DIABLO antibody
Quick Overview for DIABLO antibody (ABIN462354)
Target
See all DIABLO AntibodiesReactivity
Host
Clonality
Conjugate
Application
Clone
-
-
Specificity
- Human and monkey Smac/DIABLO.
-
Purification
- Protein G purified
-
Immunogen
-
Recombinant full length human Smac/DIABLO.
Type of Immunogen: Recombinant protein -
Isotype
- IgG2b
-
-
-
-
Application Notes
-
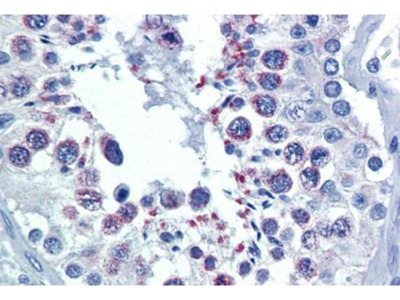
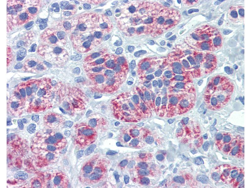
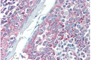
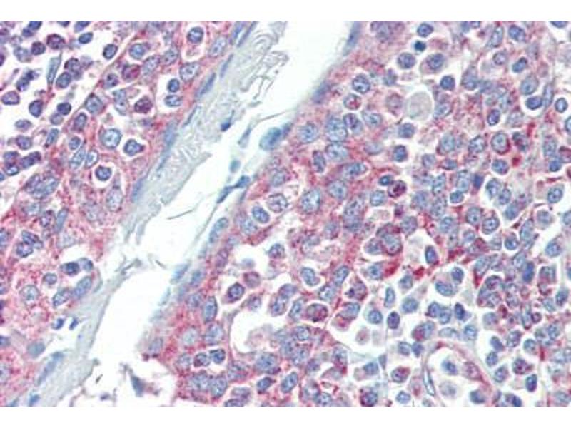
Approved: IHC, IHC-P (10 μg/mL), WB
Usage: Immunohistochemistry: This antibody was validated for use in immunohistochemistry on a panel of 21 formalin-fixed, paraffin-embedded (FFPE) human tissues after heat induced antigen retrieval in pH 6.0 citrate buffer. After incubation with the primary antibody, slides were incubated with biotinylated secondary antibody, followed by alkaline phosphatase-streptavidin and chromogen. The stained slides were evaluated by a pathologist to confirm staining specificity. The optimal working concentration for this antibody was determined to be 10 μg/mL. -
Comment
-
Target Species of Antibody: Human
-
Restrictions
- For Research Use only
-
-
-
Format
- Liquid
-
Concentration
- Lot specific
-
Buffer
- PBS, pH 7.2, 0.09 % azide, 50 % glycerol
-
Preservative
- Sodium azide
-
Precaution of Use
- This product contains Sodium azide: a POISONOUS AND HAZARDOUS SUBSTANCE which should be handled by trained staff only.
-
Storage
- -20 °C
-
Storage Comment
- Store at -20°C.
-
-
- DIABLO (Second Mitochondria-Derived Activator of Caspase (DIABLO))
-
Alternative Name
- DIABLO / SMAC
-
Background
-
Name/Gene ID: DIABLO
Family: Apoptosis
Synonyms: DIABLO, DFNA64, DIABLO-S, Diablo homolog, mitochondrial, SMAC3, Mitochondrial Smac protein, SMAC -
Gene ID
- 56616
-
UniProt
- Q9NR28
-
Pathways
- Apoptosis, Caspase Cascade in Apoptosis, Positive Regulation of Endopeptidase Activity
Target
-