ST3GAL5 antibody (AA 151-200)
Quick Overview for ST3GAL5 antibody (AA 151-200) (ABIN321105)
Target
See all ST3GAL5 AntibodiesReactivity
Host
Clonality
Conjugate
Application
-
-
Binding Specificity
- AA 151-200
-
Specificity
- Human ST3GAL5
-
Predicted Reactivity
- Percent identity by BLAST analysis: Human, Rat, Rabbit, Horse, Pig (100%) Dog (92%).
-
Purification
- Protein A purified
-
Immunogen
-
Synthetic peptide located between aa151-200 of human ST3GAL5 (Q6NZX4, NP_003887). Percent identity by BLAST analysis: Human, Chimpanzee, Gorilla, Monkey, Marmoset, Mouse, Rat, Hamster, Elephant, Rabbit, Horse, Pig (100%), Gibbon, Dog, Bovine (92%), Galago, Bat, Opossum, Platypus (85%).
Type of Immunogen: Synthetic peptide -
Isotype
- IgG
-
-
-
-
Application Notes
-
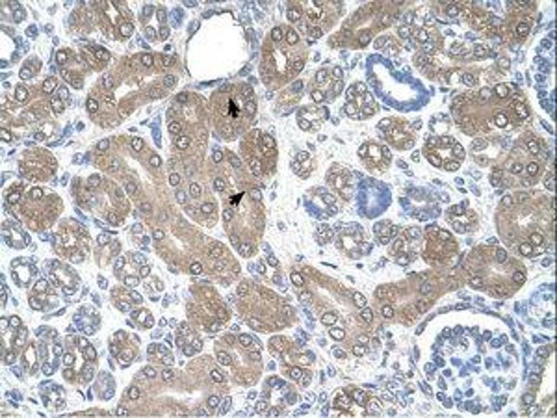
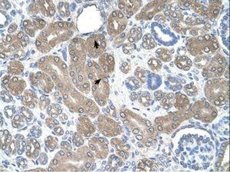
Approved: IHC, IHC-P, WB
Usage: ELISA titer using peptide based assay: 1:1562500. Western Blot: Suggested dilution at 1.25 μg/mL in 5 % skim milk / PBS buffer, and HRP conjugated anti-Rabbit IgG should be diluted in 1:50000 - 100000 as second antibody. -
Comment
-
Target Species of Antibody: Human
-
Restrictions
- For Research Use only
-
-
-
Format
- Lyophilized
-
Reconstitution
- Distilled Water.
-
Concentration
- Lot specific
-
Buffer
- Lyophilized from PBS with 2 % sucrose
-
Handling Advice
- Avoid repeat freeze-thaw cycles.
-
Storage
- 4 °C,-20 °C
-
Storage Comment
-
Long term: -20°C, the use of 50% glycerol is recommended if storing aliquots in -20°C for long term use (up to 1 year)
Short term (less than 1 week): 4°C. Avoid freeze-thaw cycles.
-
-
- ST3GAL5 (ST3 beta-Galactoside alpha-2,3-Sialyltransferase 5 (ST3GAL5))
-
Alternative Name
- ST3GAL5 / GM3 Synthase
-
Background
-
Name/Gene ID: ST3GAL5
Synonyms: ST3GAL5, Alpha 2,3-sialyltransferase V, Ganglioside GM3 synthase, GM3 synthase, SATI, Sialyltransferase 9, SIATGM3S, ST3Gal V, SIAT9, ST3GalV -
Gene ID
- 8869
-
NCBI Accession
- NP_003887
-
UniProt
- Q9UNP4
Target
-