Phone:
+1 877 302 8632
Fax:
+1 888 205 9894 (Toll-free)
E-Mail:
orders@antibodies-online.com

Cytokeratin 18 antibody (HRP)

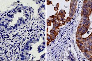
The HRP-conjugated Mouse Monoclonal anti-Cytokeratin 18 antibody (Clone SB38b) (ABIN376344) specifically detects Cytokeratin 18 in WB, IHC, ELISA and ICC.
Catalog No. ABIN376344
$488.40
Plus shipping costs $50.00
1 mL
Shipping to: United States
Delivery in 3 to 5 Business Days

Quick Overview for Cytokeratin 18 antibody (HRP) (ABIN376344)

Target

See all Cytokeratin 18 (KRT18) Antibodies
Cytokeratin 18 (KRT18) (Keratin 18 (KRT18))

Host

  • 198
  • 167
  • 3
  • 1
  • 1
  • 1
Mouse

Clonality

  • 227
  • 141
  • 3
Monoclonal

Conjugate

  • 182
  • 32
  • 22
  • 9
  • 6
  • 6
  • 6
  • 6
  • 6
  • 6
  • 5
  • 5
  • 5
  • 5
  • 5
  • 5
  • 5
  • 4
  • 4
  • 4
  • 4
  • 4
  • 4
  • 4
  • 4
  • 4
  • 4
  • 4
  • 2
  • 2
  • 2
  • 1
  • 1
  • 1
  • 1
  • 1
  • 1
This Cytokeratin 18 antibody is conjugated to HRP

Application

  • 309
  • 193
  • 126
  • 124
  • 78
  • 77
  • 60
  • 54
  • 47
  • 43
  • 33
  • 31
  • 13
  • 8
  • 7
  • 6
  • 5
  • 4
  • 2
  • 1
  • 1
Western Blotting (WB), Immunohistochemistry (IHC), ELISA, Immunocytochemistry (ICC)

Clone

SB38b
  • Isotype

    IgG2b
  • Application Notes

    Each laboratory should determine an optimum working titer for use in its particular application. Other applications have not been tested but use in such assays should not necessarily be excluded.

    Sample Volume

    1 mL

    Restrictions

    For Research Use only
  • Format

    Liquid

    Handling Advice

    Protect conjugated products from light.
    Each reagent is stable for the period shown on the bottle label if stored as directed.

    Storage

    4 °C
  • Target

    Cytokeratin 18 (KRT18) (Keratin 18 (KRT18))

    Alternative Name

    Cytokeratin 18

    Pathways

    Apoptosis, Caspase Cascade in Apoptosis
You are here:
Chat with us!