Phone:
+1 877 302 8632
Fax:
+1 888 205 9894 (Toll-free)
E-Mail:
orders@antibodies-online.com

Vip antibody (Middle Region)

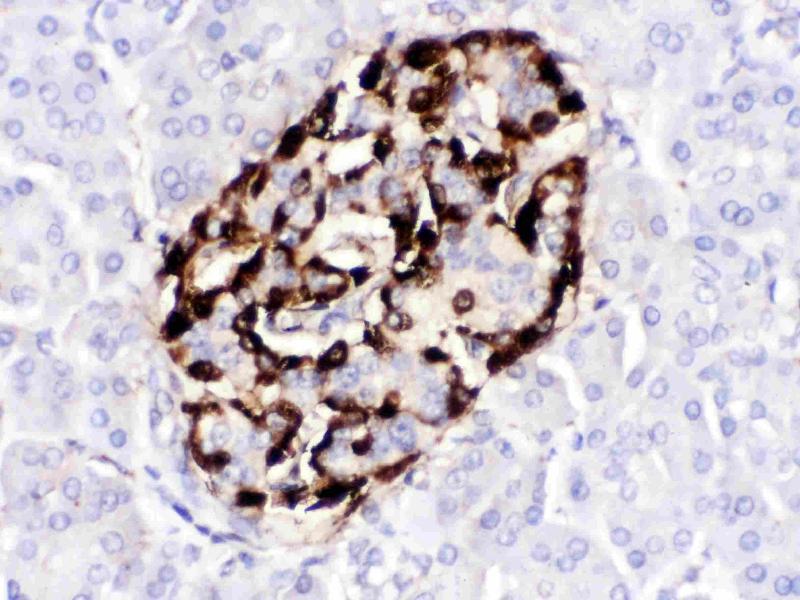
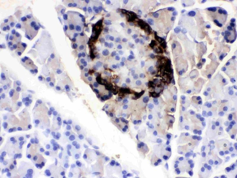
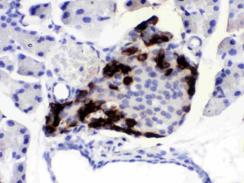
Cited in 1 publication. The Rabbit Polyclonal anti-Vip antibody (ABIN4886760) specifically detects Vip in IHC and IF. The antibody is reactive with Human, Rat and Mouse samples.
Catalog No. ABIN4886760
$370.00
Plus shipping costs $50.00
100 μg
Shipping to: United States
Delivery in 4 to 7 Business Days

Quick Overview for Vip antibody (Middle Region) (ABIN4886760)

Target

See all Vip Antibodies
Vip (Vasoactive Intestinal Peptide (Vip))

Reactivity

  • 58
  • 28
  • 7
  • 7
  • 6
  • 3
  • 2
  • 2
  • 2
  • 2
  • 1
  • 1
  • 1
  • 1
Human, Rat, Mouse

Host

  • 50
  • 15
  • 2
Rabbit

Clonality

  • 52
  • 15
Polyclonal

Conjugate

  • 43
  • 1
  • 1
  • 1
  • 1
  • 1
  • 1
  • 1
  • 1
  • 1
  • 1
  • 1
  • 1
  • 1
  • 1
  • 1
  • 1
  • 1
  • 1
  • 1
  • 1
  • 1
  • 1
  • 1
  • 1
This Vip antibody is un-conjugated

Application

  • 31
  • 26
  • 19
  • 16
  • 13
  • 13
  • 10
  • 9
  • 6
  • 4
  • 3
  • 2
  • 2
  • 1
Immunohistochemistry (IHC), Immunofluorescence (IF)
  • Binding Specificity

    • 16
    • 6
    • 6
    • 4
    • 2
    • 2
    • 2
    • 2
    • 1
    • 1
    • 1
    • 1
    • 1
    • 1
    • 1
    AA 81-107, Middle Region

    Purpose

    Anti-VIP peptides VIP Antibody

    Sequence

    HADGVFTSDF SKLLGQLSAK KYLESLM

    Cross-Reactivity (Details)

    No cross-reactivity with other proteins

    Characteristics

    Anti-VIP peptides VIP Antibody (ABIN4886760). Tested in IF, IHC applications. This antibody reacts with Human, Mouse, Rat.

    Purification

    Immunogen affinity purified.

    Immunogen

    A synthetic peptide corresponding to a sequence in the middle region of human VIP, different from the related mouse and rat sequences by four amino acids.

    Isotype

    IgG
  • Application Notes

    Immunohistochemistry (Paraffin-embedded Section), 0.5-1 μg/mL, Human, Mouse, Rat
    Immunofluorescence, 5 μg/mL, Rat

    Comment

    Antibody can be supported by ABIN921231 in IHC(P).

    Restrictions

    For Research Use only
  • Format

    Lyophilized

    Reconstitution

    Add 0.2 mL of distilled water will yield a concentration of 500 μg/mL.

    Concentration

    500 μg/mL

    Buffer

    Each vial contains 5 mg BSA, 0.9 mg NaCl, 0.2 mg Na2HPO4, 0.05 mg Sodium azide.

    Preservative

    Sodium azide

    Precaution of Use

    This product contains Sodium azide: a POISONOUS AND HAZARDOUS SUBSTANCE which should be handled by trained staff only.

    Handling Advice

    Avoid repeated freezing and thawing.

    Storage

    4 °C,-20 °C

    Storage Comment

    Store at -20°C for one year from date of receipt. After reconstitution, at 4°C for one month.
    It can also be aliquotted and stored frozen at -20°C for six months. Avoid repeated freeze-thaw cycles.
  • Huang, Zhu, Zhang, Zhu, Liu, Zhu, Wang, Li, Yang, Dong, Liu, Chen, Zhang, Yang, Deng, Fan, Wang, Liu, Ma, Fu, Wu: "S100+ cells: a new neuro-immune cross-talkers in lymph organs." in: Scientific reports, Vol. 3, pp. 1114, (2013) (PubMed).

  • Target

    Vip (Vasoactive Intestinal Peptide (Vip))

    Alternative Name

    VIP

    Background

    Synonyms: VIP peptides,Intestinal peptide PHV-42,Peptide histidine valine 42,Intestinal peptide PHM-27,Peptide histidine methioninamide 27,Vasoactive intestinal peptide,VIP,Vasoactive intestinal polypeptide,VIP,

    Tissue Specificity: Isoform CFL2b is expressed predominantly in skeletal muscle and heart. Isoform CFL2a is expressed in various tissues.

    Background: Vasoactive intestinal peptide, also known as PHM27 or VIP, is a peptide hormone containing 28 amino acid residues. This gene is mapped to 6q25. The protein encoded by this gene belongs to the glucagon family. It stimulates myocardial contractility, causes vasodilation, increases glycogenolysis, lowers arterial blood pressure and relaxes the smooth muscle of trachea, stomach and gall bladder. The protein also acts as an antimicrobial peptide with antibacterial and antifungal activity. Alternative splicing occurs at this locus and two transcript variants encoding distinct isoforms have been identified.

    Molecular Weight

    26 kDa

    Gene ID

    7432

    UniProt

    P01282

    Pathways

    Hormone Activity, cAMP Metabolic Process
You are here:
Chat with us!