Phone:
+1 877 302 8632
Fax:
+1 888 205 9894 (Toll-free)
E-Mail:
orders@antibodies-online.com

CDC7 antibody

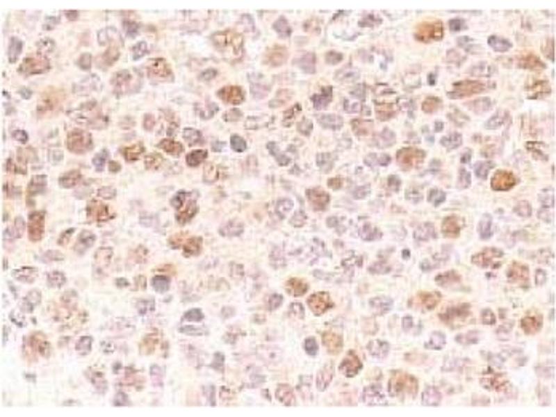
The Mouse Monoclonal anti-CDC7 antibody is suitable to detect CDC7 in samples from Human. It has been validated for WB, IHC (p) and IP.
Catalog No. ABIN487481
$686.40
Plus shipping costs $50.00
0.1 mg
Shipping to: United States
Delivery in 1 to 2 Business Days

Quick Overview for CDC7 antibody (ABIN487481)

Target

See all CDC7 Antibodies
CDC7 (Cell Division Cycle 7 (CDC7))

Reactivity

  • 58
  • 30
  • 25
  • 2
  • 2
  • 2
  • 1
  • 1
  • 1
Human

Host

  • 58
Mouse

Clonality

  • 46
  • 12
Monoclonal

Conjugate

  • 27
  • 3
  • 2
  • 2
  • 2
  • 2
  • 2
  • 2
  • 1
  • 1
  • 1
  • 1
  • 1
  • 1
  • 1
  • 1
  • 1
  • 1
  • 1
  • 1
  • 1
  • 1
  • 1
  • 1
This CDC7 antibody is un-conjugated

Application

  • 31
  • 25
  • 15
  • 13
  • 13
  • 9
  • 6
  • 5
  • 4
  • 3
  • 2
  • 1
  • 1
  • 1
Western Blotting (WB), Immunohistochemistry (Paraffin-embedded Sections) (IHC (p)), Immunoprecipitation (IP)

Clone

DCS-342
  • Specificity

    This antibody reacts with Human CDC7

    Cross-Reactivity (Details)

    Species reactivity (tested):Human.

    Characteristics

    Synonyms: CDC7L1, CDC7-related kinase, HsCdc7, huCdc7, Cell division cycle 7-related protein kinase

    Purification

    Protein-A Sepharose Chromatography.

    Immunogen

    Full-length Human CDC7 fusion protein. Remarks: Hybridoma was established by fusion of Mouse myeloma cell NS-2 with Balb/cmouse splenocyte.

    Isotype

    IgG2b
  • Application Notes

    Westzern Blotting: 0.2 μg/mLImmunoprecipitation: 3 μg/200-300 μL of cell extract. Positive Controls: HeLa, Raji cells. Immunohistochemistry: 1-5 μg/mLHeat treatment is necessary for Paraffin Embedded Sections. Microwave oven: 2 times for 10 minutes each in 10 mM citrate buffer ( pH 6.5)Positive Control: Tonsil Tissue. Detailed procedure is provided in Protocols.
    Other applications not tested.
    Optimal dilutions are dependent on conditions and should be determined by the user.

