Phone:
+1 877 302 8632
Fax:
+1 888 205 9894 (Toll-free)
E-Mail:
orders@antibodies-online.com

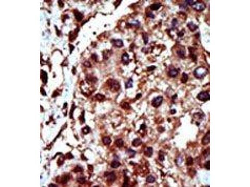
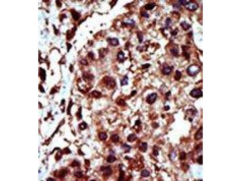
DGKI antibody (C-Term)

The Rabbit Polyclonal anti-DGKI antibody is suitable to detect DGKI in samples from Human and Mouse. It has been validated for WB, IHC (p) and EIA.
Catalog No. ABIN360602
$846.00
Plus shipping costs $50.00
0.4 mL
Shipping to: United States
Delivery in 1 to 2 Business Days

Quick Overview for DGKI antibody (C-Term) (ABIN360602)

Target

See all DGKI Antibodies
DGKI (Diacylglycerol Kinase, iota (DGKI))

Reactivity

  • 43
  • 26
  • 10
Human, Mouse

Host

  • 42
  • 1
Rabbit

Clonality

  • 42
  • 1
Polyclonal

Conjugate

  • 13
  • 3
  • 3
  • 3
  • 2
  • 2
  • 1
  • 1
  • 1
  • 1
  • 1
  • 1
  • 1
  • 1
  • 1
  • 1
  • 1
  • 1
  • 1
  • 1
  • 1
  • 1
  • 1
This DGKI antibody is un-conjugated

Application

  • 31
  • 21
  • 17
  • 13
  • 13
  • 8
  • 5
  • 3
  • 2
Western Blotting (WB), Immunohistochemistry (Paraffin-embedded Sections) (IHC (p)), Enzyme Immunoassay (EIA)
  • Binding Specificity

    • 15
    • 7
    • 6
    • 6
    • 1
    • 1
    • 1
    • 1
    C-Term

    Specificity

    This antibody reacts to DGKI.

    Purification

    Protein G column, eluted with high and low pH buffers and neutralized immediately, followed by dialysis against PBS

    Immunogen

    This antibody is generated from rabbits immunized with a KLH conjugated synthetic peptide selected from the C-terminal region of human DGKI.

    Isotype

    Ig Fraction
  • Application Notes

    ELISA: 1/1,000. Western blotting: 1/100 - 1/500. Immunohistochemistry: 1/50 - 1/100.
    Other applications not tested.
    Optimal dilutions are dependent on conditions and should be determined by the user.

    Restrictions

    For Research Use only
  • Format

    Liquid

    Concentration

    0.25 mg/mL

    Buffer

    PBS with 0.09 % (W/V) sodium azide

    Preservative

    Sodium azide

    Precaution of Use

    This product contains sodium azide: a POISONOUS AND HAZARDOUS SUBSTANCE which should be handled by trained staff only.

    Handling Advice

    Avoid repeated freezing and thawing.

    Storage

    4 °C/-20 °C

    Storage Comment

    Store the antibody undiluted at 2-8 °C for one month or (in aliquots) at-20 °C for longer.
  • Target

    DGKI (Diacylglycerol Kinase, iota (DGKI))

    Alternative Name

    DAG Kinase iota

    Background

    DGKI a member of the type IV diacylglycerol kinase subfamily. Diacylglycerol kinases regulate the intracellular concentration of diacylglycerol through its phosphorylation, producing phosphatidic acid. The specific role of the enzyme encoded by this gene is undetermined, however, it may play a crucial role in the production of phosphatidic acid in the retina or in recessive forms of retinal degeneration.Synonyms: DGKI, Diacylglycerol kinase iota

    Gene ID

    9162, 9606

    UniProt

    O75912
You are here:
Chat with us!