DDX3X antibody (N-Term)
Quick Overview for DDX3X antibody (N-Term) (ABIN396914)
Target
See all DDX3X AntibodiesReactivity
Host
Clonality
Conjugate
Application
-
-
Binding Specificity
- N-Term
-
Specificity
- Synthetic peptide corresponding to N-terminal residues of human DDX3X (DEAD-box protein 3, X- chromosomal)
-
Purification
- Immunoaffinity purified
-
Immunogen
-
Synthetic peptide from human DDX3X.
Type of Immunogen: Synthetic peptide
-
-
-
-
Application Notes
-
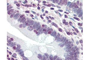
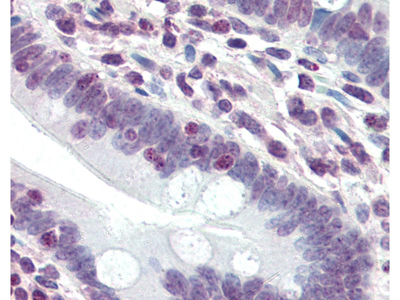
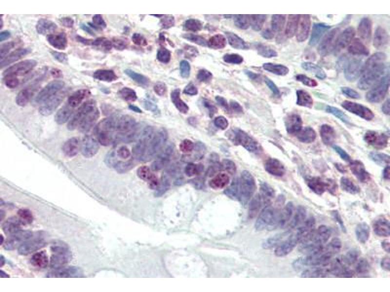
Approved: ELISA, IHC, IHC-P (20 μg/mL), WB (1 μg/mL)
Usage: Immunohistochemistry: This antibody was validated for use in immunohistochemistry on a panel of 21 formalin-fixed, paraffin-embedded (FFPE) human tissues after heat induced antigen retrieval in pH 6.0 citrate buffer. After incubation with the primary antibody, slides were incubated with biotinylated secondary antibody, followed by alkaline phosphatase-streptavidin and chromogen. The stained slides were evaluated by a pathologist to confirm staining specificity. The optimal working concentration for this antibody was determined to be 20 μg/mL. -
Comment
-
Target Species of Antibody: Human
-
Restrictions
- For Research Use only
-
-
-
Format
- Liquid
-
Concentration
- Lot specific
-
Buffer
- PBS, 0.01 % sodium azide, 50 % glycerol.
-
Preservative
- Sodium azide
-
Precaution of Use
- This product contains Sodium azide: a POISONOUS AND HAZARDOUS SUBSTANCE which should be handled by trained staff only.
-
Storage
- -20 °C
-
Storage Comment
- Store at -20°C.
-
-
- DDX3X (DEAD (Asp-Glu-Ala-Asp) Box Polypeptide 3, X-Linked (DDX3X))
-
Alternative Name
- DDX3 / DDX3X
-
Background
-
Name/Gene ID: DDX3X
Family: DEAD box protein
Synonyms: DDX3X, CAP-Rf, DDX14, DDX3, DEAD box, X isoform, DBX, Dead box protein 3, DEAD/H box-3, Helicase like protein 2, Helicase-like protein 2, HLP2 -
Gene ID
- 1654
-
UniProt
- O00571
-
Pathways
- Ribonucleoprotein Complex Subunit Organization, Positive Regulation of Endopeptidase Activity, Negative Regulation of intrinsic apoptotic Signaling, Ribosome Assembly
Target
-