Phone:
+1 877 302 8632
Fax:
+1 888 205 9894 (Toll-free)
E-Mail:
orders@antibodies-online.com

CDCP1 antibody (AA 582-667)

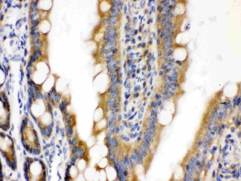
The Rabbit Polyclonal anti-CDCP1 antibody (ABIN4886532) specifically detects CDCP1 in WB, IHC and FACS. The antibody is reactive with Human, Mouse and Rat samples.
Catalog No. ABIN4886532
$370.00
Plus shipping costs $50.00
100 μg
Shipping to: United States
Delivery in 4 to 7 Business Days

Quick Overview for CDCP1 antibody (AA 582-667) (ABIN4886532)

Target

See all CDCP1 Antibodies
CDCP1 (CUB Domain Containing Protein 1 (CDCP1))

Reactivity

  • 71
  • 22
  • 12
  • 2
  • 1
  • 1
Human, Mouse, Rat

Host

  • 36
  • 29
  • 6
  • 2
  • 1
  • 1
Rabbit

Clonality

  • 40
  • 35
Polyclonal

Conjugate

  • 42
  • 4
  • 3
  • 3
  • 3
  • 3
  • 3
  • 3
  • 3
  • 3
  • 3
  • 1
  • 1
This CDCP1 antibody is un-conjugated

Application

  • 33
  • 28
  • 9
  • 9
  • 5
  • 3
  • 2
  • 1
  • 1
  • 1
  • 1
  • 1
  • 1
  • 1
  • 1
Western Blotting (WB), Immunohistochemistry (IHC), Flow Cytometry (FACS)
  • Binding Specificity

    • 8
    • 4
    • 4
    • 3
    • 2
    • 2
    • 1
    • 1
    • 1
    • 1
    • 1
    • 1
    • 1
    • 1
    • 1
    • 1
    • 1
    • 1
    AA 582-667

    Purpose

    Anti-CDCP1 Antibody

    Cross-Reactivity (Details)

    No cross-reactivity with other proteins

    Characteristics

    Anti-CDCP1 Antibody (ABIN4886532). Tested in Flow Cytometry, IHC, WB applications. This antibody reacts with Human, Mouse, Rat. This is a premium antibody that guarantees superior quality, high affinity, and strong signals with minimal background in Western blot applications.

    Purification

    Immunogen affinity purified.

    Immunogen

    E. coli-derived human CDCP1 recombinant protein (Position: R582-T667). Human CDCP1 shares 84.5% amino acid (aa) sequence identity with mouse CDCP1.

    Isotype

    IgG
  • Application Notes

    Western blot, 0.1-0.5 μg/mL, Human
    Immunohistochemistry (Paraffin-embedded Section), 0.5-1 μg/mL, Human, Mouse, Rat
    Flow Cytometry (Fixed), 1-3 μg/1x106 cells, Human

    Comment

    Antibody can be supported by chemiluminescence kit ABIN921124 in WB, supported by ABIN921231 in IHC(P).

    Restrictions

    For Research Use only
  • Format

    Lyophilized

    Reconstitution

    Add 0.2 mL of distilled water will yield a concentration of 500 μg/mL.

    Concentration

    500 μg/mL

    Buffer

    Each vial contains 5 mg BSA, 0.9 mg NaCl, 0.2 mg Na2HPO4, 0.05 mg Sodium azide.

    Preservative

    Sodium azide

    Precaution of Use

    This product contains Sodium azide: a POISONOUS AND HAZARDOUS SUBSTANCE which should be handled by trained staff only.

    Handling Advice

    Avoid repeated freezing and thawing.

    Storage

    4 °C,-20 °C

    Storage Comment

    Store at -20°C for one year from date of receipt. After reconstitution, at 4°C for one month.
    It can also be aliquotted and stored frozen at -20°C for six months. Avoid repeated freeze-thaw cycles.
  • Target

    CDCP1 (CUB Domain Containing Protein 1 (CDCP1))

    Alternative Name

    CDCP1

    Background

    Synonyms: CUB domain-containing protein 1,Membrane glycoprotein gp140,Subtractive immunization M plus HEp3-associated 135 kDa protein,SIMA135,Transmembrane and associated with src kinases,CD318,CDCP1,TRASK,UNQ2486/PRO5773,

    Tissue Specificity: Highly expressed in mitotic cells with low expression during interphase. Detected at highest levels in skeletal muscle and colon with lower levels in kidney, small intestine, placenta and lung. Up-regulated in a number of human tumor cell lines, as well as in colorectal cancer, breast carcinoma and lung cancer. Also expressed in cells with phenotypes reminiscent of mesenchymal stem cells and neural stem cells. .

    Background: CUB domain-containing protein 1 (CDCP1) is a protein that in humans is encoded by the CDCP1 gene. It has also been designated as CD318 (cluster of differentiation 318) and Trask (Transmembrane and associated with src kinases). CDCP1/Trask is a 140 kD transmembrane glycoprotein with a large extracellular domain (ECD) containing two CUB domains, and a smaller intracellular domain (ICD) containing five tyrosines. The tyrosine phosphorylation of Trask is tightly regulated and reciprocally linked with the state of cell adhesion. The tyrosine phosphorylation of CDCP1 in cultured cells occurs when cells are induced to detach by trypsin or EDTA, or seen spontaneously during mitotic detachment. The overexpression of CDCP1 leads to the loss of cell adhesion and a detached phenotype. CDCP1 is widely expressed in human epithelial tissues, but its phosphorylation is only seen in mitotically detached or shedding cells, consistent with its role in the negative regulation of cell adhesion.

    Molecular Weight

    130 kDa

    Gene ID

    64866

    UniProt

    Q9H5V8
You are here:
Chat with us!