Phone:
+1 877 302 8632
Fax:
+1 888 205 9894 (Toll-free)
E-Mail:
orders@antibodies-online.com

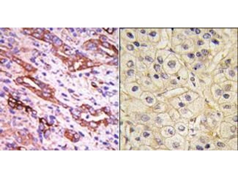
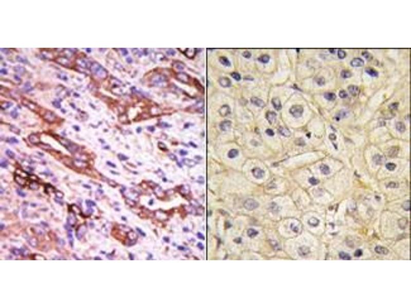
GRK1 antibody (C-Term)

The Rabbit Polyclonal anti-GRK1 antibody is suitable to detect GRK1 in samples from Human and Mouse. It has been validated for WB, IHC (p) and EIA.
Catalog No. ABIN359042
$768.00
Plus shipping costs $50.00
0.4 mL
Shipping to: United States
Delivery in 1 to 2 Business Days

Quick Overview for GRK1 antibody (C-Term) (ABIN359042)

Target

See all GRK1 Antibodies
GRK1 (G Protein-Coupled Receptor Kinase 1 (GRK1))

Reactivity

  • 45
  • 35
  • 27
  • 14
  • 13
  • 2
  • 2
  • 1
  • 1
  • 1
Human, Mouse

Host

  • 44
  • 2
  • 1
Rabbit

Clonality

  • 45
  • 2
Polyclonal

Conjugate

  • 24
  • 2
  • 2
  • 2
  • 1
  • 1
  • 1
  • 1
  • 1
  • 1
  • 1
  • 1
  • 1
  • 1
  • 1
  • 1
  • 1
  • 1
  • 1
  • 1
  • 1
This GRK1 antibody is un-conjugated

Application

  • 40
  • 22
  • 19
  • 4
  • 2
Western Blotting (WB), Immunohistochemistry (Paraffin-embedded Sections) (IHC (p)), Enzyme Immunoassay (EIA)
  • Binding Specificity

    • 7
    • 4
    • 2
    • 2
    • 2
    • 1
    • 1
    • 1
    • 1
    • 1
    • 1
    • 1
    • 1
    • 1
    • 1
    C-Term

    Specificity

    This antibody reacts to GRK1.

    Purification

    Protein G column, eluted with high and low pH buffers and neutralized immediately, followed by dialysis against PBS

    Immunogen

    This antibody is generated from rabbits immunized with a KLH conjugated synthetic peptide selected from the C-terminal region of human GRK1.

    Isotype

    Ig Fraction
  • Application Notes

    ELISA: 1/1,000. Western blotting: 1/100 - 1/500.

    Restrictions

    For Research Use only
  • Format

    Liquid

    Concentration

    0.25 mg/mL

    Buffer

    PBS with 0.09 % (W/V) sodium azide

    Preservative

    Sodium azide

    Precaution of Use

    This product contains sodium azide: a POISONOUS AND HAZARDOUS SUBSTANCE which should be handled by trained staff only.

    Handling Advice

    Avoid repeated freezing and thawing.

    Storage

    4 °C/-20 °C

    Storage Comment

    Store the antibody undiluted at 2-8 °C for one month or (in aliquots) at-20 °C for longer.
  • Target

    GRK1 (G Protein-Coupled Receptor Kinase 1 (GRK1))

    Alternative Name

    Rhodopsin Kinase

    Background

    Protein kinases are enzymes that transfer a phosphate group from a phosphate donor, generally the g phosphate of ATP, onto an acceptor amino acid in a substrate protein. By this basic mechanism, protein kinases mediate most of the signal transduction in eukaryotic cells, regulating cellular metabolism, transcription, cell cycle progression, cytoskeletal rearrangement and cell movement, apoptosis, and differentiation. With more than 500 gene products, the protein kinase family is one of the largest families of proteins in eukaryotes. The family has been classified in 8 major groups based on sequence comparison of their tyrosine (PTK) or serine/threonine (STK) kinase catalytic domains. The AGC kinase group consists of 63 kinases including the cyclic nucleotide-regulated protein kinase (PKA & PKG) family, the diacylglycerol-activated/phospholipid-dependent protein kinase C (PKC) family, the related to PKA and PKC (RAC/Akt) protein kinase family, the kinases that phosphorylate G protein-coupled receptors family (ARK), and the kinases that phosphorylate ribosomal protein S6 family (RSK). The AGC kinase group consists of 63 kinases including the cyclic nucleotide-regulated protein kinase (PKA & PKG) family, the diacylglycerol-activated/phospholipid-dependent protein kinase C (PKC) family, the related to PKA and PKC (RAC/Akt) protein kinase family, the kinases that phosphorylate G protein-coupled receptors family (ARK), and the kinases that phosphorylate ribosomal protein S6 family (RSK).Synonyms: G protein-coupled receptor kinase 1, GRK1, RHOK

    Gene ID

    6011, 9606

    UniProt

    Q15835

    Pathways

    Regulation of G-Protein Coupled Receptor Protein Signaling, Phototransduction
You are here:
Chat with us!