Phone:
+1 877 302 8632
Fax:
+1 888 205 9894 (Toll-free)
E-Mail:
orders@antibodies-online.com

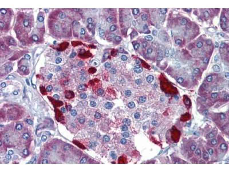
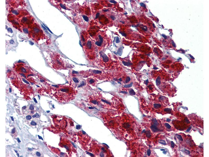
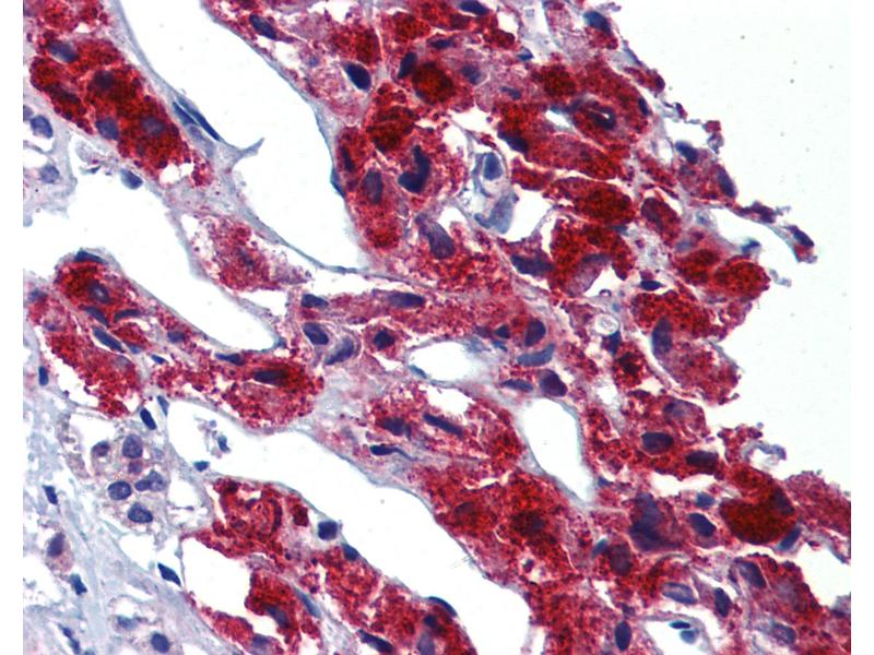
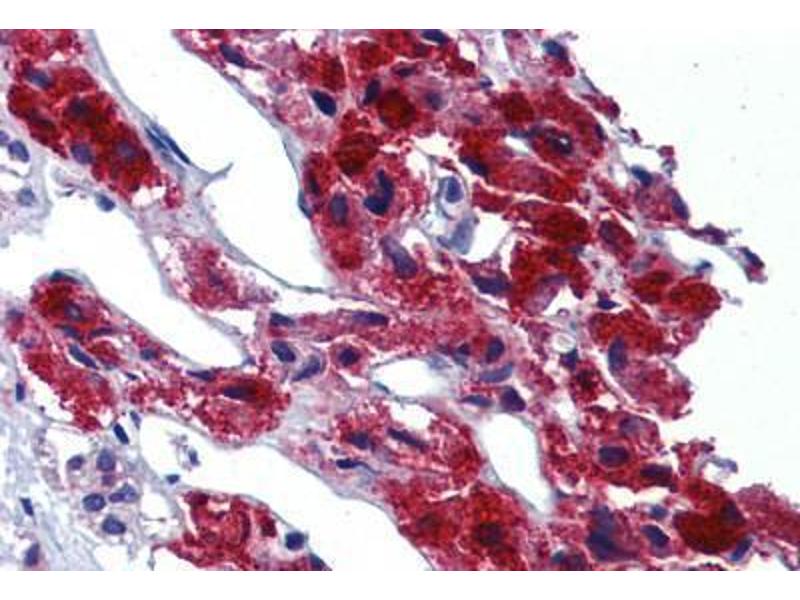
LRRN4 antibody (N-Term)

This Rabbit Polyclonal antibody specifically detects LRRN4 in IHC and IHC (p). It exhibits reactivity toward Human.
Catalog No. ABIN461707
$498.30
Plus shipping costs $50.00
50 μg
Shipping to: United States
Delivery in 11 to 15 Business Days

Quick Overview for LRRN4 antibody (N-Term) (ABIN461707)

Target

See all LRRN4 Antibodies
LRRN4 (Leucine Rich Repeat Neuronal 4 (LRRN4))

Reactivity

  • 14
  • 2
  • 1
Human

Host

  • 15
  • 1
Rabbit

Clonality

  • 16
Polyclonal

Conjugate

  • 11
  • 1
  • 1
  • 1
  • 1
  • 1
This LRRN4 antibody is un-conjugated

Application

  • 12
  • 11
  • 10
  • 3
  • 1
  • 1
  • 1
Immunohistochemistry (IHC), Immunohistochemistry (Paraffin-embedded Sections) (IHC (p))
  • Binding Specificity

    • 8
    • 5
    • 1
    • 1
    • 1
    • 1
    N-Term

    Specificity

    Human LRRN4 / C20orf75. BLAST analysis of the peptide immunogen showed no homology with other human proteins, except SH2B1 (44 % ).

    Predicted Reactivity

    Percent identity with other species by BLAST analysis: Human, Chimpanzee, Gorilla, Orangutan (100%) Marmoset (94%).

    Purification

    Immunoaffinity purified

    Immunogen

    Synthetic 16 amino acid peptide from N-Terminus of human LRRN4 / C20orf75. Percent identity with other species by BLAST analysis: Human, Chimpanzee, Gorilla, Orangutan (100%), Marmoset (94%).

    Type of Immunogen: Synthetic peptide
  • Application Notes

    Approved: IHC, IHC-P (10 μg/mL)

    Usage: Immunohistochemistry with formalin-fixed paraffin-embedded tissues requires pretreatment using HIER with citrate buffer.

    Comment

    Target Species of Antibody: Human

    Restrictions

    For Research Use only
  • Format

    Liquid

    Concentration

    Lot specific

    Buffer

    PBS, less than 0.1 % sodium azide.

    Preservative

    Sodium azide

    Precaution of Use

    This product contains Sodium azide: a POISONOUS AND HAZARDOUS SUBSTANCE which should be handled by trained staff only.

    Storage

    4 °C,-20 °C

    Storage Comment

    Aliquot and store undiluted at -20°C or below for up to 1 year. Can be stored undiluted at 4°C for up to 1 month. Avoid freeze-thaw cycles.

    Expiry Date

    12 months
  • Target

    LRRN4 (Leucine Rich Repeat Neuronal 4 (LRRN4))

    Alternative Name

    LRRN4 / C20orf75

    Background

    Name/Gene ID: LRRN4

    Synonyms: LRRN4, DJ1056H1.1, Leucine rich repeat neuronal 4, NLRR4, C20orf75, NLRR-4

    Gene ID

    164312
You are here:
Chat with us!