Phone:
+1 877 302 8632
Fax:
+1 888 205 9894 (Toll-free)
E-Mail:
orders@antibodies-online.com

CKS1 antibody (C-Term)

The Mouse Monoclonal anti-CKS1 antibody is suitable to detect CKS1 in samples from Human. It has been validated for WB, IHC and IHC (p).
Catalog No. ABIN337043
$599.50
Plus shipping costs $50.00
50 μg
Shipping to: United States
Delivery in 11 to 15 Business Days

Quick Overview for CKS1 antibody (C-Term) (ABIN337043)

Target

See all CKS1 (CKS1B) Antibodies
CKS1 (CKS1B) (CDC28 Protein Kinase Regulatory Subunit 1B (CKS1B))

Reactivity

  • 43
  • 15
  • 4
  • 2
  • 2
  • 2
  • 2
  • 2
  • 1
  • 1
  • 1
  • 1
  • 1
  • 1
  • 1
  • 1
Human

Host

  • 41
  • 2
Mouse

Clonality

  • 42
  • 1
Monoclonal

Conjugate

  • 17
  • 3
  • 2
  • 2
  • 1
  • 1
  • 1
  • 1
  • 1
  • 1
  • 1
  • 1
  • 1
  • 1
  • 1
  • 1
  • 1
  • 1
  • 1
  • 1
  • 1
  • 1
  • 1
This CKS1 antibody is un-conjugated

Application

  • 36
  • 19
  • 13
  • 13
  • 8
  • 4
  • 3
  • 3
  • 2
  • 1
Western Blotting (WB), Immunohistochemistry (IHC), Immunohistochemistry (Paraffin-embedded Sections) (IHC (p))

Clone

4G12G7
  • Binding Specificity

    • 15
    • 7
    • 4
    • 2
    • 2
    • 1
    • 1
    • 1
    • 1
    • 1
    • 1
    • 1
    C-Term

    Specificity

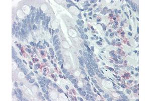
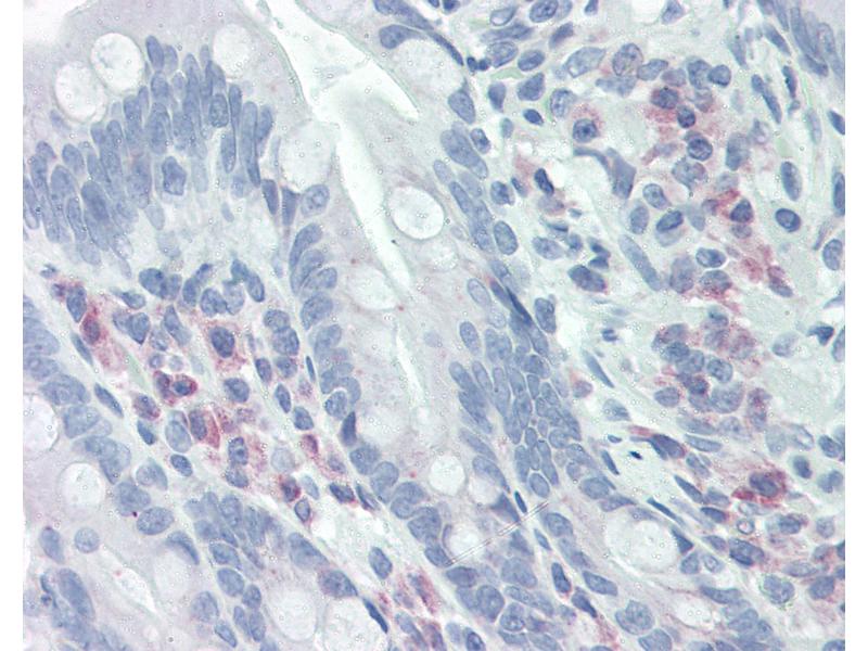
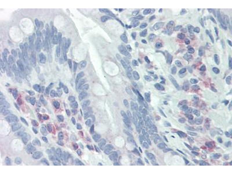
    Recognizes the 11kD human Cks1 protein. No reactivity was observed with a Cks2 recombinant protein. Cross reactivity with an unknown protein at ~35kD has been observed in Western blots of HeLa cell lysates. Reactivity has been confirmed with a Cks1 recombinant protein as well as HeLa cell lysates. IHC reactivity was confirmed with formalin-fixed, paraffin-embedded (FFPE) human tonsil sections.

    Purification

    Protein A purified

    Immunogen

    Synthetic peptide derived from the C-terminal region of the human Cks1 protein.

    Type of Immunogen: Synthetic peptide

    Isotype

    IgG1 kappa
  • Application Notes

    Approved: IHC, IHC-P (5 μg/mL), WB (1 - 3 μg/mL)

    Usage: Immunohistochemistry: This antibody was validated for use in immunohistochemistry on a panel of 21 formalin-fixed, paraffin-embedded (FFPE) human tissues after heat induced antigen retrieval in  pH 6.0 citrate buffer. After incubation with the primary antibody, slides were incubated with biotinylated secondary antibody, followed by alkaline phosphatase-streptavidin and chromogen. The stained slides were evaluated by a pathologist to confirm staining specificity. The optimal working concentration for this antibody was determined to be 5 μg/mL.

    Comment

    Target Species of Antibody: Human

    Restrictions

    For Research Use only
  • Format

    Liquid

    Concentration

    Lot specific

    Buffer

    PBS,  pH 7.4, 0.09 % sodium azide.

    Preservative

    Sodium azide

    Precaution of Use

    This product contains Sodium azide: a POISONOUS AND HAZARDOUS SUBSTANCE which should be handled by trained staff only.

    Storage

    4 °C,-20 °C

    Storage Comment

    4°C or -20°C, Avoid freeze-thaw cycles.
  • Target

    CKS1 (CKS1B) (CDC28 Protein Kinase Regulatory Subunit 1B (CKS1B))

    Alternative Name

    CKS1B / CKS1

    Background

    Name/Gene ID: CKS1B
    Subfamily: CKS

    Synonyms: CKS1B, CDC28 protein kinase 1, CKS-1, CDC28 protein kinase 1B, Ckshs1, PNAS-18, PNAS-143, PNAS-16, CDC2-associated protein CKS1, CKS1

    Gene ID

    1163

    UniProt

    P61024

    Pathways

    Mitotic G1-G1/S Phases, Inositol Metabolic Process
You are here:
Chat with us!