases Markers,YWHAZ

    Molecular Weight

    19 kDa/27 kDa

    Gene ID

    7534

    UniProt

    P63104

    Pathways

    Apoptosis, Hormone Transport, Myometrial Relaxation and Contraction, Regulation of Leukocyte Mediated Immunity, Positive Regulation of Immune Effector Process, Synaptic Membrane, Production of Molecular Mediator of Immune Response, Maintenance of Protein Location
You are here:
Chat with us!