Phone:
+1 877 302 8632
Fax:
+1 888 205 9894 (Toll-free)
E-Mail:
orders@antibodies-online.com

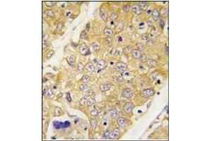
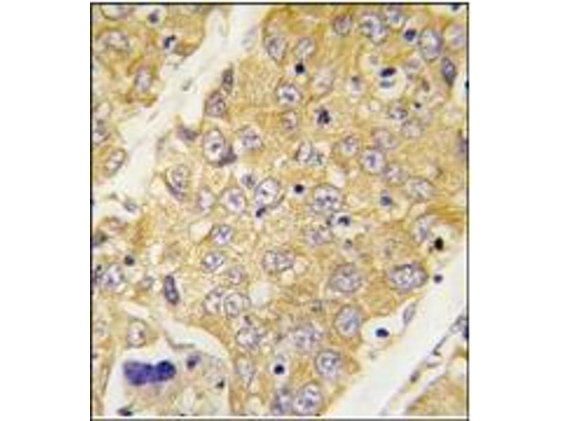
DTNBP1 antibody (C-Term)

The Rabbit Polyclonal anti-DTNBP1 antibody (ABIN357846) specifically detects DTNBP1 in WB, IHC (p) and EIA. The antibody is reactive with Human and Mouse samples.
Catalog No. ABIN357846
$846.00
Plus shipping costs $50.00
0.4 mL
Shipping to: United States
Delivery in 1 to 2 Business Days

Quick Overview for DTNBP1 antibody (C-Term) (ABIN357846)

Target

See all DTNBP1 Antibodies
DTNBP1 (Dystrobrevin Binding Protein 1 (DTNBP1))

Reactivity

  • 48
  • 28
  • 27
  • 15
  • 1
  • 1
Human, Mouse

Host

  • 78
  • 3
Rabbit

Clonality

  • 78
  • 3
Polyclonal

Conjugate

  • 27
  • 7
  • 7
  • 6
  • 3
  • 3
  • 2
  • 2
  • 2
  • 2
  • 2
  • 2
  • 2
  • 2
  • 2
  • 2
  • 2
  • 1
  • 1
  • 1
  • 1
  • 1
  • 1
This DTNBP1 antibody is un-conjugated

Application

  • 37
  • 34
  • 26
  • 26
  • 19
  • 10
  • 6
  • 6
  • 4
  • 2
  • 1
  • 1
Western Blotting (WB), Immunohistochemistry (Paraffin-embedded Sections) (IHC (p)), Enzyme Immunoassay (EIA)
  • Binding Specificity

    • 15
    • 7
    • 7
    • 7
    • 5
    • 3
    • 3
    • 2
    • 1
    • 1
    • 1
    • 1
    • 1
    • 1
    • 1
    C-Term

    Specificity

    This antibody detects DTNBP1 (C-term).

    Purification

    Protein G Chromatography, eluted with high and low pH buffers and neutralized immediately, followed by dialysis against PBS.

    Immunogen

    This antibody is generated from rabbits immunized with a KLH conjugated synthetic peptide selected from the C-terminal region of mouse Dtnbp1.

    Isotype

    Ig Fraction
  • Application Notes

    ELISA: 1/1,000. Western blot: 1/50-1/100. Immunohistochemistry: 1/10-1/50.
    Other applications not tested.
    Optimal dilutions are dependent on conditions and should be determined by the user.

    Restrictions

    For Research Use only
  • Format

    Liquid

    Concentration

    0.25 mg/mL

    Buffer

    PBS with 0.09 % (W/V) Sodium Azide as preservative.

    Preservative

    Sodium azide

    Precaution of Use

    This product contains sodium azide: a POISONOUS AND HAZARDOUS SUBSTANCE which should be handled by trained staff only.

    Handling Advice

    Avoid repeated freezing and thawing.

    Storage

    4 °C/-20 °C

    Storage Comment

    Store the antibody undiluted at 2-8 °C for one month or (in aliquots) at-20 °C for longer.
  • Target

    DTNBP1 (Dystrobrevin Binding Protein 1 (DTNBP1))

    Alternative Name

    Dysbindin

    Background

    Dtnp1 may play a role in organelle biogenesis associated with melanosomes, platelet dense granules, and lysosomes. A similar protein in mouse is a component of a protein complex termed biogenesis of lysosome-related organelles complex 1 (BLOC-1), and binds to alpha- and beta-dystrobrevins, which are components of the dystrophin-associated protein complex (DPC). Mutations in this protein are associated with Hermansky-Pudlak syndrome type 7. This protein may also be associated with schizophrenia.Synonyms: DTNBP1, Dystrobrevin-binding protein 1, Hermansky-Pudlak syndrome 7 protein homolog, Hps7-like protein, My031

    Molecular Weight

    39651 Da

    Gene ID

    94245, 10090

    UniProt

    Q91WZ8

    Pathways

    Synaptic Membrane, Regulation of G-Protein Coupled Receptor Protein Signaling
You are here:
Chat with us!