GOT2 antibody (AA 295-306)
Quick Overview for GOT2 antibody (AA 295-306) (ABIN337180)
Target
See all GOT2 AntibodiesReactivity
Host
Clonality
Conjugate
Application
-
-
Binding Specificity
- AA 295-306
-
Specificity
- Human GOT2.
-
Predicted Reactivity
- Percent identity by BLAST analysis: Human, Gorilla, Orangutan, Monkey, Marmoset, Hamster, Panda, Horse, Opossum (100%) Mouse, Rat, Bovine, Pig, Catfish, Salmon, Zebrafish (92%) Elephant, Turkey, Chicken, Platypus, Xenopus, Pufferfish, Poplar, Castor bean (83%).
-
Purification
- Immunoaffinity purified
-
Immunogen
-
Synthetic peptide CKDADEAKRVES from an internal region of human GOT2 (NP_002071.2). Percent identity by BLAST analysis: Human, Gorilla, Orangutan, Monkey, Marmoset, Hamster, Panda, Horse, Opossum (100%), Mouse, Rat, Bovine, Pig, Catfish, Salmon, Zebrafish (92%), Elephant, Turkey, Chicken, Platypus, Xenopus, Pufferfish, Poplar, Castor bean (83%).
Type of Immunogen: Synthetic peptide
-
-
-
-
Application Notes
-
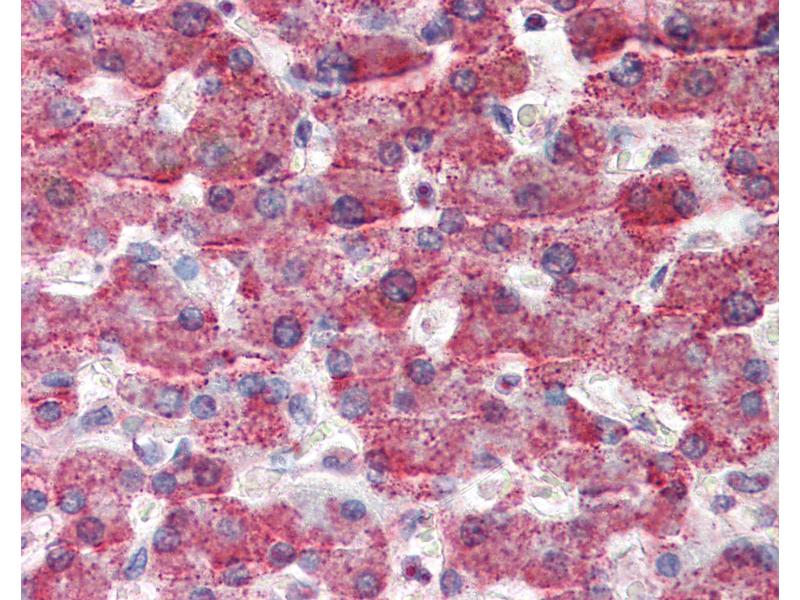
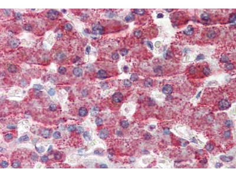
Approved: IHC, IHC-P (5 μg/mL), Peptide-ELISA (1:32000), WB (0.03 - 0.1 μg/mL)
Usage: Immunohistochemistry: This antibody was validated for use in immunohistochemistry on a panel of 21 formalin-fixed, paraffin-embedded (FFPE) human tissues after heat induced antigen retrieval in pH 6.0 citrate buffer. After incubation with the primary antibody, slides were incubated with biotinylated secondary antibody, followed by alkaline phosphatase-streptavidin and chromogen. The stained slides were evaluated by a pathologist to confirm staining specificity. The optimal working concentration for this antibody was determined to be 5 μg/mL. -
Comment
-
Target Species of Antibody: Human
-
Restrictions
- For Research Use only
-
-
-
Format
- Liquid
-
Concentration
- Lot specific
-
Buffer
- Tris-buffered saline, pH 7.3, 0.5 % BSA, 0.02 % sodium azide
-
Preservative
- Sodium azide
-
Precaution of Use
- This product contains Sodium azide: a POISONOUS AND HAZARDOUS SUBSTANCE which should be handled by trained staff only.
-
Handling Advice
- Minimize freezing and thawing.
-
Storage
- -20 °C
-
Storage Comment
- Store at -20°C. Avoid freeze-thaw cycles.
-
-
- GOT2 (Glutamic-Oxaloacetic Transaminase 2, Mitochondrial (Aspartate Aminotransferase 2) (GOT2))
-
Alternative Name
- GOT2
-
Background
-
Name/Gene ID: GOT2
Synonyms: GOT2, FABP-1, MitAAT, Transaminase A, FABPpm, Fatty acid-binding protein, KAT4, KATIV, Kynurenine aminotransferase IV, MAspAT -
Gene ID
- 2806
-
NCBI Accession
- NP_002071
-
UniProt
- P00505
-
Pathways
- Monocarboxylic Acid Catabolic Process
Target
-