Phone:
+1 877 302 8632
Fax:
+1 888 205 9894 (Toll-free)
E-Mail:
orders@antibodies-online.com

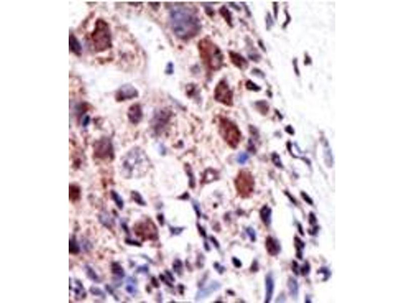
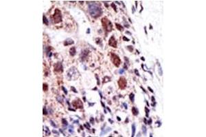
UBE2S antibody (N-Term)

The Rabbit Polyclonal anti-UBE2S antibody is suitable to detect UBE2S in samples from Human. It has been validated for WB, IHC (p) and EIA.
Catalog No. ABIN357497
$768.00
Plus shipping costs $50.00
0.4 mL
Shipping to: United States
Delivery in 1 to 2 Business Days

Quick Overview for UBE2S antibody (N-Term) (ABIN357497)

Target

See all UBE2S Antibodies
UBE2S (Ubiquitin-Conjugating Enzyme E2S (UBE2S))

Reactivity

  • 65
  • 25
  • 15
  • 4
  • 4
  • 3
  • 3
  • 3
  • 3
  • 2
  • 1
  • 1
Human

Host

  • 70
  • 11
  • 1
Rabbit

Clonality

  • 73
  • 9
Polyclonal

Conjugate

  • 46
  • 5
  • 4
  • 4
  • 3
  • 3
  • 1
  • 1
  • 1
  • 1
  • 1
  • 1
  • 1
  • 1
  • 1
  • 1
  • 1
  • 1
  • 1
  • 1
  • 1
  • 1
  • 1
This UBE2S antibody is un-conjugated

Application

  • 68
  • 36
  • 25
  • 13
  • 13
  • 11
  • 9
  • 8
  • 7
  • 5
  • 3
  • 1
  • 1
Western Blotting (WB), Immunohistochemistry (Paraffin-embedded Sections) (IHC (p)), Enzyme Immunoassay (EIA)
  • Binding Specificity

    • 8
    • 8
    • 7
    • 7
    • 6
    • 3
    • 2
    • 2
    • 2
    • 2
    • 2
    • 1
    N-Term

    Specificity

    This antibody is specific to UBE2S/E2EPF (N-term). Predicted to cross react with Mouse (100 % Antigen Homology).

    Purification

    Protein G Chromatography, eluted with high and low pH buffers and neutralized immediately, followed by dialysis against PBS.

    Immunogen

    This antibody is generated from rabbits immunized with a KLH conjugated synthetic peptide selected from the N-terminal region of human E2EPF.

    Isotype

    Ig Fraction
  • Application Notes

    ELISA: 1/1,000. Western Blot: 1/100-1/500. Immunohistochemistry: 1/50-1/100.
    Other applications not tested.
    Optimal dilutions are dependent on conditions and should be determined by the user.

    Restrictions

    For Research Use only
  • Format

    Liquid

    Concentration

    0.25 mg/mL

    Buffer

    PBS with 0.09 % (W/V) Sodium Azide as preservative.

    Preservative

    Sodium azide

    Precaution of Use

    This product contains sodium azide: a POISONOUS AND HAZARDOUS SUBSTANCE which should be handled by trained staff only.

    Handling Advice

    Avoid repeated freezing and thawing.

    Storage

    4 °C/-20 °C

    Storage Comment

    Store the antibody undiluted at 2-8 °C for one month or (in aliquots) at-20 °C for longer.
  • Target

    UBE2S (Ubiquitin-Conjugating Enzyme E2S (UBE2S))

    Alternative Name

    UBE2S

    Background

    This gene encodes a member of the ubiquitin-conjugating enzyme family. The encoded protein is able to form a thiol ester linkage with ubiquitin in a ubiquitin activating enzyme-dependent manner, a characteristic property of ubiquitin carrier proteins.Synonyms: E2-EPF5, E2EPF, OK/SW-cl.73, Ubiquitin carrier protein S, Ubiquitin-conjugating enzyme E2 S, Ubiquitin-conjugating enzyme E2-24 kDa, Ubiquitin-protein ligase S

    Molecular Weight

    23845 Da

    Gene ID

    27338, 9606

    UniProt

    Q16763

    Pathways

    Ubiquitin Proteasome Pathway
You are here:
Chat with us!