Phone:
+1 877 302 8632
Fax:
+1 888 205 9894 (Toll-free)
E-Mail:
orders@antibodies-online.com

FRK antibody (N-Term)

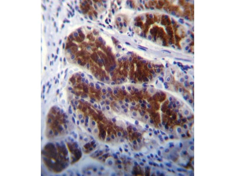
The Rabbit Polyclonal anti-FRK antibody (Clone RB03106) (ABIN392097) specifically detects FRK in WB, FACS and IHC (p). The antibody is reactive with Human samples.
Catalog No. ABIN392097
$451.00
Plus shipping costs $50.00
Shipping to: United States
Delivery in 10 to 12 Business Days

Quick Overview for FRK antibody (N-Term) (ABIN392097)

Target

See all FRK Antibodies
FRK (Fyn-Related Kinase (FRK))

Reactivity

  • 45
  • 36
  • 31
  • 4
  • 3
  • 3
  • 2
  • 2
  • 2
  • 2
  • 1
Human

Host

  • 61
  • 7
  • 1
Rabbit

Clonality

  • 63
  • 6
Polyclonal

Conjugate

  • 38
  • 4
  • 3
  • 3
  • 2
  • 2
  • 1
  • 1
  • 1
  • 1
  • 1
  • 1
  • 1
  • 1
  • 1
  • 1
  • 1
  • 1
  • 1
  • 1
  • 1
  • 1
  • 1
This FRK antibody is un-conjugated

Application

  • 52
  • 29
  • 20
  • 13
  • 13
  • 8
  • 7
  • 5
  • 3
  • 3
  • 3
  • 1
Western Blotting (WB), Flow Cytometry (FACS), Immunohistochemistry (Paraffin-embedded Sections) (IHC (p))

Clone

RB03106
  • Binding Specificity

    • 15
    • 8
    • 7
    • 2
    • 2
    • 2
    • 2
    • 2
    • 2
    • 2
    • 1
    • 1
    • 1
    • 1
    • 1
    • 1
    • 1
    • 1
    • 1
    • 1
    • 1
    • 1
    AA 13-44, N-Term

    Purification

    This antibody is prepared by Saturated Ammonium Sulfate (SAS) precipitation followed by dialysis against PBS.

    Immunogen

    This FRK antibody is generated from rabbits immunized with a KLH conjugated synthetic peptide between 13-44 amino acids from the N-terminal region of human FRK.

    Isotype

    Ig Fraction
  • Application Notes

    WB: 1:1000. IHC-P: 1:10~50. FC: 1:10~50

    Restrictions

    For Research Use only
  • Format

    Liquid

    Buffer

    Purified polyclonal antibody supplied in PBS with 0.09 % (W/V) sodium azide.

    Preservative

    Sodium azide

    Precaution of Use

    This product contains Sodium azide: a POISONOUS AND HAZARDOUS SUBSTANCE which should be handled by trained staff only.

    Storage

    4 °C,-20 °C

    Storage Comment

    Maintain refrigerated at 2-8 °C for up to 6 months. For long term storage store at -20 °C in small aliquots to prevent freeze-thaw cycles.

    Expiry Date

    6 months
  • Target

    FRK (Fyn-Related Kinase (FRK))

    Alternative Name

    FRK

    Background

    The protein encoded by this gene belongs to the TYR family of protein kinases. This tyrosine kinase is a nuclear protein and may function during G1 and S phase of the cell cycle and suppress growth.

    Molecular Weight

    58254

    Gene ID

    2444

    NCBI Accession

    NP_002022

    UniProt

    P42685
You are here:
Chat with us!