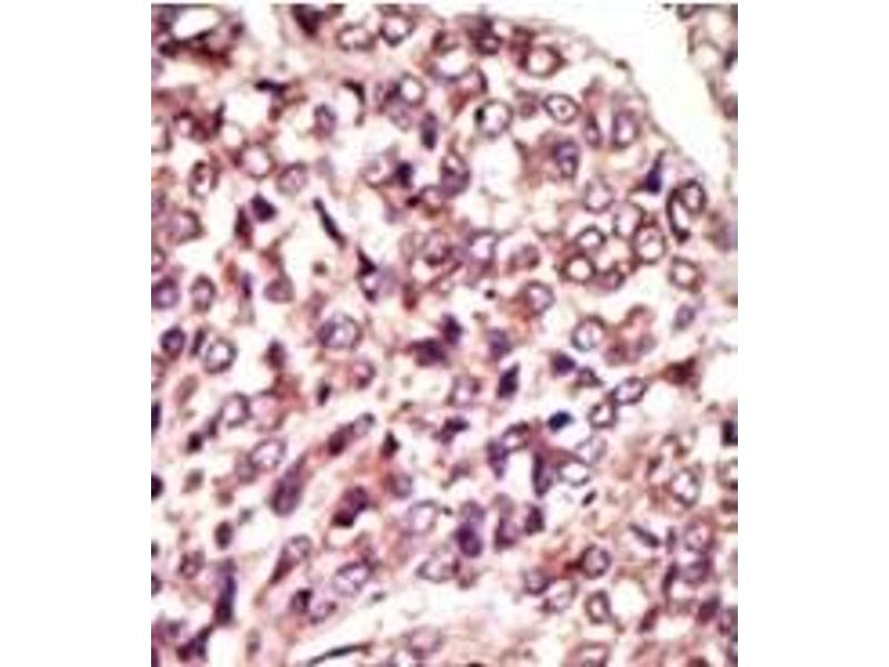
MGAT1
Reactivity: Human
ELISA, IHC, IF
Host: Rabbit
Polyclonal
unconjugated
Application Notes
ELISA: 1/1,000. Western Blot: 1/100-1/500. Immunohistochemistry: 1/50-1/100. Other applications not tested. Optimal dilutions are dependent on conditions and should be determined by the user.
Restrictions
For Research Use only
Format
Liquid
Concentration
0.25 mg/mL
Buffer
PBS with 0.09 % (W/V) Sodium Azide as preservative.
Preservative
Sodium azide
Precaution of Use
This product contains sodium azide: a POISONOUS AND HAZARDOUS SUBSTANCE which should be handled by trained staff only.
Handling Advice
Avoid repeated freezing and thawing.
Storage
4 °C/-20 °C
Storage Comment
Store the antibody undiluted at 2-8 °C for one month or (in aliquots) at-20 °C for longer.
There are believed to be over 100 different glycosyltransferases involved in the synthesis of protein-bound and lipid-bound oligosaccharides. MGAT1 (UDP-N-acetylglucosamine:alpha-3-D-mannoside beta-1,2-N-acetylglucosaminyltransferase I) is a medial-Golgi enzyme essential for the synthesis of hybrid and complex N-glycans. The protein, encoded by a single exon, shows typical features of a type II transmembrane protein. The protein is believed to be essential for normal embryogenesis.Synonyms: 3-mannosyl-glycoprotein 2-beta-N-acetylglucosaminyltransferase, Alpha-1, GGNT1, GLCT1, GLYT1, MGAT