Phone:
+1 877 302 8632
Fax:
+1 888 205 9894 (Toll-free)
E-Mail:
orders@antibodies-online.com

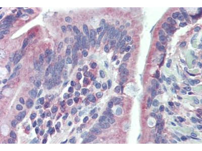
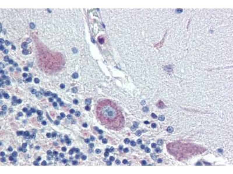
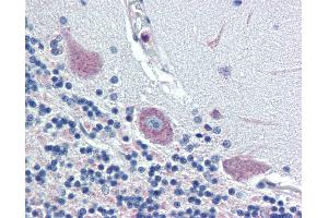
TGFB3 antibody (C-Term)

The Rabbit Polyclonal anti-TGFB3 antibody is suitable to detect TGFB3 in samples from Human, Rat and Mouse. It has been validated for WB, IHC, IP and IHC (p).
Catalog No. ABIN490085
$700.70
Plus shipping costs $50.00
50 μL
Shipping to: United States
Delivery in 11 to 15 Business Days

Quick Overview for TGFB3 antibody (C-Term) (ABIN490085)

Target

See all TGFB3 Antibodies
TGFB3 (Transforming Growth Factor, beta 3 (TGFB3))

Reactivity

  • 49
  • 20
  • 20
  • 6
  • 6
  • 6
  • 5
  • 5
  • 5
  • 4
  • 4
  • 2
  • 2
  • 1
  • 1
  • 1
Human, Rat, Mouse

Host

  • 42
  • 14
Rabbit

Clonality

  • 42
  • 14
Polyclonal

Conjugate

  • 34
  • 5
  • 5
  • 3
  • 1
  • 1
  • 1
  • 1
  • 1
  • 1
  • 1
  • 1
  • 1
This TGFB3 antibody is un-conjugated

Application

  • 35
  • 25
  • 14
  • 12
  • 12
  • 5
  • 3
  • 1
Western Blotting (WB), Immunohistochemistry (IHC), Immunoprecipitation (IP), Immunohistochemistry (Paraffin-embedded Sections) (IHC (p))
  • Binding Specificity

    • 9
    • 6
    • 3
    • 3
    • 2
    • 1
    • 1
    • 1
    • 1
    • 1
    • 1
    • 1
    • 1
    • 1
    C-Term

    Specificity

    Recognizes human Transforming Growth Factor beta3 at ~47kD.

    Purification

    Immunoaffinity purified

    Immunogen

    A synthetic peptide derived from the C-terminus of the precursor form of human TGF beta 3.

    Type of Immunogen: Synthetic peptide

    Isotype

    IgG
  • Application Notes

    Approved: IHC, IHC-P (5 μg/mL), IP, WB

    Usage: Immunohistochemistry: This antibody was validated for use in immunohistochemistry on a panel of 21 formalin-fixed, paraffin-embedded (FFPE) human tissues after heat induced antigen retrieval in  pH 6.0 citrate buffer. After incubation with the primary antibody, slides were incubated with biotinylated secondary antibody, followed by alkaline phosphatase-streptavidin and chromogen. The stained slides were evaluated by a pathologist to confirm staining specificity. The optimal working concentration for this antibody was determined to be 5 μg/mL.

    Comment

    Target Species of Antibody: Human

    Restrictions

    For Research Use only
  • Format

    Liquid

    Concentration

    Lot specific

    Buffer

    10 mM PBS,  pH 7.4, BSA, 0.05 % sodium azide.

    Preservative

    Sodium azide

    Precaution of Use

    This product contains Sodium azide: a POISONOUS AND HAZARDOUS SUBSTANCE which should be handled by trained staff only.

    Handling Advice

    avoid freeze thaw cycles.

    Storage

    4 °C,-20 °C

    Storage Comment

    Short term 4°C, long term aliquot and store at -20°C, avoid freeze-thaw cycles.
  • Target

    TGFB3 (Transforming Growth Factor, beta 3 (TGFB3))

    Alternative Name

    TGFB3

    Background

    Name/Gene ID: TGFB3
    Family: TGF beta

    Synonyms: TGFB3, ARVD, TGF Beta 3, TGF-beta-3, TGF-beta3

    Gene ID

    7043

    UniProt

    P10600

    Pathways

    Cell-Cell Junction Organization, Production of Molecular Mediator of Immune Response, Protein targeting to Nucleus
You are here:
Chat with us!