    Protocol

    SDS-PAGE & Western Blotting1) Wash the cells 3 times with PBS and suspend with 10 volume of cold Lysis buffer (50 mMTris-HCl, pH 7. 2, 250 mM NaCl, 0. 1% NP-40, 2 mM EDTA, 10% glycerol) containingappropriate protease inhibitors. Incubate it at 4°C with rotating for 30 minutes, thensonicate briefly (up to 10 seconds). 2) Centrifuge the tube at 12,000 x g for 10 minutes at 4°C and transfer the supernatant toanother tube. Measure the protein concentration of the supernatant and add the Lysisbuffer to make 8 mg/mL solution. 3) Mix the sample with equal volume of Laemmli’s sample buffer. 4) Boil the samples for 2 minutes and centrifuge. Load 10 μL of the sample per lane in a 1mm thick SDS-polyacrylamide gel for electrophoresis. 5) Blot the protein to a polyvinylidene difluoride (PVDF) membrane at 1 mA/cm2 for 1 hourin a semi-dry transfer system. (Transfer Buffer: 25 mM Tris, 190 mM glycine, 20% MeOH). See the manufacture's manual for the transfer procedure. 6) To reduce nonspecific binding, soak the membrane in 10% skimmed milk (in PBS, pH7. 2) for 1 hour at room temperature, or overnight at 4°C. 7) Incubate the membrane with the anti-CDC7 monoclonal antibody (0. 2 μg/mL) dilutedwith 1% skimmed milk (in PBS, pH 7. 2) for 1 hour at room temperature. 8) Wash the membrane with PBS (5 minutes x 6 times). 9) Incubate the membrane with the 1: 10000 HRP-conjugated anti-mouse IgG diluted with1% skimmed milk (in PBS, pH 7. 2) for 1 hour at room temperature. 10) Wash the membrane with PBS (5 minutes x 6 times). 11) Wipe excess buffer from the membrane, then incubate it with appropriatechemiluminescence reagents for 1 minute. Remove extra reagent from the membrane bydabbing with a paper towel, and seal it in plastic wrap. 12) Expose to an X-ray film in a dark room for 5 minutes. Develop the film as usual. Theconditions for exposure and development may vary. Positive Controls for Western blotting: HeLa, Raji. Immunoprecipitation1) Wash the cells 3 times with PBS and suspend with 10 volume of cold Lysis buffer (50 mMTris-HCl, pH 7. 2, 250 mM NaCl, 0. 1% NP-40, 2 mM EDTA, 10% glycerol) containingappropriate protease inhibitors. Incubate it at 4°C with rotating for 30 minutes, thensonicate briefly (up to 10 seconds). 2) Centrifuge the tube at 12,000 x g for 10 minutes at 4°C and transfer the supernatant toanother tube. 3) Add 3 μg of the anti-CDC7 monoclonal antibody into 250 μL of the supernatant. Mix welland incubate with gentle agitation for 30-120 minutes at 4°C. Add 20 μL of 50% ProteinA-agarose beads resuspended in the Lysis buffer. Mix well and incubate with gentleagitation for 60 minutes at 4°C. 4) Wash the beads 3-5 times with ice-cold Lysis buffer (centrifuge the tube at 2,500 x g for

    Restrictions

    For Research Use only
  • Concentration

    1.0 mg/mL

    Buffer

    PBS, pH 7.2 containing 50 % Glycerol without preservatives.

    Preservative

    Without preservative

    Storage

    -20 °C

    Storage Comment

    Store the antibody undiluted at -20 °C.
    Shelf life: one year from despatch.

    Expiry Date

    12 months
  • Target

    CDC7 (Cell Division Cycle 7 (CDC7))

    Alternative Name

    CDC7

    Background

    Cell division cycle-7 (CDC7) was initially discovered as a temperature sensitive cell cycle mutant in Saccharomyces cerevisiae. CDC7 is required in the mitotic cell cycle for the initiation of DNA synthesis. CDC7 forms a complex with a Dbf4-related regulatory subunit to generate an active Ser/Thr kinase that functions in DNA replication, repair, and mitotic recombination. CDC7-Dbf4 efficiently phosphorylates several proteins that are required for the initiation of DNA replication, including five of the six minichromosome maintenance (MCM) proteins and the p180 subunit of DNA polymerase alpha-primase. CDC7p-Dbf4p kinase binds to chromatin during S phase and is regulated by both the APC and the RAD53 checkpoint pathway. A human homolog of the yeast CDC7 is over-expressed in some tumors and transformed cell lines.Synonyms: CDC7-related kinase, CDC7L1, Cell division cycle 7-related protein kinase, HsCdc7, huCdc7

    Gene ID

    8317

    UniProt

    O00311

    Pathways

    Mitotic G1-G1/S Phases, DNA Replication
You are here:
Chat with us!