Phone:
+1 877 302 8632
Fax:
+1 888 205 9894 (Toll-free)
E-Mail:
orders@antibodies-online.com

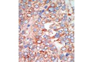
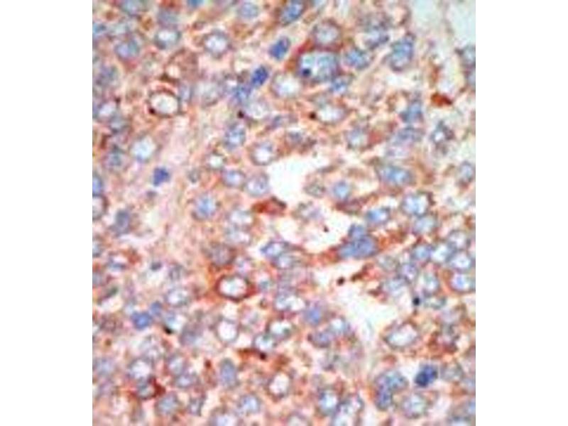
STK24 antibody (C-Term)

The Rabbit Polyclonal anti-STK24 antibody is suitable to detect STK24 in samples from Human. It has been validated for IHC (p) and EIA.
Catalog No. ABIN360314
$846.00
Plus shipping costs $50.00
0.4 mL
Shipping to: United States
Delivery in 1 to 2 Business Days

Quick Overview for STK24 antibody (C-Term) (ABIN360314)

Target

See all STK24 Antibodies
STK24 (serine/threonine Kinase 24 (STK24))

Reactivity

  • 55
  • 37
  • 30
  • 1
  • 1
  • 1
  • 1
Human

Host

  • 61
  • 9
Rabbit

Clonality

  • 60
  • 10
Polyclonal

Conjugate

  • 25
  • 7
  • 6
  • 5
  • 2
  • 2
  • 2
  • 2
  • 2
  • 2
  • 2
  • 2
  • 1
  • 1
  • 1
  • 1
  • 1
  • 1
  • 1
  • 1
  • 1
  • 1
  • 1
This STK24 antibody is un-conjugated

Application

  • 53
  • 32
  • 19
  • 13
  • 13
  • 9
  • 5
  • 3
  • 3
  • 1
  • 1
  • 1
Immunohistochemistry (Paraffin-embedded Sections) (IHC (p)), Enzyme Immunoassay (EIA)
  • Binding Specificity

    • 15
    • 8
    • 7
    • 7
    • 6
    • 4
    • 2
    • 2
    • 2
    • 1
    • 1
    • 1
    • 1
    • 1
    • 1
    • 1
    • 1
    • 1
    C-Term

    Specificity

    This antibody reacts to MST3.

    Purification

    Protein G column, eluted with high and low pH buffers and neutralized immediately, followed by dialysis against PBS

    Immunogen

    This antibody is generated from rabbits immunized with a KLH conjugated synthetic peptide selected from the C-terminal region of human MST3.

    Isotype

    Ig Fraction
  • Application Notes

    ELISA: 1/1,000. Immunohistochemistry: 1/50 - 1/100.
    Other applications not tested.
    Optimal dilutions are dependent on conditions and should be determined by the user.

    Restrictions

    For Research Use only
  • Format

    Liquid

    Concentration

    0.25 mg/mL

    Buffer

    PBS with 0.09 % (W/V) sodium azide

    Preservative

    Sodium azide

    Precaution of Use

    This product contains sodium azide: a POISONOUS AND HAZARDOUS SUBSTANCE which should be handled by trained staff only.

    Handling Advice

    Avoid repeated freezing and thawing.

    Storage

    4 °C/-20 °C

    Storage Comment

    Store the antibody undiluted at 2-8 °C for one month or (in aliquots) at-20 °C for longer.
  • Target

    STK24 (serine/threonine Kinase 24 (STK24))

    Alternative Name

    STK24 / STK3

    Background

    The yeast 'Sterile 20' gene (STE20) functions upstream of the mitogen-activated protein kinase (MAPK) cascade. In mammals, protein kinases related to STE20 can be divided into 2 subfamilies based on their structure and regulation. Members of the PAK subfamily (see PAK3, MIM 300142) contain a C-terminal catalytic domain and an N-terminal regulatory domain that has a CDC42 (MIM 116952)-binding domain. In contrast, members of the GCK subfamily (see MAP4K2, MIM 603166), also called the Sps1 subfamily, have an N-terminal catalytic domain and a C-terminal regulatory domain without a CDC42-binding domain. STK24 belongs to the GCK subfamily of STE20-like kinases.Synonyms: MST-3, MST3, Mammalian STE20-like protein kinase 3, STE20-like kinase MST3, Serine/threonine-protein kinase 24

    Gene ID

    8428, 9606

    UniProt

    Q9Y6E0
You are here:
Chat with us!