KLKB1 antibody
Quick Overview for KLKB1 antibody (ABIN351494)
Target
See all KLKB1 AntibodiesReactivity
Host
Clonality
Conjugate
Application
-
-
Specificity
- Specific for PK as demonstrated by immunoelectrophoresis and ELISA.
-
Purification
- Ammonium sulfate precipitation
-
Immunogen
-
Human Prekallikrein (PK) purified from plasma.
Type of Immunogen: Purified protein -
Isotype
- IgG
-
-
-
-
Application Notes
-
Approved: ELISA, IE, IHC, IHC-P (5 μg/mL)
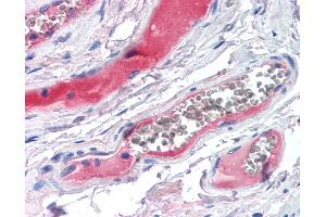
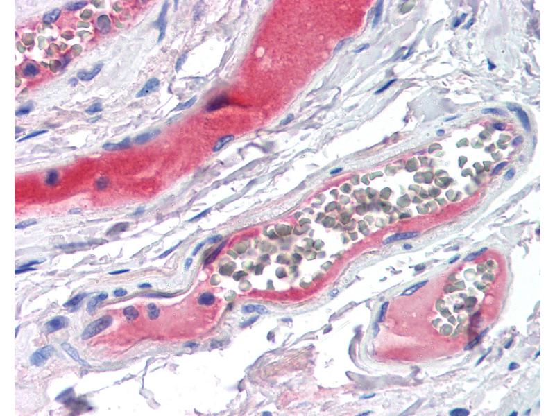
Usage: Immunohistochemistry: This antibody was validated for use in immunohistochemistry on a panel of 21 formalin-fixed, paraffin-embedded (FFPE) human tissues after heat induced antigen retrieval in pH 6.0 citrate buffer. After incubation with the primary antibody, slides were incubated with biotinylated secondary antibody, followed by alkaline phosphatase-streptavidin and chromogen. The stained slides were evaluated by a pathologist to confirm staining specificity. The optimal working concentration for this antibody was determined to be 5 μg/mL. -
Comment
-
Target Species of Antibody: Human
-
Restrictions
- For Research Use only
-
-
-
Format
- Liquid
-
Concentration
- Lot specific
-
Buffer
- 10 mM HEPES, pH 7.4, 0.15 M sodium chloride, 50 % glycerol.
-
Handling Advice
- Avoid repeated freezing and thawing.
-
Storage
- 4 °C,-20 °C
-
Storage Comment
- Short term: 4°C. Long term: Store at -20°C. Avoid freeze-thaw cycles.
-
-
- KLKB1 (Kallikrein B, Plasma (Fletcher Factor) 1 (KLKB1))
-
Alternative Name
- KLKB1 / Plasma Kallikrein
-
Background
-
Name/Gene ID: KLKB1
Subfamily: Serine S1
Family: Protease
Synonyms: KLKB1, Fletcher factor deficiency, Fletcher factor, Kininogenin, Plasma kallikrein, PKK deficiency, Plasma kallikrein heavy chain, PPK, Prekallikrein deficiency, Plasma kallikrein light chain, Plasma prekallikrein, Kallikrein 3 -
Gene ID
- 3818
-
UniProt
- P03952
-
Pathways
- Complement System, Brown Fat Cell Differentiation
Target
-