Phone:
+1 877 302 8632
Fax:
+1 888 205 9894 (Toll-free)
E-Mail:
orders@antibodies-online.com

Aspartate beta Hydroxylase antibody (AA 66-115)

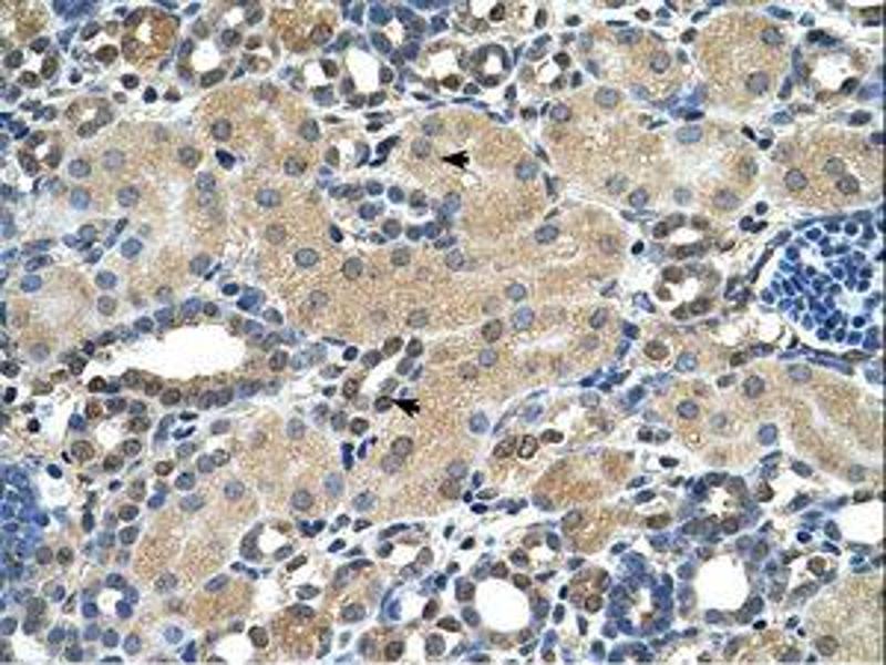
The Rabbit Polyclonal anti-Aspartate beta Hydroxylase antibody (ABIN321861) specifically detects Aspartate beta Hydroxylase in WB, IHC and IHC (p). The antibody is reactive with Human, Mouse and Rat samples.
Catalog No. ABIN321861
$649.00
Plus shipping costs $50.00
100 μL
Shipping to: United States
Delivery in 11 to 15 Business Days

Quick Overview for Aspartate beta Hydroxylase antibody (AA 66-115) (ABIN321861)

Target

See all Aspartate beta Hydroxylase (ASPH) Antibodies
Aspartate beta Hydroxylase (ASPH) (Aspartate beta-Hydroxylase (ASPH))

Reactivity

  • 62
  • 10
  • 8
  • 5
  • 4
  • 4
  • 3
  • 3
  • 2
  • 1
  • 1
  • 1
Human, Mouse, Rat

Host

  • 52
  • 10
Rabbit

Clonality

  • 55
  • 7
Polyclonal

Conjugate

  • 36
  • 5
  • 4
  • 4
  • 1
  • 1
  • 1
  • 1
  • 1
  • 1
  • 1
  • 1
  • 1
  • 1
  • 1
  • 1
  • 1
This Aspartate beta Hydroxylase antibody is un-conjugated

Application

  • 44
  • 25
  • 20
  • 13
  • 13
  • 9
  • 9
  • 8
  • 3
  • 1
  • 1
  • 1
  • 1
Western Blotting (WB), Immunohistochemistry (IHC), Immunohistochemistry (Paraffin-embedded Sections) (IHC (p))
  • Binding Specificity

    • 15
    • 7
    • 6
    • 5
    • 4
    • 4
    • 3
    • 2
    • 2
    • 1
    • 1
    • 1
    • 1
    • 1
    • 1
    • 1
    • 1
    • 1
    • 1
    • 1
    AA 66-115

    Specificity

    Human ASPH

    Predicted Reactivity

    Percent identity by BLAST analysis: Human (100%) Dog (92%) Mouse, Rat (85%).

    Purification

    Protein A purified

    Immunogen

    Synthetic peptide located between aa66-115 of human ASPH (Q9NRI0, NP_064549). Percent identity by BLAST analysis: Human, Monkey (100%), Marmoset, Dog (92%), Mouse, Rat (85%).

    Type of Immunogen: Synthetic peptide

    Isotype

    IgG
  • Application Notes

    Approved: IHC, IHC-P, WB

    Usage: ELISA titer using peptide based assay: 1:312500. Western Blot: Suggested dilution at 2.5 μg/mL in 5 % skim milk / PBS buffer, and HRP conjugated anti-Rabbit IgG should be diluted in 1:50000 - 100000 as second antibody.

    Comment

    Target Species of Antibody: Human

    Restrictions

    For Research Use only
  • Format

    Lyophilized

    Reconstitution

    Distilled Water.

    Concentration

    Lot specific

    Buffer

    Lyophilized from PBS with 2 % sucrose

    Handling Advice

    Avoid repeat freeze-thaw cycles.

    Storage

    4 °C,-20 °C

    Storage Comment

    Long term: -20°C, the use of 50% glycerol is recommended if storing aliquots in -20°C for long term use (up to 1 year)
    Short term (less than 1 week): 4°C. Avoid freeze-thaw cycles.
  • Target

    Aspartate beta Hydroxylase (ASPH) (Aspartate beta-Hydroxylase (ASPH))

    Alternative Name

    Junctin / ASPH

    Background

    Name/Gene ID: ASPH

    Synonyms: ASPH, A beta H-J-J, AAH, ASP beta-hydroxylase, BAH, Aspartate beta-hydroxylase, CASQ2BP1, Cardiac junctin, HAAH, Humbug, JCTN, Junctate, Junctin

    Gene ID

    444

    NCBI Accession

    NP_064549

    UniProt

    Q12797

    Pathways

    Positive Regulation of Endopeptidase Activity
You are here:
Chat with us!