Phone:
+1 877 302 8632
Fax:
+1 888 205 9894 (Toll-free)
E-Mail:
orders@antibodies-online.com

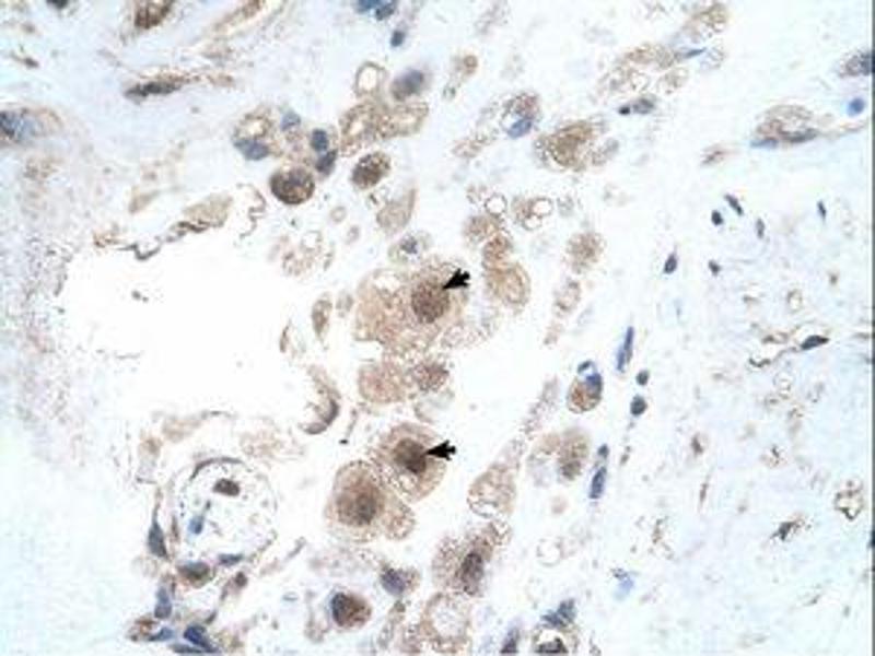
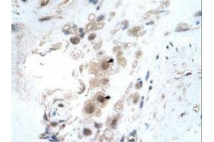
KIAA0494 antibody (AA 101-150)

The Rabbit Polyclonal anti-KIAA0494 antibody (ABIN321207) specifically detects KIAA0494 in WB, IHC and IHC (p). The antibody is reactive with Human, Mouse, Rat, Dog, Cow, Horse, Rabbit, Hamster and Monkey samples.
Catalog No. ABIN321207
$649.00
Plus shipping costs $50.00
100 μL
Shipping to: United States
Delivery in 11 to 15 Business Days

Quick Overview for KIAA0494 antibody (AA 101-150) (ABIN321207)

Target

See all KIAA0494 (EFCAB14) Antibodies
KIAA0494 (EFCAB14) (EF-hand calcium binding domain 14 (EFCAB14))

Reactivity

  • 17
  • 6
  • 5
  • 4
  • 3
  • 2
  • 2
  • 2
  • 1
  • 1
  • 1
Human, Mouse, Rat, Dog, Cow, Horse, Rabbit, Hamster, Monkey

Host

  • 16
  • 1
Rabbit

Clonality

  • 17
Polyclonal

Conjugate

  • 13
  • 2
  • 1
  • 1
This KIAA0494 antibody is un-conjugated

Application

  • 13
  • 7
  • 6
  • 2
  • 2
  • 2
  • 1
  • 1
Western Blotting (WB), Immunohistochemistry (IHC), Immunohistochemistry (Paraffin-embedded Sections) (IHC (p))
  • Binding Specificity

    • 5
    • 2
    • 2
    • 2
    • 1
    • 1
    • 1
    • 1
    AA 101-150

    Specificity

    Human KIAA0494

    Predicted Reactivity

    Percent identity by BLAST analysis: Human, Dog, Bovine, Rabbit, Horse (100%) Guinea pig, Chicken (92%).

    Purification

    Protein A purified

    Immunogen

    Synthetic peptide located between aa101-150 of human EFCAB14 (O75071, NP_055589). Percent identity by BLAST analysis: Human, Chimpanzee, Gorilla, Orangutan, Gibbon, Monkey, Galago, Marmoset, Mouse, Rat, Hamster, Elephant, Panda, Dog, Bovine, Rabbit, Horse, Opossum (100%), Guinea pig, Turkey, Zebra finch, Chicken (92%).

    Type of Immunogen: Synthetic peptide

    Isotype

    IgG
  • Application Notes

    Approved: IHC, IHC-P, WB

    Usage: ELISA titer using peptide based assay: 1:62500. Western Blot: Suggested dilution at 5.0 μg/mL in 5 % skim milk / PBS buffer, and HRP conjugated anti-Rabbit IgG should be diluted in 1:50000 - 100000 as second antibody.

    Comment

    Target Species of Antibody: Human

    Restrictions

    For Research Use only
  • Format

    Lyophilized

    Reconstitution

    Distilled Water.

    Concentration

    Lot specific

    Buffer

    Lyophilized from PBS with 2 % sucrose

    Handling Advice

    Avoid repeat freeze-thaw cycles.

    Storage

    4 °C,-20 °C

    Storage Comment

    Long term: -20°C, the use of 50% glycerol is recommended if storing aliquots in -20°C for long term use (up to 1 year)
    Short term (less than 1 week): 4°C. Avoid freeze-thaw cycles.
  • Target

    KIAA0494 (EFCAB14) (EF-hand calcium binding domain 14 (EFCAB14))

    Alternative Name

    EFCAB14

    Background

    Name/Gene ID: EFCAB14

    Synonyms: EFCAB14, Efcab14, KIAA0494, RP11-8J9.3

    Gene ID

    9813

    NCBI Accession

    NP_055589

    UniProt

    O75071
You are here:
Chat with us!