Phone:
+1 877 302 8632
Fax:
+1 888 205 9894 (Toll-free)
E-Mail:
orders@antibodies-online.com

COG7 antibody (Internal Region)

The Goat Polyclonal anti-COG7 antibody (ABIN308445) specifically detects COG7 in WB, ELISA and IHC. The antibody is reactive with Human samples.
Catalog No. ABIN308445
$488.25
Plus shipping costs $50.00
100 μg
Shipping to: United States
Delivery in 1 to 3 Business Days

Quick Overview for COG7 antibody (Internal Region) (ABIN308445)

Target

See all COG7 Antibodies
COG7 (Component of Oligomeric Golgi Complex 7 (COG7))

Reactivity

  • 17
  • 10
  • 2
Human

Host

  • 15
  • 2
Goat

Clonality

  • 15
  • 2
Polyclonal

Conjugate

  • 12
  • 1
  • 1
  • 1
  • 1
  • 1
This COG7 antibody is un-conjugated

Application

  • 16
  • 11
  • 4
  • 2
  • 2
  • 1
Western Blotting (WB), ELISA, Immunohistochemistry (IHC)

Grade

Verified
  • Binding Specificity

    • 8
    • 2
    • 1
    • 1
    • 1
    • 1
    • 1
    • 1
    • 1
    • 1
    Internal Region

    Purpose

    COG7

    Sequence

    KTRPEDYRQV SK

    Cross-Reactivity

    Human

    Purification

    Purified from goat serum by ammonium sulphate precipitation followed by antigen affinity chromatography using the immunizing peptide.

    Immunogen

    Peptide with sequence C-KTRPEDYRQVSK, from the internal region of the protein sequence according to NP_705831.1.

    Isotype

    IgG
  • Application Notes

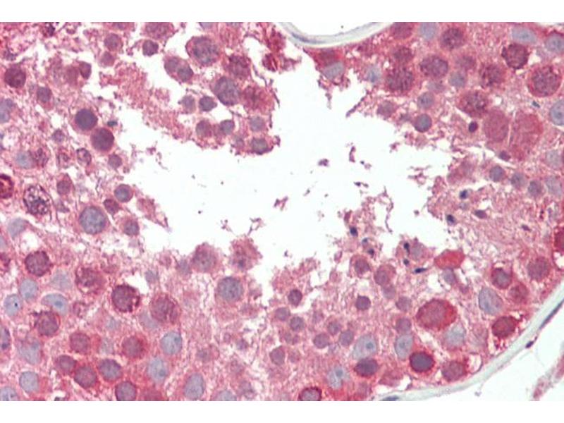
    Immunohistochemistry: Paraffin embedded Human Testis. Recommended concentration: 5 μg/mL.

    Western Blot: Approx. 85 kDa band observed in lysates cell lines HeLa, Jurkat and MOLT4 (calculated MW of 86.3 kDa according to NP_705831.1). Recommended concentration: 0.03-0.1 μg/mL. Primary incubation was 1 hour.

    Peptide ELISA: antibody detection limit dilution 1:32000.

    Restrictions

    For Research Use only
  • Format

    Liquid

    Concentration

    0.5 mg/mL

    Buffer

    Supplied at 0.5 mg/mL in Tris saline, 0.02 % sodium azide, pH 7.3 with 0.5 % bovine serum albumin.

    Preservative

    Sodium azide

    Precaution of Use

    This product contains Sodium azide: a POISONOUS AND HAZARDOUS SUBSTANCE which should be handled by trained staff only.

    Handling Advice

    Minimize freezing and thawing.

    Storage

    -20 °C

    Storage Comment

    Aliquot and store at -20°C, with minimal freeze/thawing. A working aliquot may be refrigerated at 4°C for a few weeks and still remain viable.
  • Target

    COG7 (Component of Oligomeric Golgi Complex 7 (COG7))

    Alternative Name

    COG7

    Background

    COG7, component of oligomeric golgi complex 7, CDG2E

    Gene ID

    91949

    NCBI Accession

    NP_705831
You are here:
Chat with us!