Phone:
+1 877 302 8632
Fax:
+1 888 205 9894 (Toll-free)
E-Mail:
orders@antibodies-online.com

DAGLA antibody (C-Term)

The Goat Polyclonal anti-DAGLA antibody (ABIN335130) specifically detects DAGLA in WB, ELISA and IHC. The antibody is reactive with Human samples.
Catalog No. ABIN335130
$488.25
Plus shipping costs $50.00
100 μg
Shipping to: United States
Delivery in 1 to 3 Business Days

Quick Overview for DAGLA antibody (C-Term) (ABIN335130)

Target

See all DAGLA Antibodies
DAGLA (Diacylglycerol Lipase, alpha (DAGLA))

Reactivity

  • 20
  • 12
  • 4
Human

Host

  • 20
Goat

Clonality

  • 20
Polyclonal

Conjugate

  • 8
  • 2
  • 1
  • 1
  • 1
  • 1
  • 1
  • 1
  • 1
  • 1
  • 1
  • 1
This DAGLA antibody is un-conjugated

Application

  • 13
  • 10
  • 8
  • 2
  • 1
  • 1
  • 1
Western Blotting (WB), ELISA, Immunohistochemistry (IHC)

Grade

Verified
  • Binding Specificity

    • 7
    • 2
    • 2
    • 2
    • 1
    • 1
    • 1
    C-Term

    Purpose

    DAGLA

    Sequence

    PAKQDELVIS AR

    Cross-Reactivity

    Human, Mouse, Rat

    Purification

    Purified from goat serum by ammonium sulphate precipitation followed by antigen affinity chromatography using the immunizing peptide.

    Immunogen

    Peptide with sequence C-PAKQDELVISAR, from the C Terminus of the protein sequence according to NP_006124.1.

    Isotype

    IgG
  • Application Notes

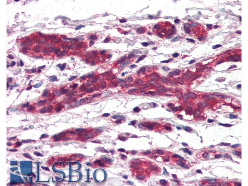
    Immunohistochemistry: Paraffin embedded Human Breast, Pancreas and Spleen. Recommended concentration: 5 μg/mL.

    Western Blot: Approx 125 kDa band observed in Human Liver lysates (calculated MW of 115 kDa according to NP_006124.1). Recommended concentration: 0.3-1 μg/mL. Some minor background is detected and is blocked by the immunizing peptide. Primary incubation wa

    Peptide ELISA: antibody detection limit dilution 1:128000.

    Restrictions

    For Research Use only
  • Format

    Liquid

    Concentration

    0.5 mg/mL

    Buffer

    Supplied at 0.5 mg/mL in Tris saline, 0.02 % sodium azide, pH 7.3 with 0.5 % bovine serum albumin.

    Preservative

    Sodium azide

    Precaution of Use

    This product contains Sodium azide: a POISONOUS AND HAZARDOUS SUBSTANCE which should be handled by trained staff only.

    Handling Advice

    Minimize freezing and thawing.

    Storage

    -20 °C

    Storage Comment

    Aliquot and store at -20°C, with minimal freeze/thawing. A working aliquot may be refrigerated at 4°C for a few weeks and still remain viable.
  • Target

    DAGLA (Diacylglycerol Lipase, alpha (DAGLA))

    Alternative Name

    DAGLA

    Background

    DAGLA, diacylglycerol lipase, alpha, C11orf11, DAGL(ALPHA), DAGLALPHA, NSDDR, diacylglycerol lipase alpha, neural stem cell-derived dendrite regulator, KIAA0659

    Gene ID

    747, 269060, 309207

    NCBI Accession

    NP_006124
You are here:
Chat with us!