VPS25 antibody (N-Term)
Quick Overview for VPS25 antibody (N-Term) (ABIN337136)
Target
See all VPS25 AntibodiesReactivity
Host
Clonality
Conjugate
Application
-
-
Binding Specificity
- N-Term
-
Specificity
- Synthetic peptide corresponding to N-terminal residues of human VPS25(Vacuolar protein sorting protein 25).
-
Purification
- Immunoaffinity purified
-
Immunogen
-
Synthetic peptide from human VPS25.
Type of Immunogen: Synthetic peptide
-
-
-
-
Application Notes
-
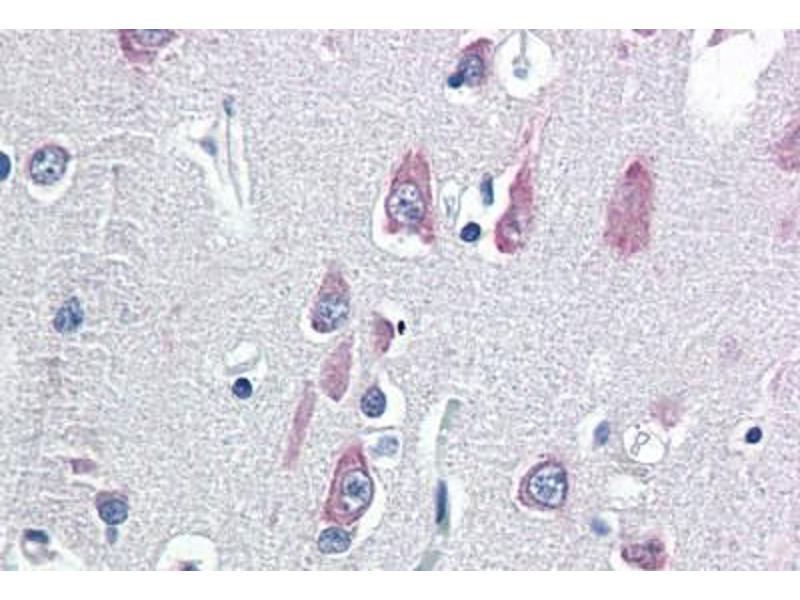
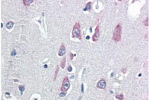
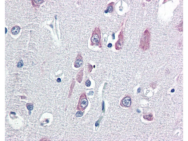
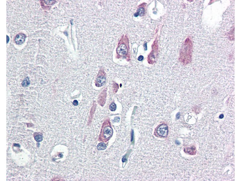
Approved: ELISA, IHC, IHC-P (5 μg/mL), WB (1 μg/mL)
Usage: Immunohistochemistry: This antibody was validated for use in immunohistochemistry on a panel of 21 formalin-fixed, paraffin-embedded (FFPE) human tissues after heat induced antigen retrieval in pH 6.0 citrate buffer. After incubation with the primary antibody, slides were incubated with biotinylated secondary antibody, followed by alkaline phosphatase-streptavidin and chromogen. The stained slides were evaluated by a pathologist to confirm staining specificity. The optimal working concentration for this antibody was determined to be 5 μg/mL. -
Comment
-
Target Species of Antibody: Human
-
Restrictions
- For Research Use only
-
-
-
Format
- Liquid
-
Concentration
- Lot specific
-
Buffer
- PBS, 0.01 % sodium azide, 50 % glycerol.
-
Preservative
- Sodium azide
-
Precaution of Use
- This product contains Sodium azide: a POISONOUS AND HAZARDOUS SUBSTANCE which should be handled by trained staff only.
-
Handling Advice
- Avoid repeated freezing and thawing.
-
Storage
- 4 °C,-20 °C
-
Storage Comment
- 4°C or -20°C, Avoid freeze-thaw cycles.
-
-
- VPS25 (Vacuolar Protein-Sorting-Associated Protein 25 (VPS25))
-
Alternative Name
- VPS25
-
Background
-
Name/Gene ID: VPS25
Synonyms: VPS25, DERP9, EAP20, ESCRT-II complex subunit VPS25, FAP20, HVps25 -
Gene ID
- 84313
-
UniProt
- Q9BRG1
Target
-